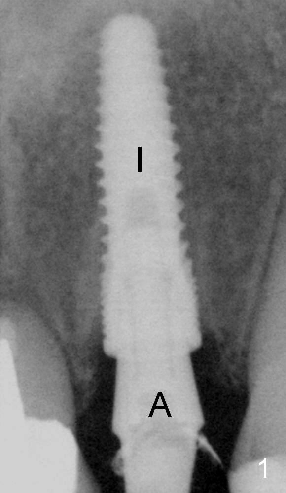
Fig.1,2 show the abutment (A) before and after torquing, respectively.  After the torquing, the abutment turns mesially (Fig.2 white arrow) and apparently ascends slightly (black arrow).  The height of the space inside the implant (I) is shortened after torquing (compare Fig.1,2).  In other word, the abutment was incompletely seated prior to torquing.

Implant Position

Xin Wei, DDS, PhD, MS 1st edition 06/07/2015, last revision 01/19/2018