![]() |
![]() |
![]() |
![]() |
![]() |
![]() |
![]() |
Prior to Comprehensive Ortho
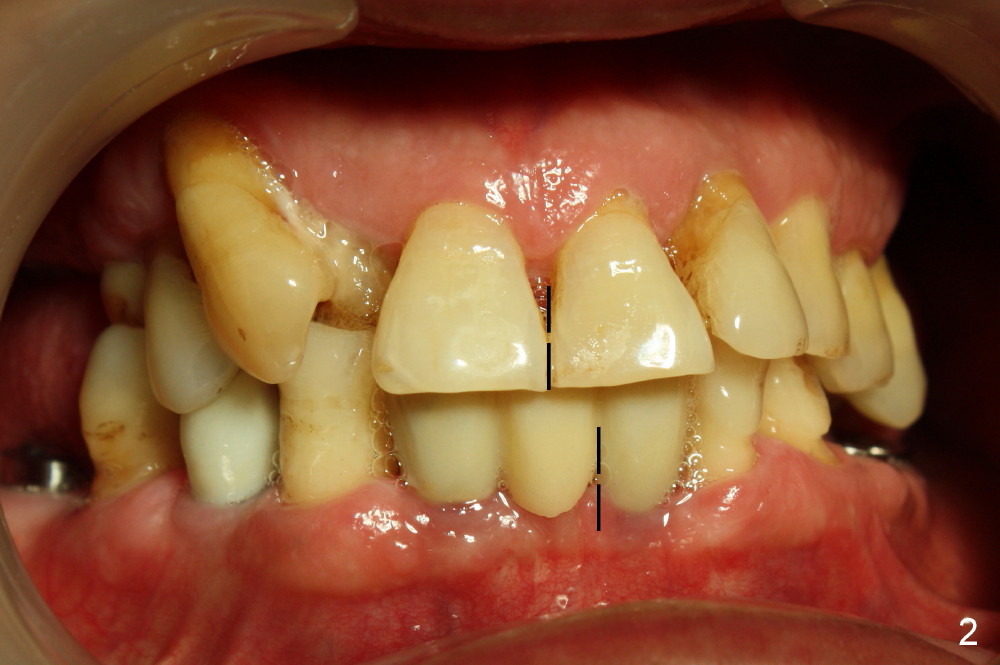
The patient returns for orthodontic treatment 7-8 months post implantation at the sites of #3, 20, 21, and 30 (Fig.4,6,7). He is willing to let the tooth #5 be extracted if necessary, since it has mobility. The tooth is only the functioning posterior tooth in his mouth (Fig.1). It must have occlusal overloading, particularly opposing the implant tooth #28 (Fig.1,7). Multiple implants and ortho treatment appear to be needed.
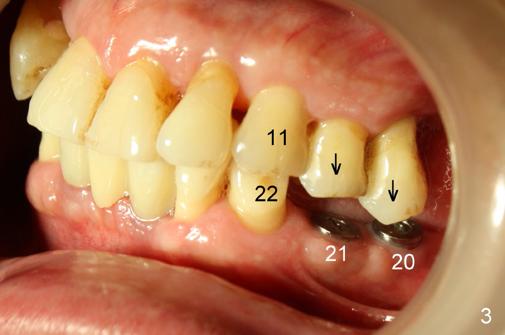
Clinical exam reveals that the upper midline appears to be deviated to the right (Fig.2), while the left canine relationship is Class II (Fig.3). Therefore, the upper anterior teeth (#9-12) will be moved distally orthodontically. When the tooth #13 is extracted, the immediate implant should be placed more distal than usual. This implant, once osteointegrated, will be used an anchorage for distaliztion of the teeth mesial to it.
Abutments are placed and provisionals are fabricated at #3, 21 and 30 at this appointment. Next visit, bands and brackets will be placed in the lower arch first.
Return to Implant & Ortho
Xin Wei, DDS, PhD, MS 1st edition 10/19/2014, last revision 10/20/2014