![]() |
![]() |
![]() |
![]() |
![]() |
![]() |
Immediate Loading at the Site of Severe Bone Loss
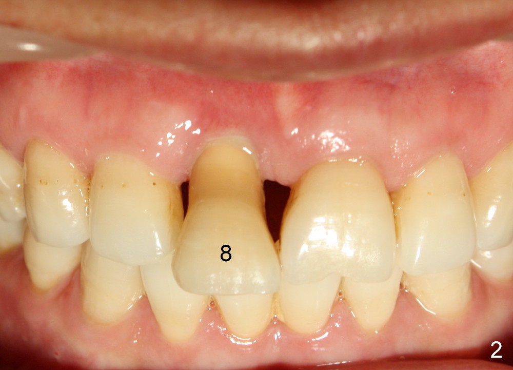
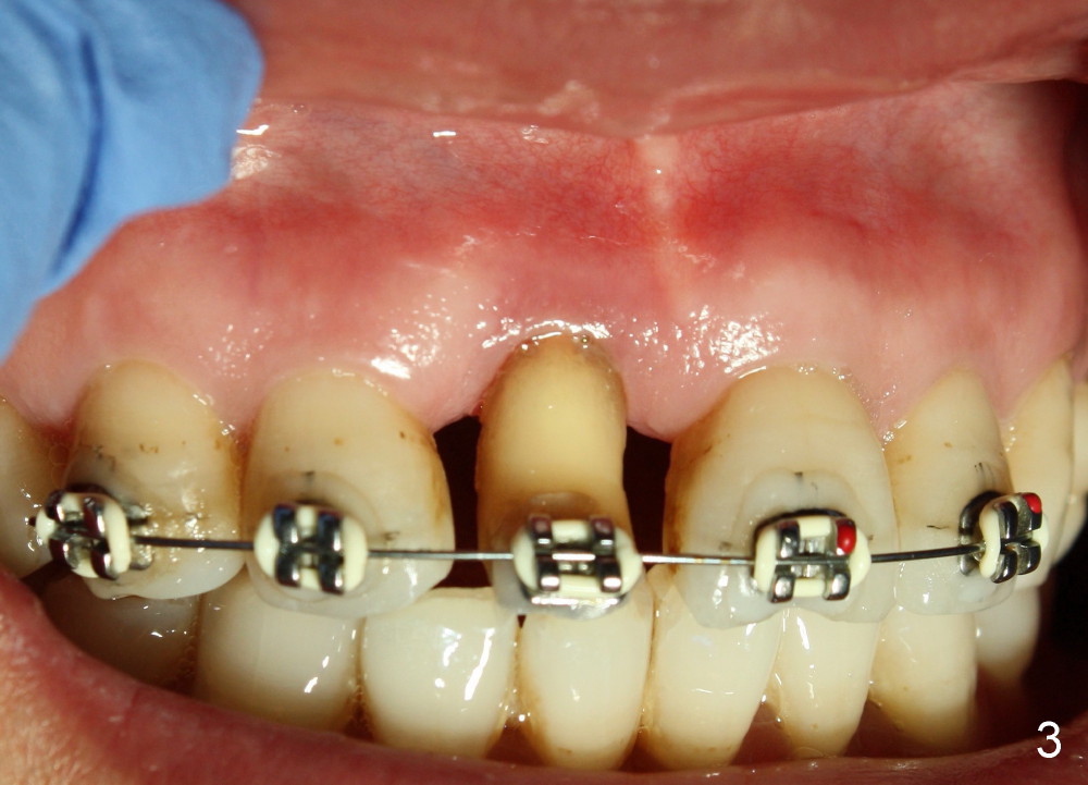
The tooth #8 of a 46-year-old lady has end-staged perio-endo disease with traumatic occlusion (Fig.1,2). Orthodontic extrusion is initiated to gain hard and soft tissue height. Unfortunately, the aim is not completely achieved in 4 months (Fig.3,4), although the gingival margin has descended (conversion of Type III socket to Type IIa one).
CBCT is taken one day after bracket placement. The tooth starts to separate from the socket (Fig.5,6). A 4.1x14 mm implant is to be placed as high as possible. It is about 6 mm subgingival. Approximately 2-4 mm of the most coronal end of the implant is not covered by the native bone, but will be covered by autogenous bone and/or allograft. To correct the recessive labial gingival margin, free gingival graft will be harvested from the palate. A temporary abutment will be used immediately for provisional.
The implant (hard-tissue level) presented here can achieve primary stability and supports an immediate provisional. By contrast a press-fit implant is not associated with primary stability. The immediate provisional is supported by the neighboring teeth (splinting). During osteotomy, it is felt that soft tissue-level implant is the most appropriate and within the comfort zone of the surgeon.
Professionals,
Case Preparation
Xin Wei, DDS, PhD, MS 1st edition 01/27/2014, last revision 01/19/2018