![]() |
![]() |
![]() |
|||
![]() |
![]() |
![]() |
![]() |
||
![]() |
![]() |
![]() |
![]() |
![]() |
![]() |
![]() |
![]() |
![]() |
|||
![]() |
![]() |
![]() |
|||
![]() |
![]() |
![]() |
|||
![]() |
![]() |
||||
临时修复主要目的是保护骨粉,维持牙龈外形
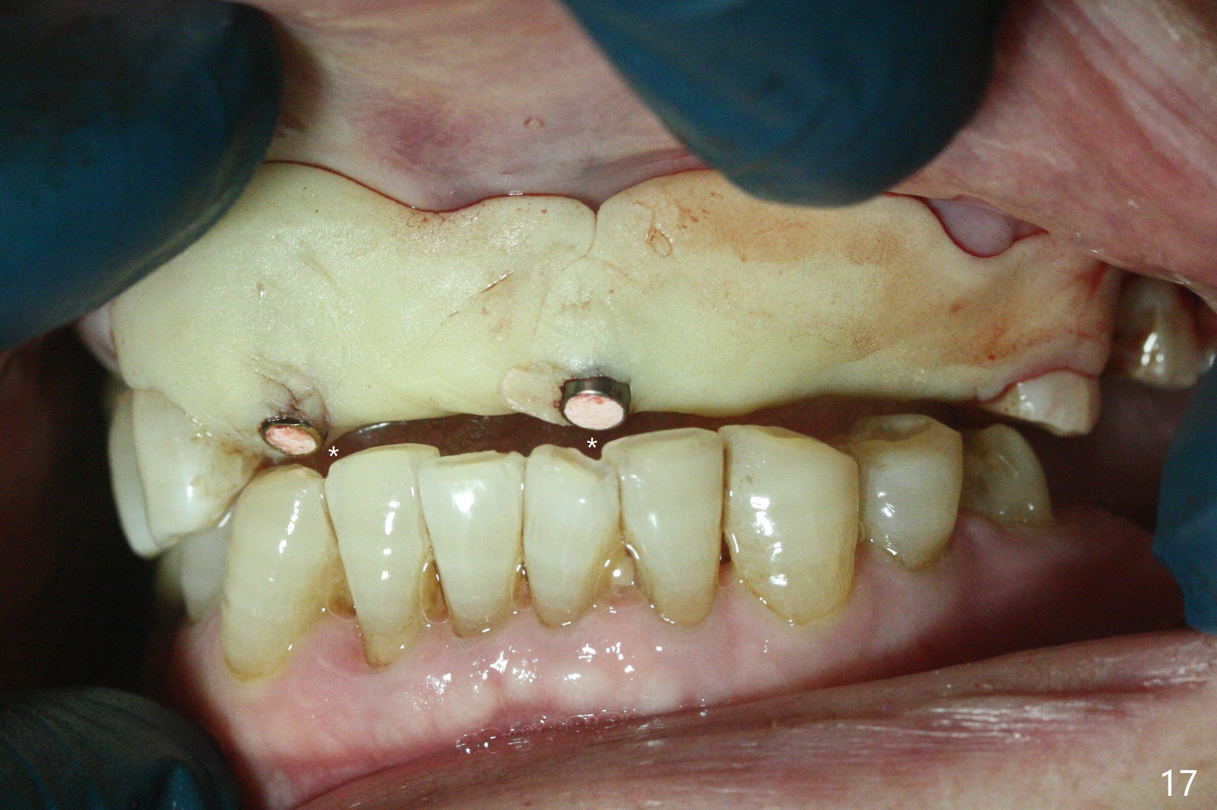
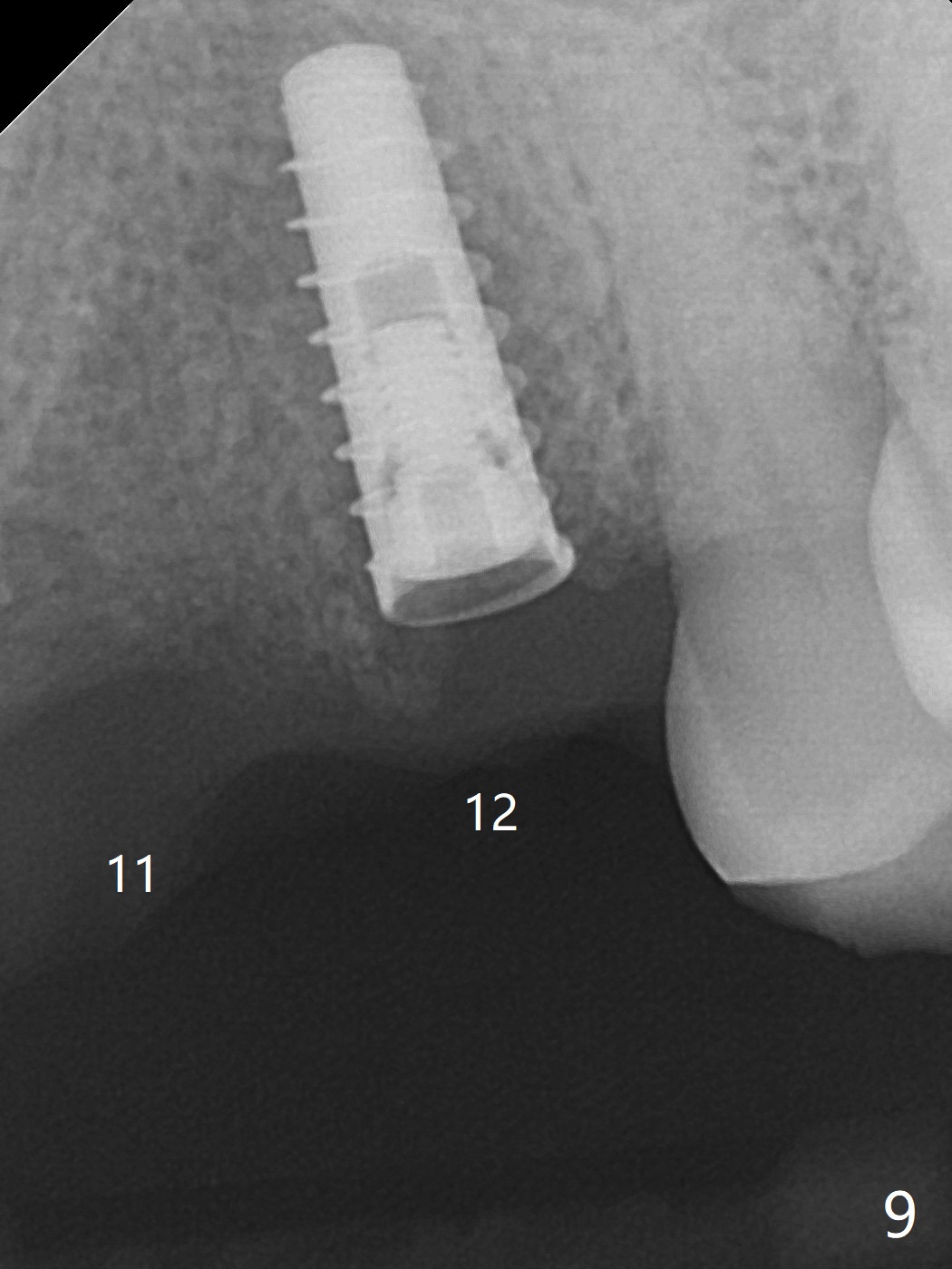
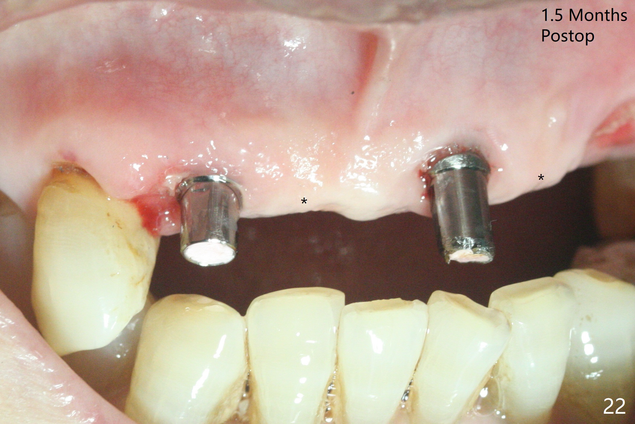
