![]() |
![]() |
![]() |
![]() |
|
![]() |
![]() |
![]() |
||
![]() |
![]() |
![]() |
||
![]() |
![]() |
![]() |
![]() |
![]() |
![]() |
![]() |
![]() |
||
![]() |
||||
Longer is Better for Immediate Implant Placed at the Site of Large Defect
A 49-year-old lady has failed endo on the upper left lateral incisor (Fig.1,2). A gutta percha inserted to the buccal fistula (Fig.1 >) shows a mesial defect (Fig.2<). There is a large buccal apical defect, corresponding to the lesion shown in Fig.2 *, when the affected tooth is extracted. After thorough debridement and Clindamycin soaking, osteotomy is initiated in the palatal wall of the socket. Demineralized freeze dry cancellous bone graft is placed in the buccal defect. A 4x20 mm gingiva-level tapered implant is placed with insertion torque 50 Ncm (Fig.3). A 3x5 mm 20 ° offset abutment is inserted and cemented (Fig.4,5). A retentive groove is prepared on the abutment and the underlying implant; chamfer margin placed on the implant (Fig.4,5). A provisional is fabricated and cemented temporarily (Fig.6,7). Excess cement is removed, followed by removal of gingival retraction cord. There is no contact in centric and non-centric occlusion.
In case of a large bony defect, an immediate implant should be engaged into the palatal wall of the socket of the upper anterior teeth. The implant should be as long as possible to achieve primary stability.
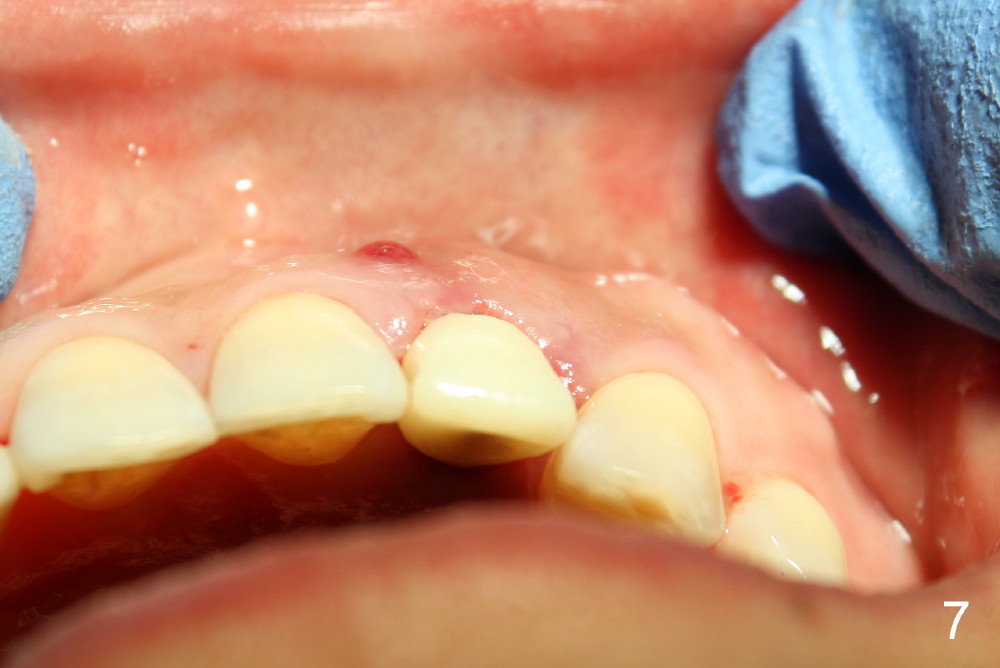
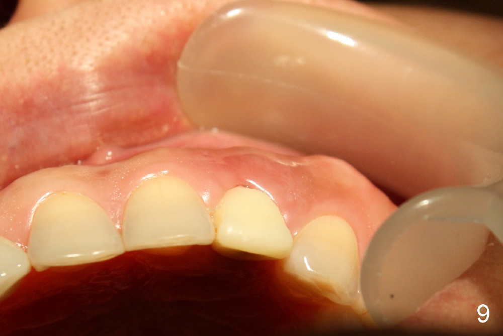
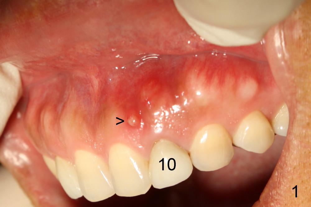
Within one week, the infection resolves (Fig.8,9).
