![]() |
![]() |
![]() |
![]() |
![]() |
![]() |
![]() |
|
Reduce Thread Exposure
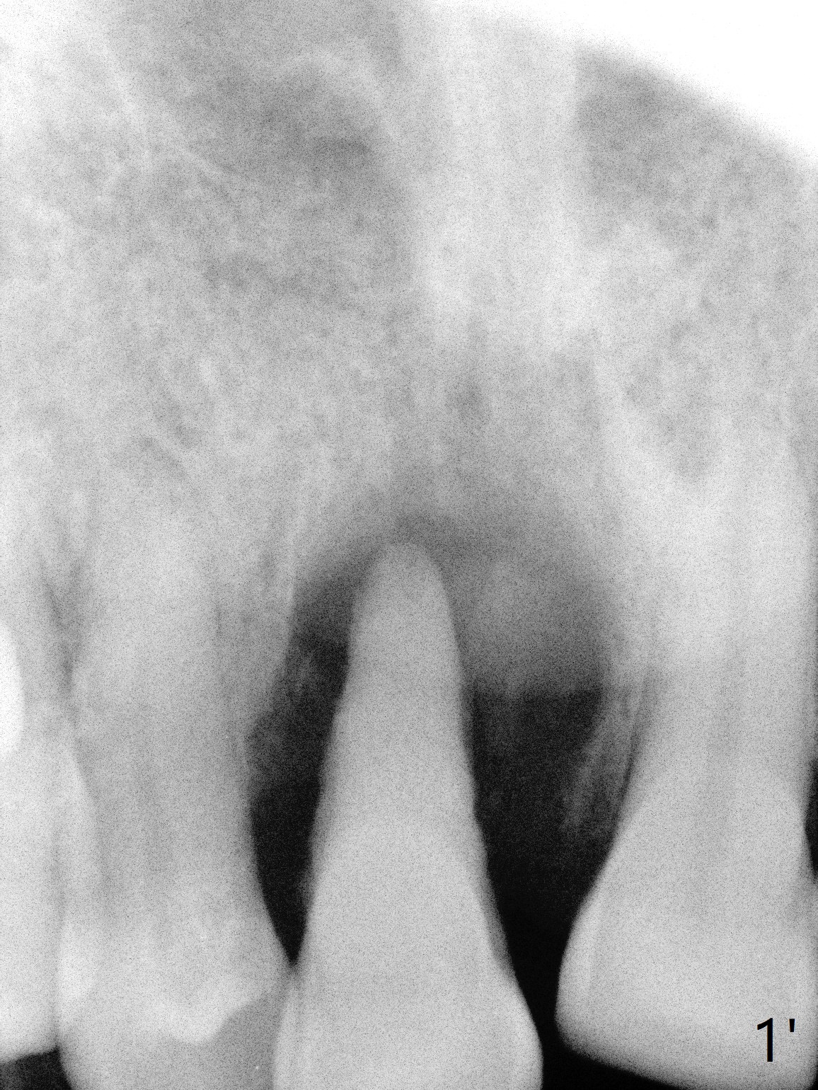
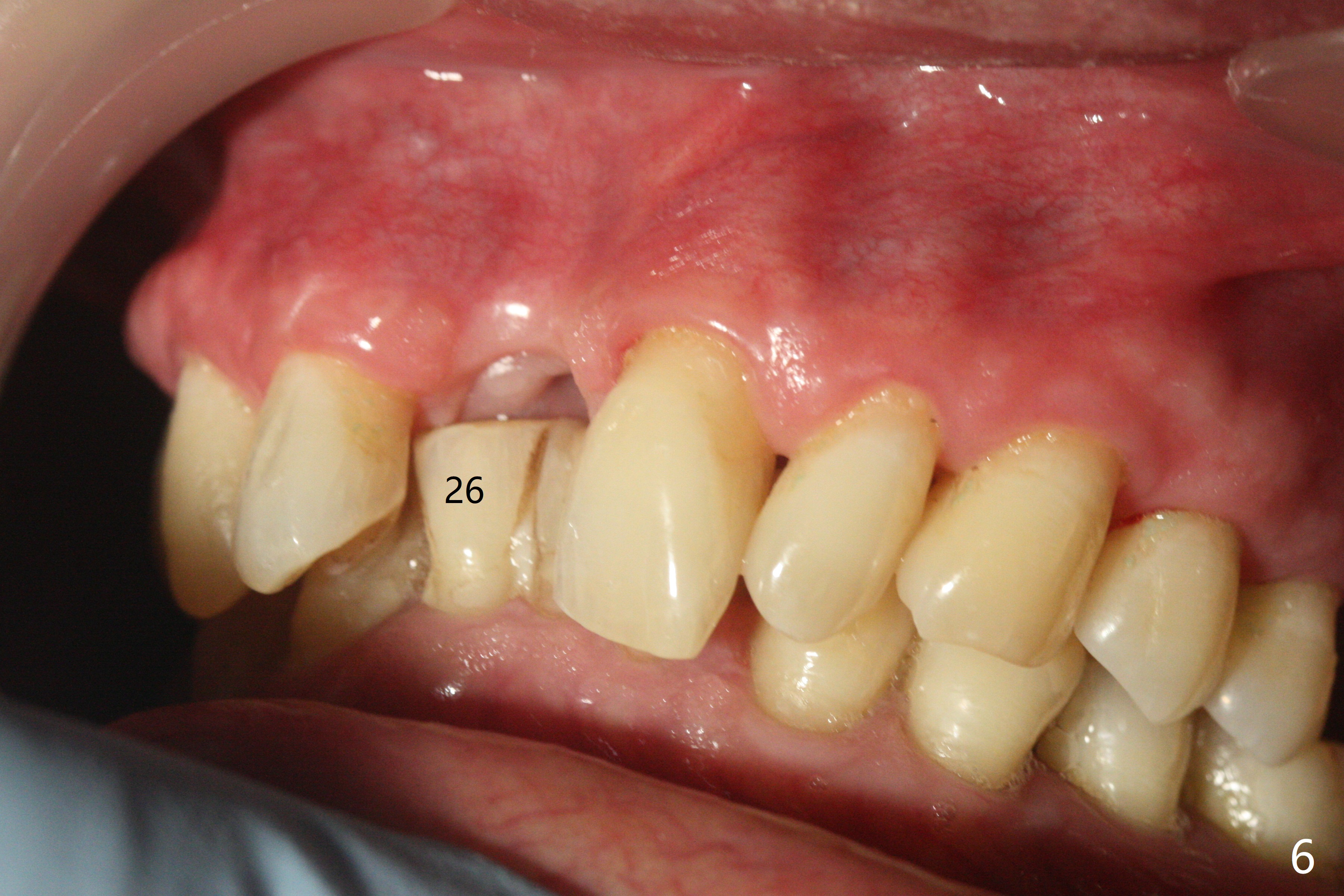
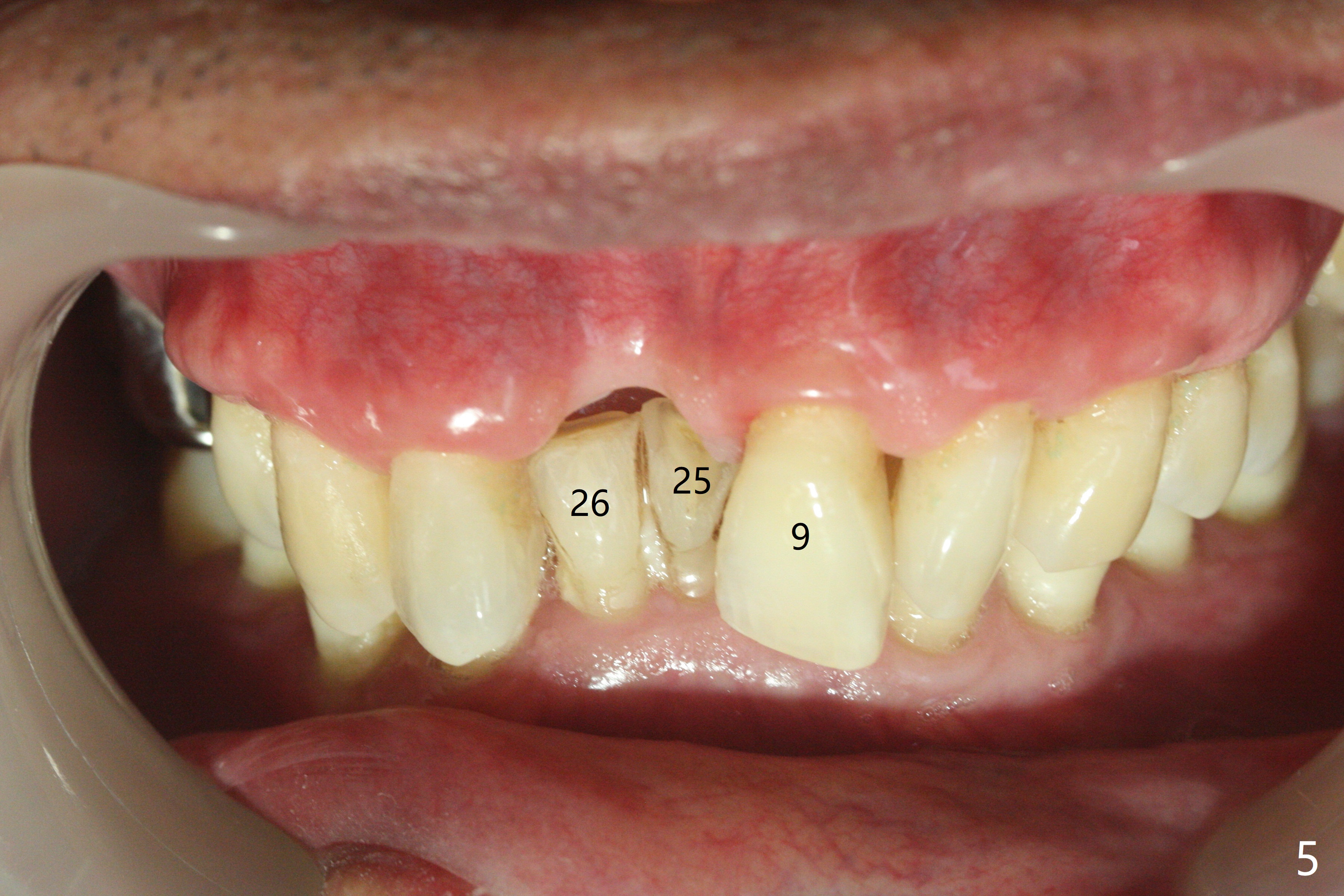
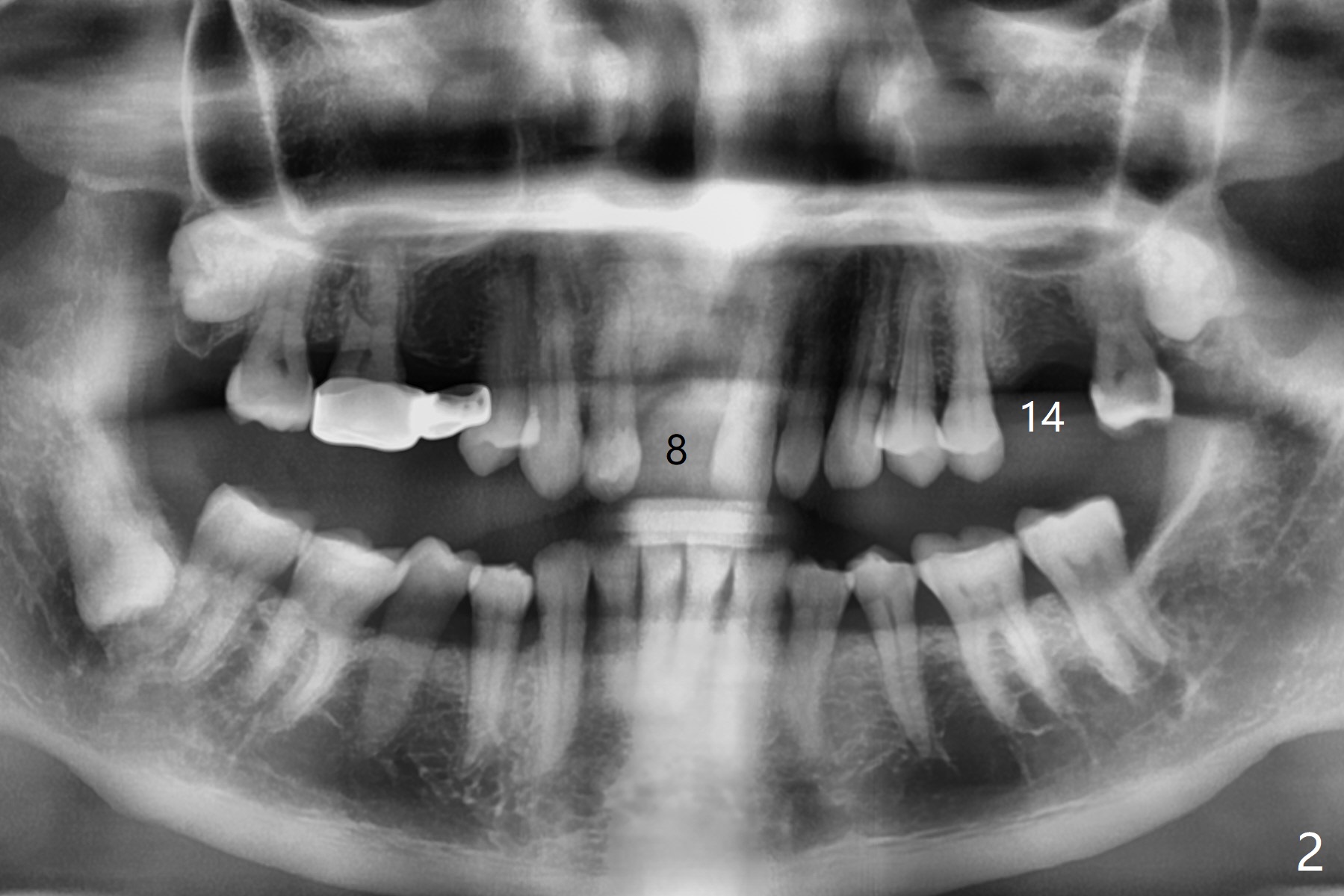
A 69-year-old man (ex-soldier) had the tooth #8 extracted for a flipper nearly 8 years earlier (Fig.1 (obliterated canal)). A denture tooth is added at #14 after extraction in NY a few years later (Fig.2). In spite of sufficient bone width at #8, a 2.5x10 mm mini implant will be chosen to reduce the chance of palatal thread exposure (Fig.3 P). A 5x8.5 mm implant will be placed at #14 to achieve enough stability and not cause sinus complication (Fig.4). Take preop photos to show the anterior deep overbite and overjet. In fact the patient canceled the surgery. Two years later, he returns with history of right TMJ dislocation, which may be related to reduced mastication efficiency and partial edentulism (Fig.5,6).
Return to
Upper Incisor
Molar Immediate
Implant,
Trajectory
Protect
Graft
Xin Wei, DDS, PhD, MS 1st edition
07/09/2019, last revision
07/20/2021