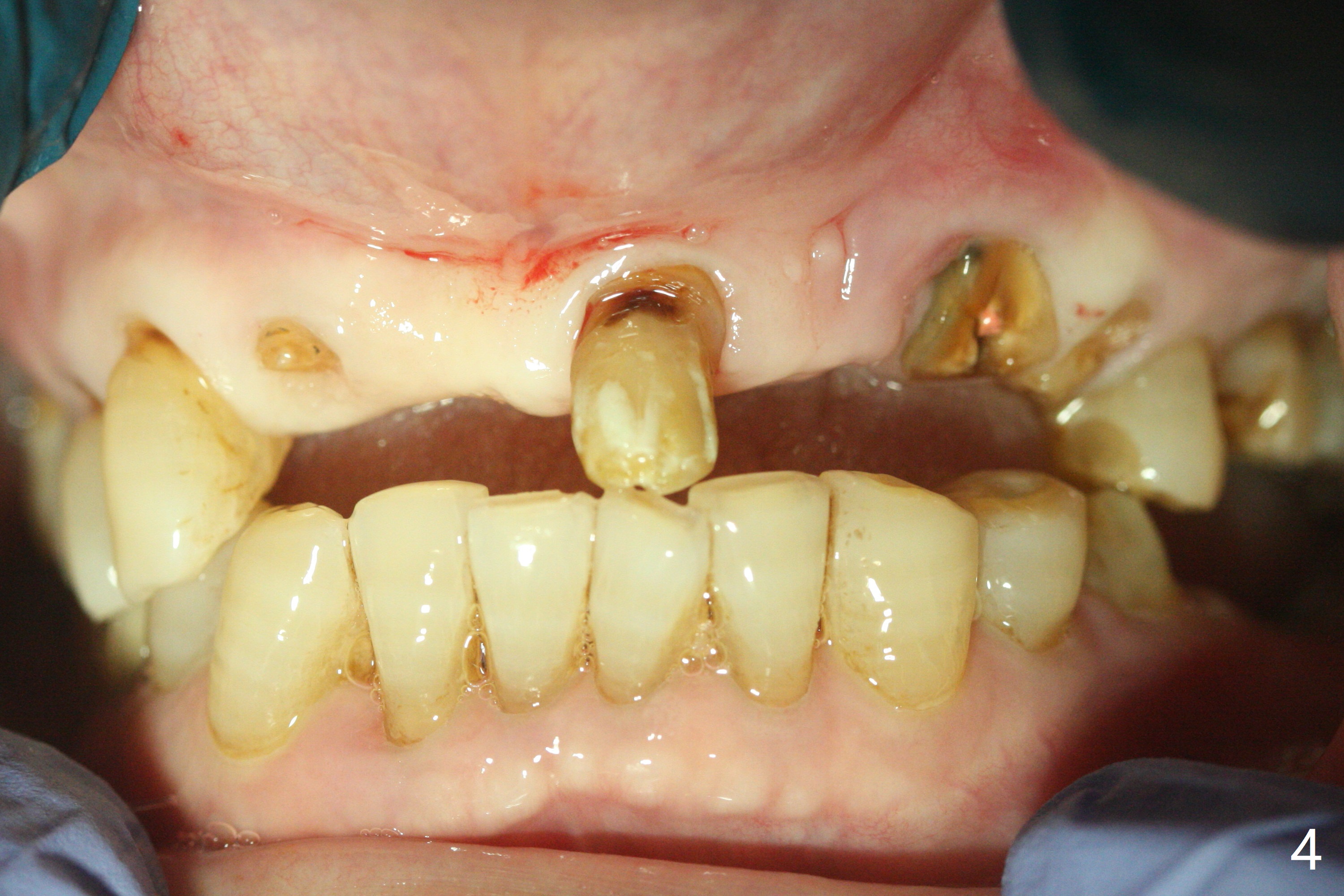
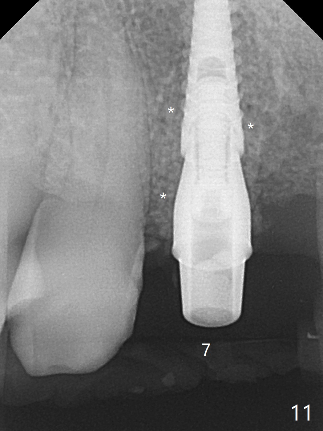
今天下午进入治疗室,粘性骨粉已制备:上清液来自红管(含促凝剂),离心3分钟(图一);再离心10分钟上清液就转变PRF,压制后,使用前剪成三块(图二:黑线),其中两块punch一个洞(图二:圆圈),插入7,9号牙基台固定;大块覆盖11/12号牙牙槽窝(图十四)。7,9,11,12号牙必须拔除(图三),然后在7,9,12种植。由于缺失左下磨牙,前牙垂直距离减少(图四)。完成9号牙位钻洞后,利用fixture mount(图五:M)植入植体,并留在原位固定导板(图六),然后7号牙种植,也留下fixture mount(图六:7,9),最后完成12号牙植入,但是后者扭力低,放置愈合螺帽(图九),而7,9号牙位放置修复基台(图七,八(使用5.5毫米profile