![]() |
![]() |
![]() |
![]() |
![]() |
![]() |
Internal or External
Sinus Lift?
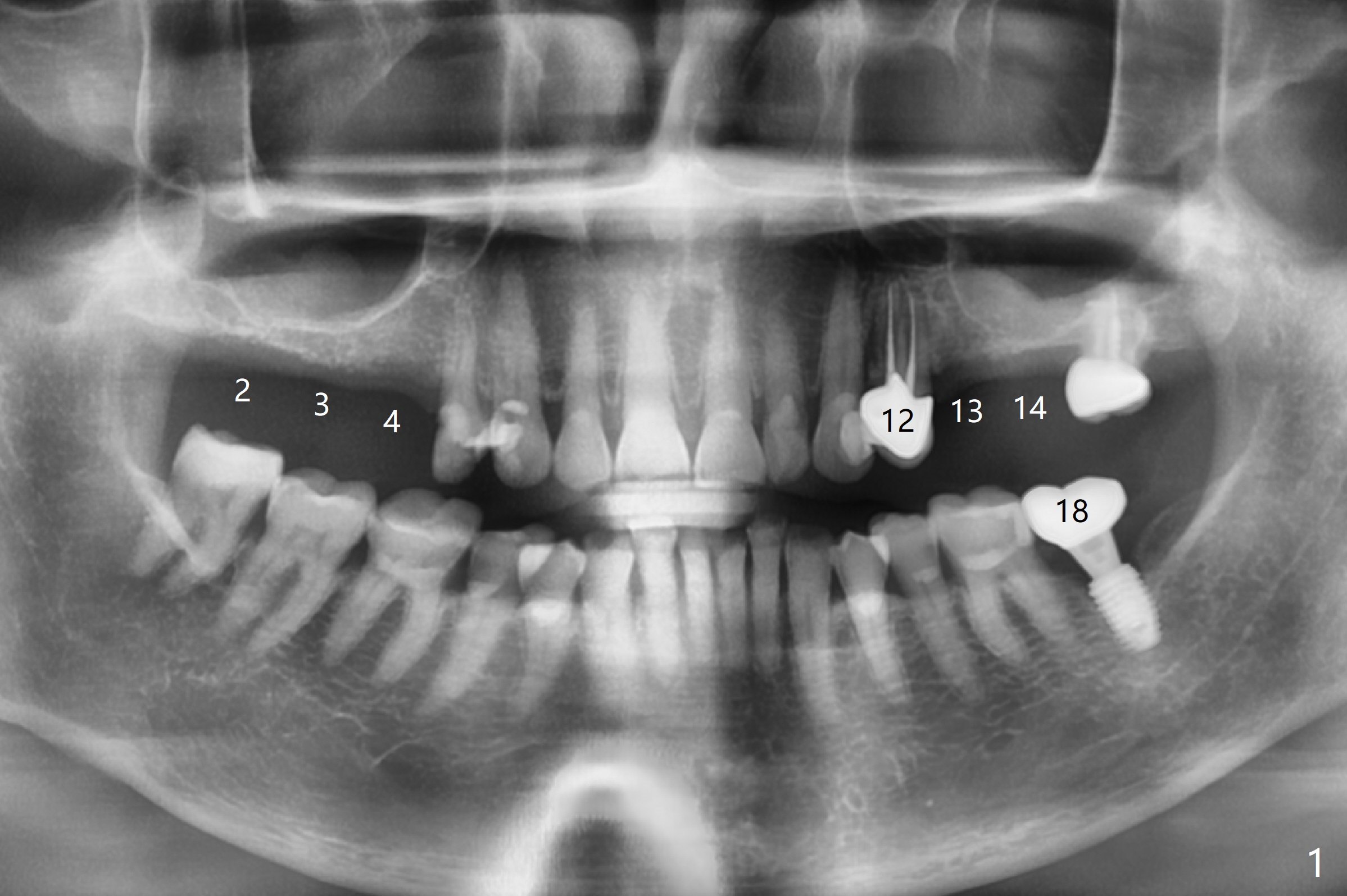
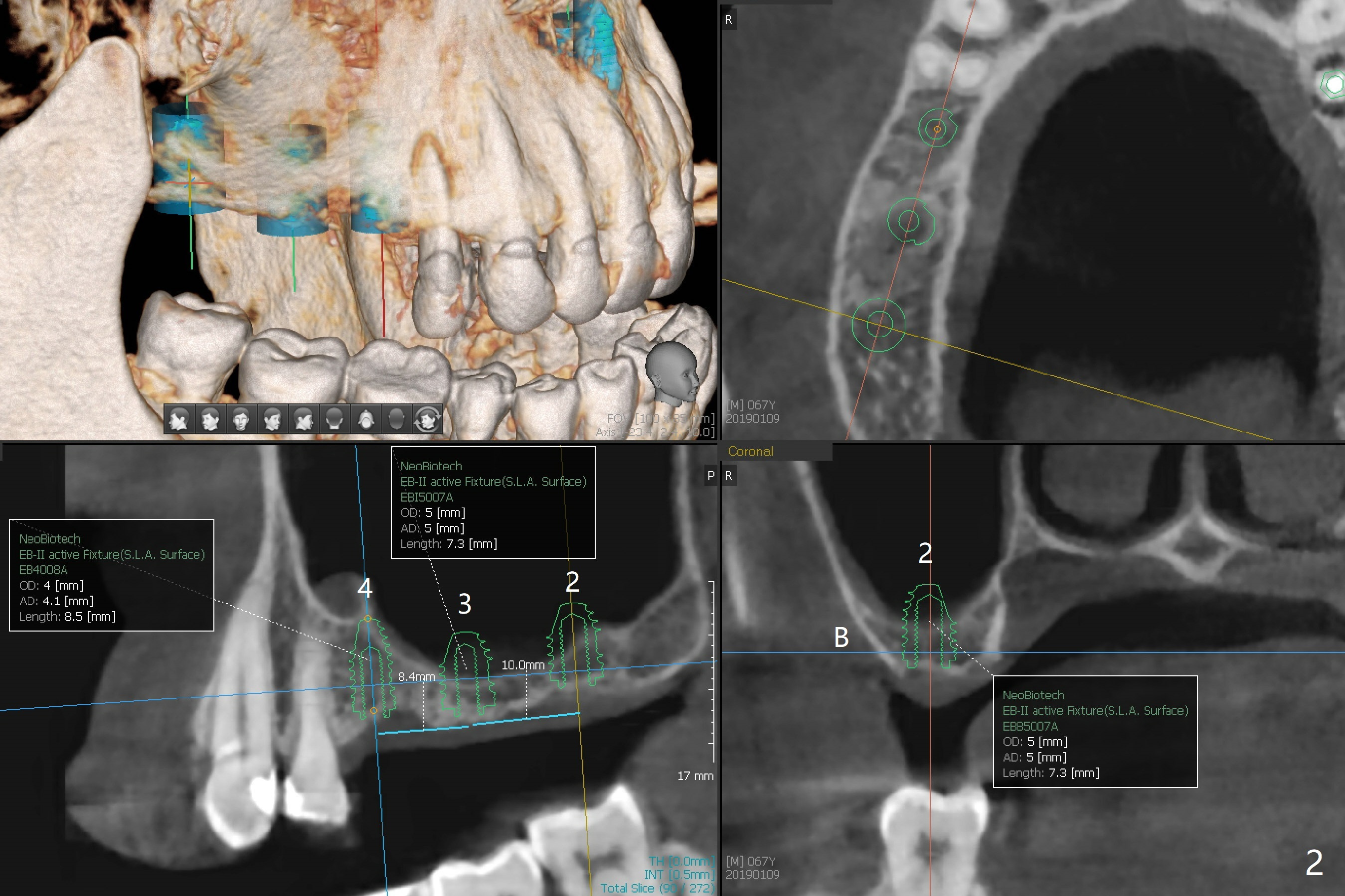
A 63-year-old woman wants to change upper RPD (for #2-4, 13 and 14) to implants because of denture-associated candidiasis. She is afraid of osteoporosis, although the implant at #18 is doing fine almost 3 months post cementation (Fig.1). One way to restore the upper right quadrant is to place 3 short implants (7.3 or 8.5 mm) with guide with simultaneous internal or external sinus lift (Fig.2-4). The tooth #12 appears to have root fracture with periradicular radiolucency (Fig.5); an immediate implant will be placed. While a short implant will be placed at #13, no implant will be placed at #14 because of 1 mm bone (Fig.6). A cantilever FPD will be fabricated in the upper left quadrant. The thick left sinus membrane is a problem as related to a lift?
Return to
Upper
Arch Immediate Implant,
Trajectory,
No Antibiotic,
Weichat
Xin Wei, DDS, PhD, MS 1st edition
01/11/2019, last revision
02/10/2019