![]() |
![]() |
![]() |
![]() |
![]() |
![]() |
![]() |
Immediate Provisional or Not
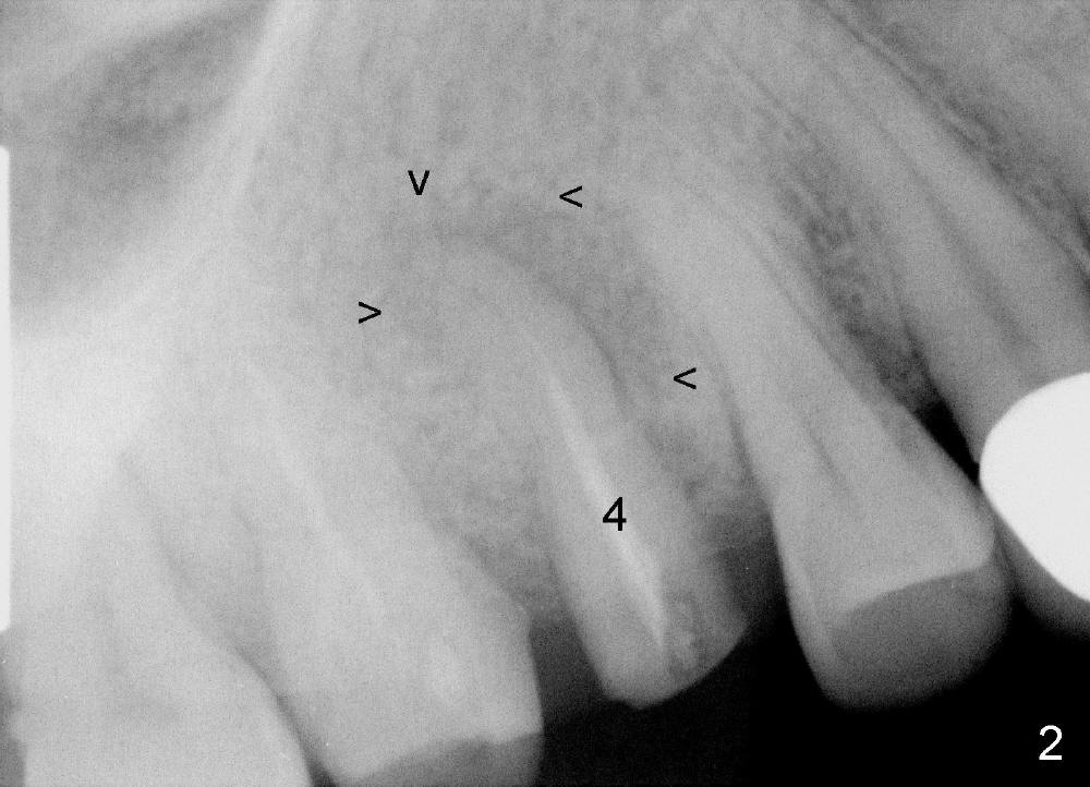
Mrs. Zhao, in her late forties, is apprehensive of dentistry. She has postponed implant placement for #4 for two months (Fig.1,2). Immediate implant is planned. Immediate provisional is provided if insertion torque is more than 45 Ncm. There are two conditions which are unfavorable to immediate provisional. First, she is probably a bruxer, as indicated by torus palatinus (Fig.1 *). Second, she bit off two crowns (joined) for #3 and 4 together.
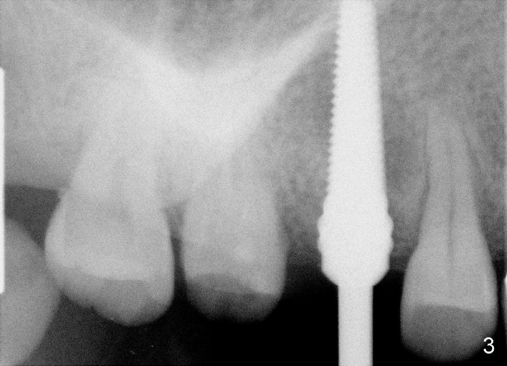
When the tooth #4 is extracted, the apical socket is found to be large with granulation tissue, which is consistent with large periapical radiolucency (Fig.2 arrowheads). The depth of the socket is 17 mm, measured from the gingival margin. The mesiodistal and buccolingual dimensions of the root are 4 and 7 mm, respectively. A tissue-level tapered implant as wide and as long as possible, 4.5x20 mm, is to be placed (Fig.3 (tap drill), 4). The insertion torque is between 35 and 40 Ncm.
Immediate provisional is aborted due to low torque value and patient's in-cooperation (fear). A healing cuff (4.5 mm in diameter) is placed to close the buccal gap (Fig.5). The joined crowns are separated. The crown for #3 is recemented. Finally perio dressing is placed around the implant. The healing cuff is removed 6 days postop because of pressure. The patient returns for restoration 9 months postop. The gingival tissue is healthy around the implant (Fig.6). The bone density around the implant increases (Fig.7 *, compare to Fig.4).
Return to Professionals
Xin Wei, DDS, PhD, MS 1st edition 12/12/2013, last revision 09/10/2014