drill后),好像基台没有完全就位。7号牙位更换基台似乎没帮助(图十),9号牙位再次放置同一个基台临床上仿佛有改变(比较图八与十二)。放置粘性骨粉后(图十一至十三),牙槽窝口覆盖PRF膜(图十四:P(A:基台)),最后使用树脂敷料固定骨粉和膜(图十五,六),基台帮助敷料固位,没有咬合干扰(图十七:*)。树脂敷料部分解决美观问题,一个月后撤除,如果植体仍有稳定性,可能制作7-10临时牙桥,可能部分维持或者恢复牙龈外形。术后一周病人主诉后面植牙和鼻底疼痛,11号牙根尖牙龈充血(图十八),轻度触痛,可能与术中尚未完全清创有关(图十九(术前CT 3D图像))。再服用Amoxicillin一周,症状好转,鼻底轻度触痛(图二十)。术后1.5月没有任何不适,撤除树脂敷料,7号牙基台(袖)显得太长,换一个短的(4.5x4(5)(图十,十一)->4x4(3)毫米)毫米),植骨好像愈合正常(图二十一:*)。7号牙换了短的基台,9号牙基台高度调整后,与对合牙有足够空间做临时牙桥,最好8,10号牙位牙龈应该凹陷(图二十二:*),有pontic外形。另外9号牙基台颊侧牙龈边缘有所修整,临时牙桥准备。先做7-10临时牙桥,理想临时牙桥pontic处树脂应该多些(图二十三:白线)压迫牙龈形成凹陷。11,12号牙牙槽窝在树脂(Bosworth)敷料下也正常愈合(图二十四)。
Return to
No
Caries
19
Treatment Option
18,19
Xin Wei,
DDS, PhD, MS 1st edition 01/19/2021, last revision
04/13/2021