The gingival architecture around the immediate provisional is normal 5 months postop (Fig.10,12). To increase cosmetics for the definitive restoration, the abutment length is reduced (compare arrowheads in Fig.11 to 12).
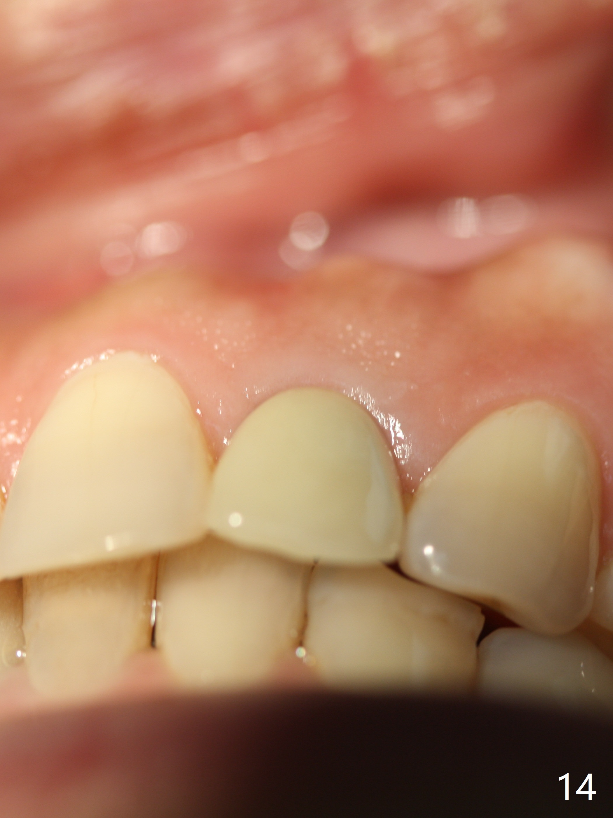
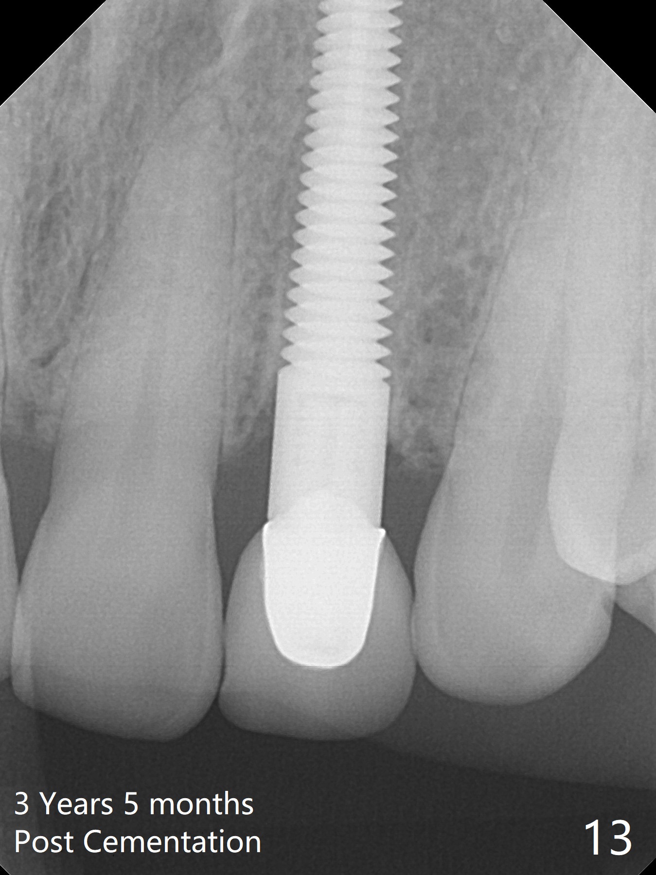
Dense bone forms immediately next to the implant 3 years 5 months post cementation (Fig.13) without gingival recession (Fig.14,15). In fact, the buccal plate maintains root contour over the implant (Fig.15 *). The root prominence remains 6 years 3 months post cementation (Fig.16-18 *). Appreciate the labial concavity associated with implant placement 6 years 9 months post cementation (Fig.19). The implant must have been placed quite palatal.
Professionals, Upper Incisor Immediate Implant Chinese Loose Angled Abutment 导板与内提升
Xin Wei, DDS, PhD, MS 1st edition 12/21/2013, last revision 02/14/2021