One Piece Implants for Bridge

A sixty-eight-year-old lady wants to have fixed prosthesis for missing lower incisors (Fig.1). 

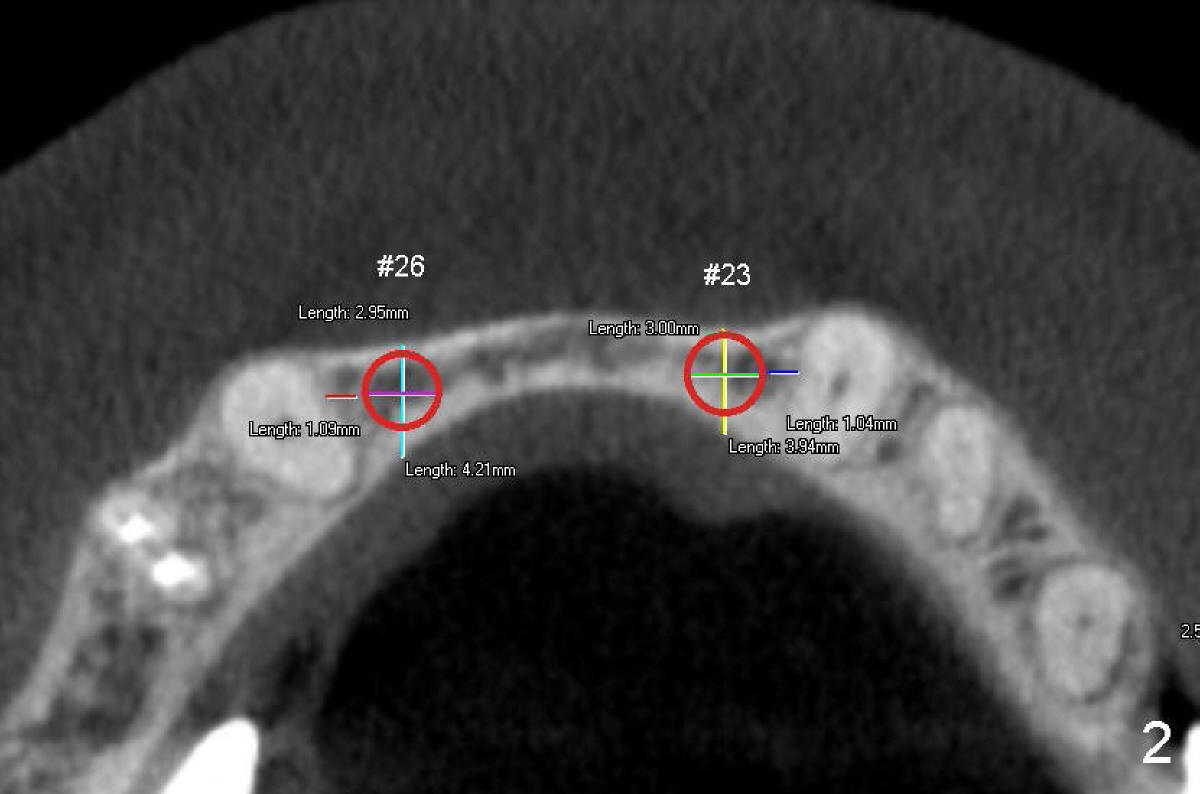
Fig.2 is an axial section at crest level.  The buccolingual width is about 4 mm.  The two red circles represent two 3-mm implants placed at the sites of #23 and #26. 

Fig.3 and 4 are sagittal sections for the sites of #23 and 26, respectively.  The widths of the crest are 3.8 and 3.3 mm, respectively.  The height is more than 15 mm.

Are two of 3x17 mm one-piece implants strong enough to support a 3 or 4-unit immediate temporary bridge (fixed partial denture, FPD)?  Can we place 3.5 mm implants in stead of 3 mm?  I plan to use bone expansion kit (ITI; appropriate size of expanders) after 1.5 mm and 2.0 mm pilot drills, before implant placement.  Does it sound ok?

Dr. Wei,
As you know, I am not a clinician. From what I have observed, our 3.0mm implants show nice strength if used in numbers.... I have seen large numbers of them used in the lower anterior along with a bar. In almost every case, (4) implants were used. The security of extra implants is always a plus. What happens if someone places (2), and the patient loses (1)?
Secondly, the 3.5mm one-piece implants are exponentially stronger if you can utilize them. With our aggressive thread design and taper, most patients have adequate bone to accept these and they cost exactly the same.
Just food for thought....

Company Representative, Tuesday, February 12, 2013 9:25 AM

Hello Dr Wei, I always prefer to use at least a 3.5 mm implant (two stage). This is why we teach you to expand the bone . I have always been able to place a 3.5mm implant or larger into an immediate extraction socket. The advantage in strength and esthetics far exceeds the slight difficulty in bone manipulation. The only time I used the one piece implant is when adjacent teeth have moved and closed the edentulous space and I did not have room to place the implant and still allow sufficient interproximal bone to allow the blood supply to remain uninterrupted. We would love to see you at least take the sinus lift and grafting class and then if you come for the cadaver course we can have you expand and place many implants. Dr Borgner Tuesday, February 12, 2013 2:42 PM

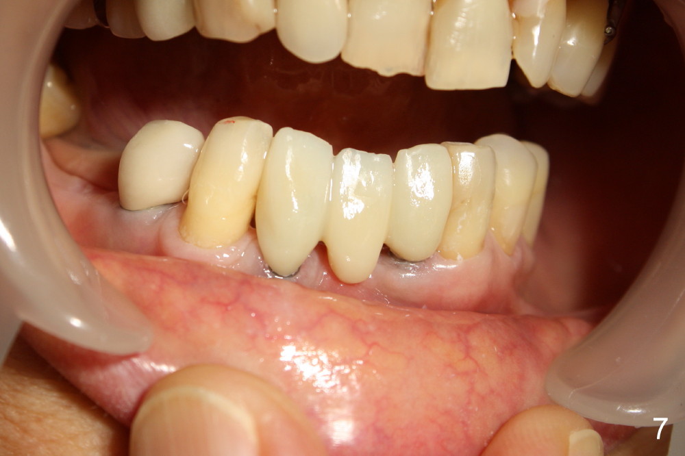
Two of one piece implants (3x17 mm) were placed at the sites of #23 and 26 on February 13, 2013 (Fig.5). The implant at the site of #26 was placed a little too labially with possible coronal labial plate fracture. Immediately fabricated was a provisional FPD, which was replaced by a definitive one three months and a half later (Fig.7).  PA in Fig.6 is taken five months post implantation (I: one-piece implant).

Xin Wei, DDS, PhD, MS 1st edition 07/19/2012, last revision 07/08/2013