![]() |
![]() |
![]() |
![]() |
![]() |
![]() |
![]() |
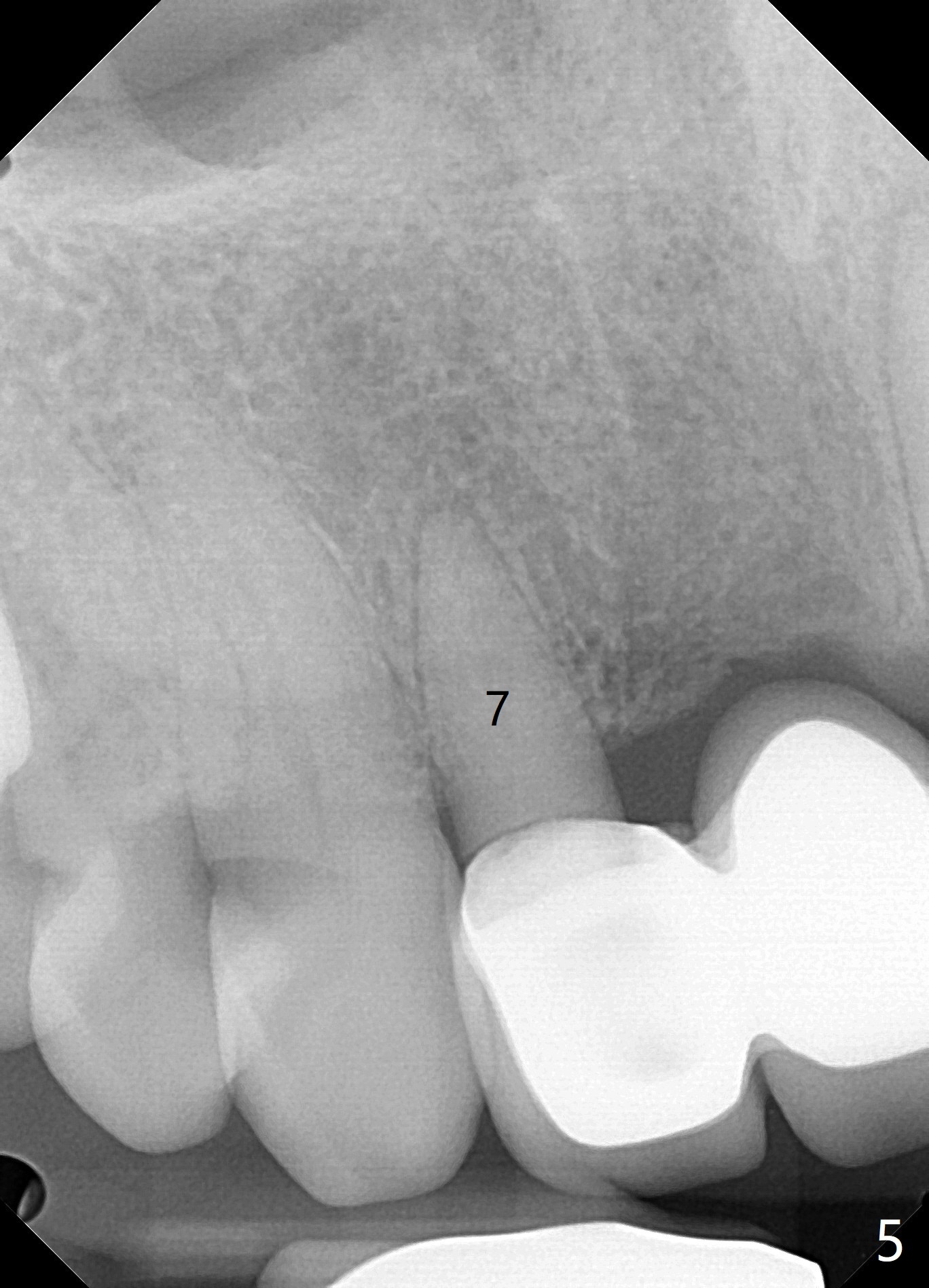
FPD Failure
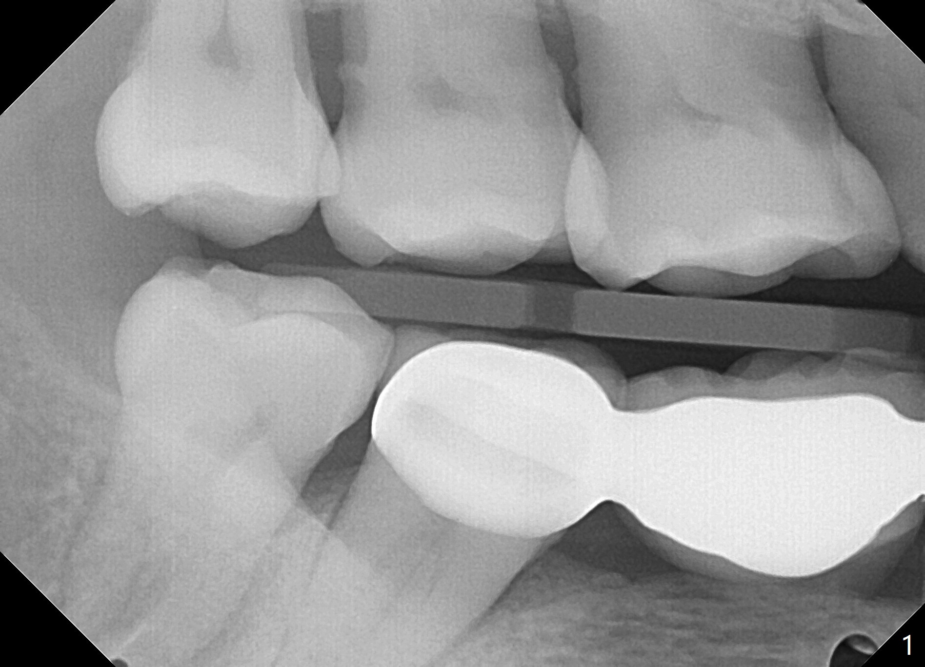
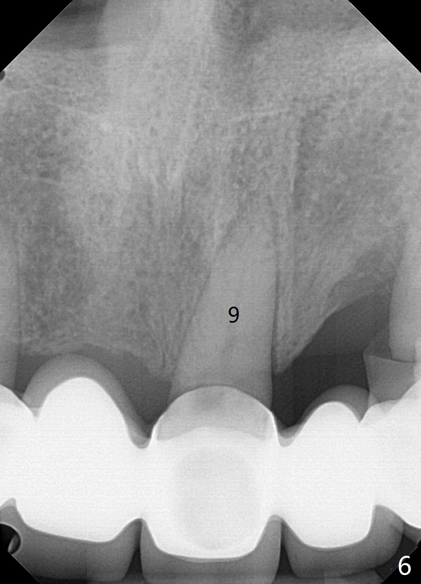
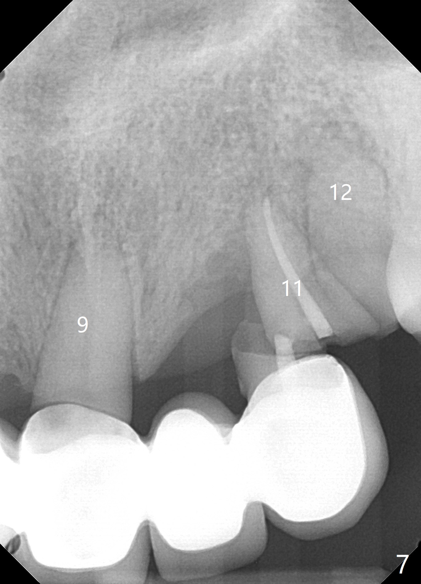
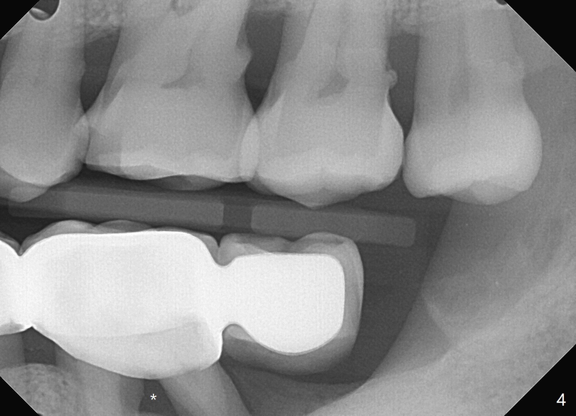
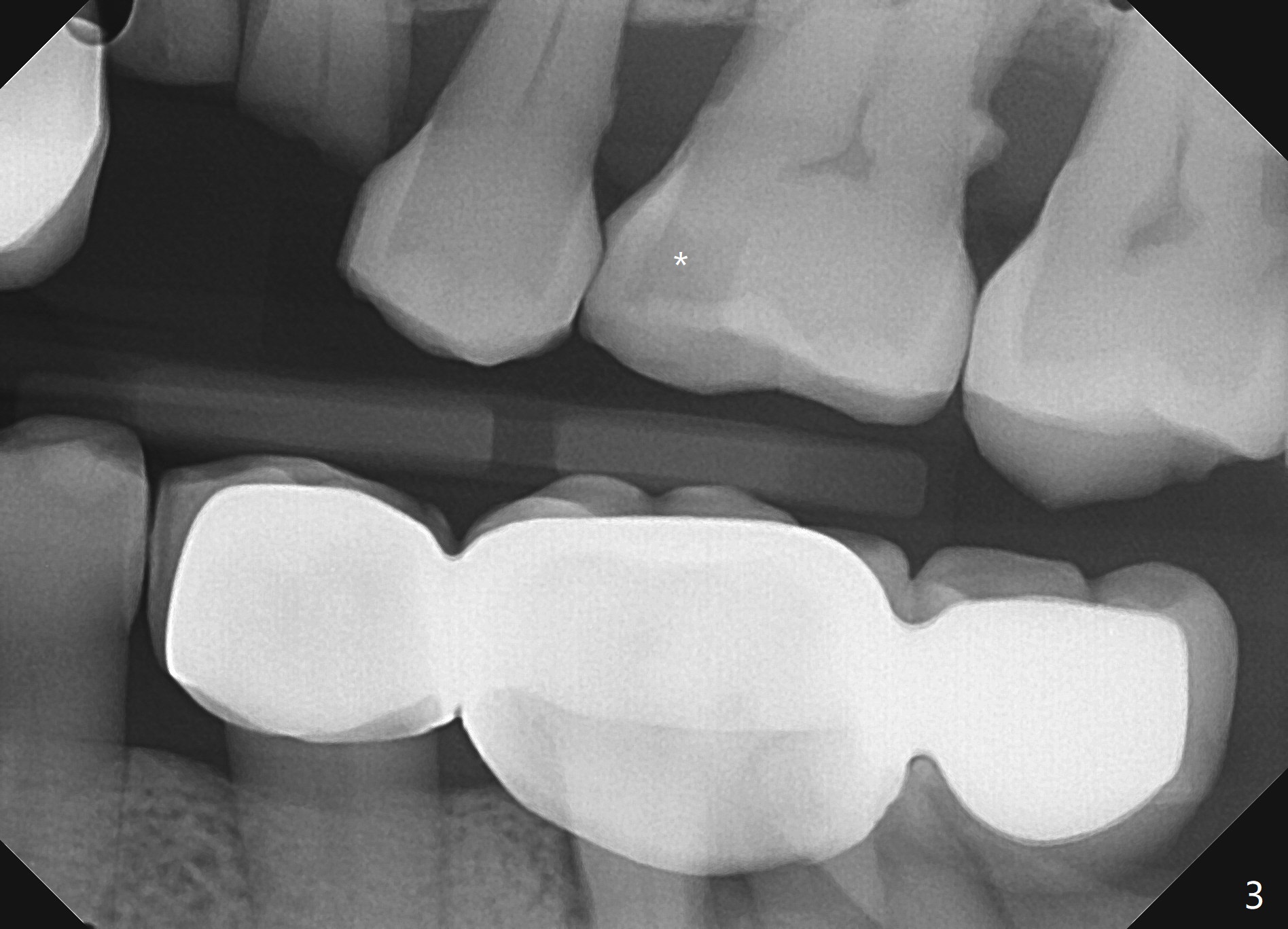
A 71 year old lady has issue with an upper bridge (#7-11, Fig.5-7). While one of the abutments (anchor teeth for FPD), #7, is "tender", the other (#11) fractures. Take Alginate impression (upper and lower) when she returns, pour models (no bubbles, 1 U, 2 L), and keep U Alginate for provisional. Section FPD at #7 and 9, take 12x9 cm CT with 2 cotton rolls and full arch impression for guide with bite registration. Prepare Endo Ice for #7 (tenderness). Tell the patient and her daughter that the lower left cantilever FPD is in bad shape, since the tooth #19 has large furca radiolucency (Fig.4 *). Next appointment should be scheduled for SRP (Fig.1-4).
No
Caries
Clindamycin Metronidazole
No Antibiotic
Guide
Xin Wei,
DDS, PhD, MS 1st edition 11/04/2020, last revision
12/31/2020