![]() |
![]() |
![]() |
![]() |
Remove Impacted Tooth: 2-Pointed Fixation
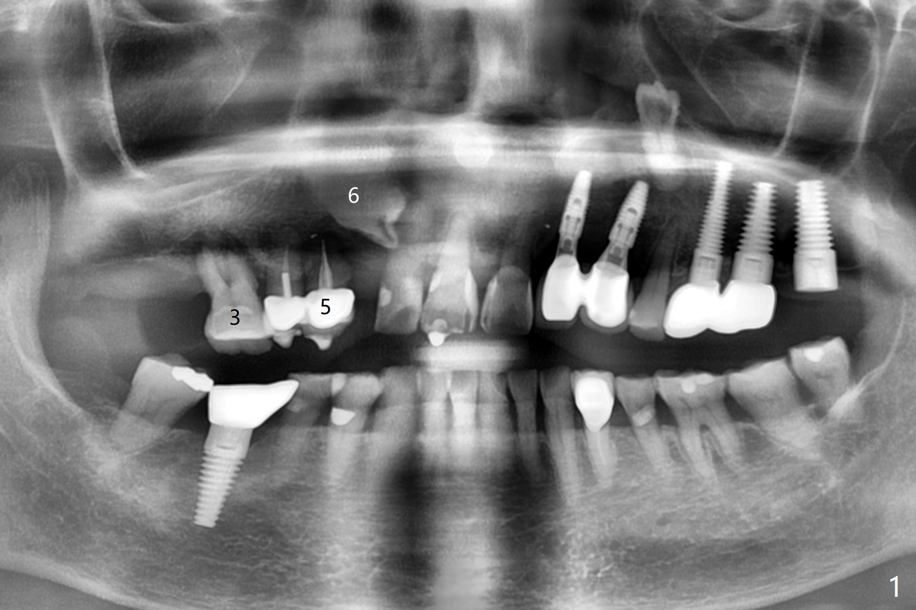
A 70-year-old woman requests implants at #3 and 5 because of bone loss (Fig.1). Since the impacted tooth #6 crosses the trajectory of the implant at #5, extraction of the former is necessary (Fig.2). Palatal bone loss is severe at #5, a 3.5x15 mm 1-piece implant will be placed slightly more buccal than what is shown for 4x13 mm 2-piece one at Fig.2. A 5x11.5 mm implant will be placed at #3 without sinus lift (Fig.3). In fact the patient is concerned about cleasenability of the cantilever bridge. One-piece implant will be placed if needed (Fig.4).
Return to
Prevent Molar Periimplantitis (Protocols,
Table)
Protect
Graft
Metronidazole
Surgery
智齿拔除
Xin Wei,
DDS, PhD, MS 1st edition 06/04/2021, last revision
07/25/2021