![]() |
![]() |
![]() |
![]() |
Supragingival Margin
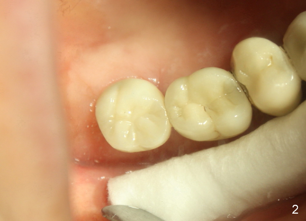
Four and a half months postop, the patient returns for crown cementation. Fig.1 (occlusal mirror view) and 3 (palatal view) show the abutment at the site of #2 after the provisional crown is removed. The margin of the abutment is supragingival (^). It remains the same when the definitive crown is seated (Fig.2,4 ^). The patient's oral hygiene is good. It appears that the prognosis of gingival health around the crown should be excellent.
Return to
Professionals
Xin Wei, DDS, PhD, MS 1st edition 08/24/2014, last revision 09/09/2018