Avoid Nerve Injury at the Lower 2nd Molar (Part 1)

When the inferior alveolar nerve (IAN) is not distinct in PA or Pan, CBCT is essential.  Coronal and sagittal sections should be studied repeatedly.

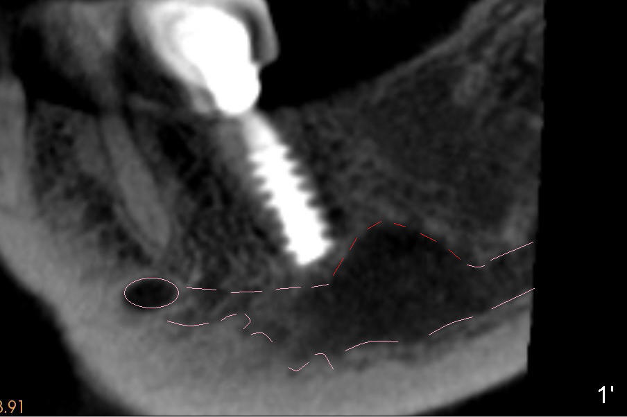
Abnormal anatomy of IAN is found (Fig.1' (sagittal section 200 µm): pink outline) at the site of #18 of a 56-year-old lady. There is an extra superior (coronal) bulging segment (Fig.1' red dashed line). 

Let us make a coronal section through the white line in Fig.1.  The coronal section (Fig.2,2') confirms the superior extension (red line) of the nerve (pink circle).  The length of implant is limited. Since the ridge is wide, an extra wide implant is planned.  In addition, the top of the ridge is pointed (yellow dashed line). 

In order to bury the implant completely, the length of the implant is further shortened, as shown in Fig.3.  A 6.4x8 mm tapered implant is placed, 2 mm below the original top of the crest and 2 mm above the nerve.  Is it safe?

Professionals Preparation

Xin Wei, DDS, PhD, MS 1st edition 01/26/2014, last revision 01/31/2014