![]() |
![]() |
![]() |
![]() |
![]() |
![]() |
![]() |
Tissue-level Implant Placement
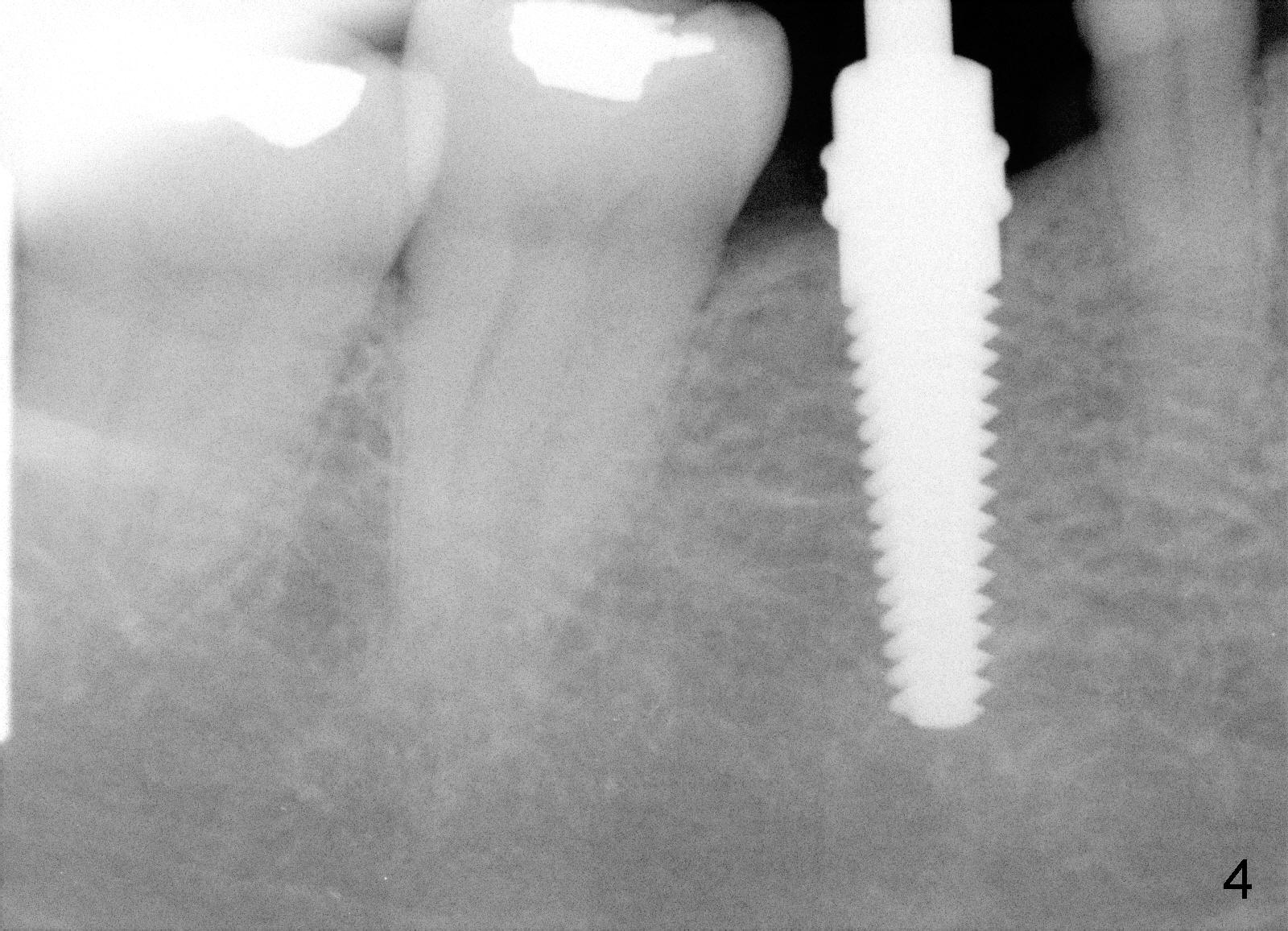
Due to unavailability of bone-level implant, a tissue-level implant is to be placed as a backup (Fig.1: 4.5x17 mm). Osteotomy is initiated with 1.5 mm pilot drill at depth of ~ 10 mm; the trajectory appears to be as good as expected (Fig.2). Osteotomy is gradually increased to 4.5x17 mm, followed by insertion of 4.5x17 mm tap (Fig.3,4). The ostetomy appears to be deviated lingual (Fig.5). When the tap is removed, the buccal plate appears to be thin (Fig.6). A tapered implant is placed (Fig.7).
Xin Wei, DDS, PhD, MS 1st edition 11/29/2013, last revision 11/30/2013