![]() |
![]() |
![]() |
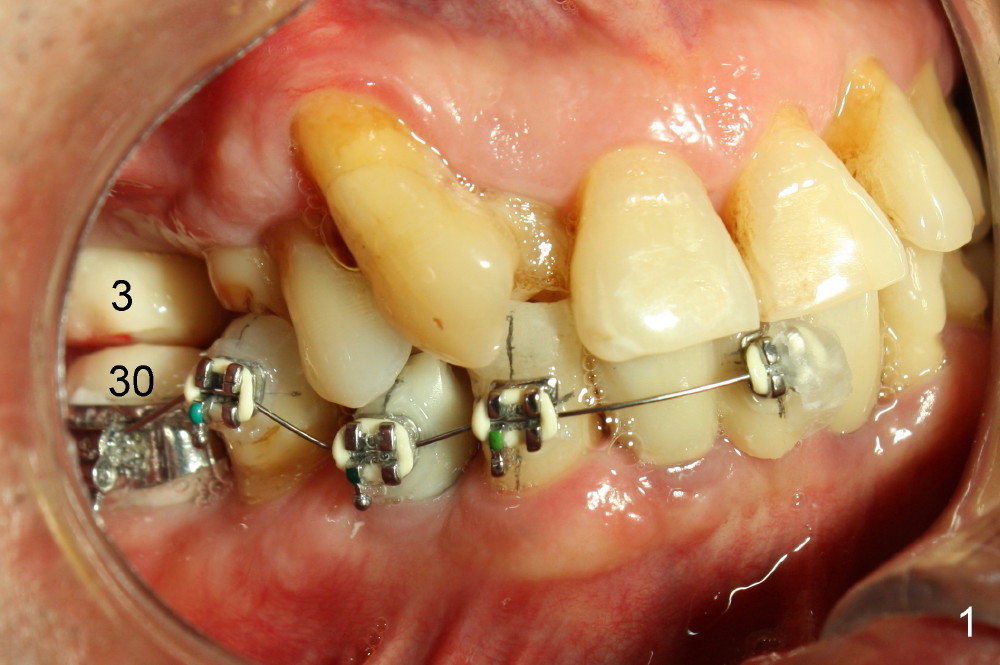
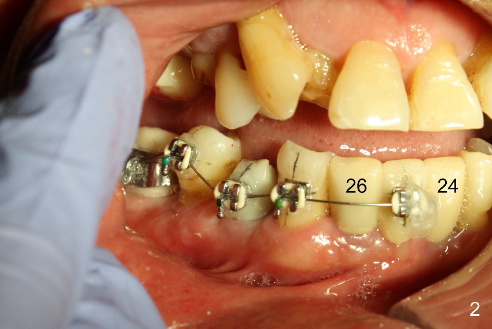
First Stage of Ortho
The main purpose of the 1st stage of ortho is to intrude the tooth #29 using implants at the sites of #28,30 as anchorages (Fig.1,2). If possible, intrusion of #27 is also needed. Since #24-26 is an implant supported bridge, one bracket in the pontic appears to be sufficient (Fig.2). Bracketing is also planned to extend to the lower left until #21 to distalize #22 (Fig.3). Supraeruption of #12 blocks the distalization. It appears that the supraeruption should be corrected after #13 implant placement (using the latter as an anchorage).
The bracket at the site of #25 is lost when the patient has the first meal. The rest of brackets are dislodge in a few days. This 66-year-old man does not want to pursue the ortho treatment. We are in dilemma.
Return to Upper Arch and Full Mouth Reconstruction, Implants & Ortho
Xin Wei, DDS, PhD, MS 1st edition 10/23/2014, last revision 12/21/2014