![]() |
|
![]() |
A 4.5x14 mm SM (submerged) implant is placed with insertion of a 5.2x5(3) mm healing abutment (Fig.4).
Immediately post bone graft and membrane, the wound is covered by perio dressing (Fig.5 ^).
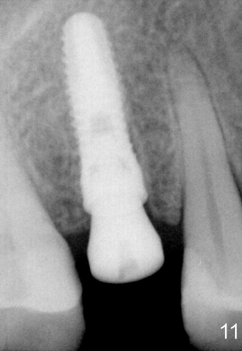
There is no abnormality around the implant 2 months postop (Fig.11).
Return to Immediate Implant
Xin Wei, DDS, PhD, MS 1st edition 01/20/2013, last revision 03/25/2014