![]() |
![]() |
![]() |
![]() |
![]() |
![]() |
||
1 piece implant for incisor with narrow space
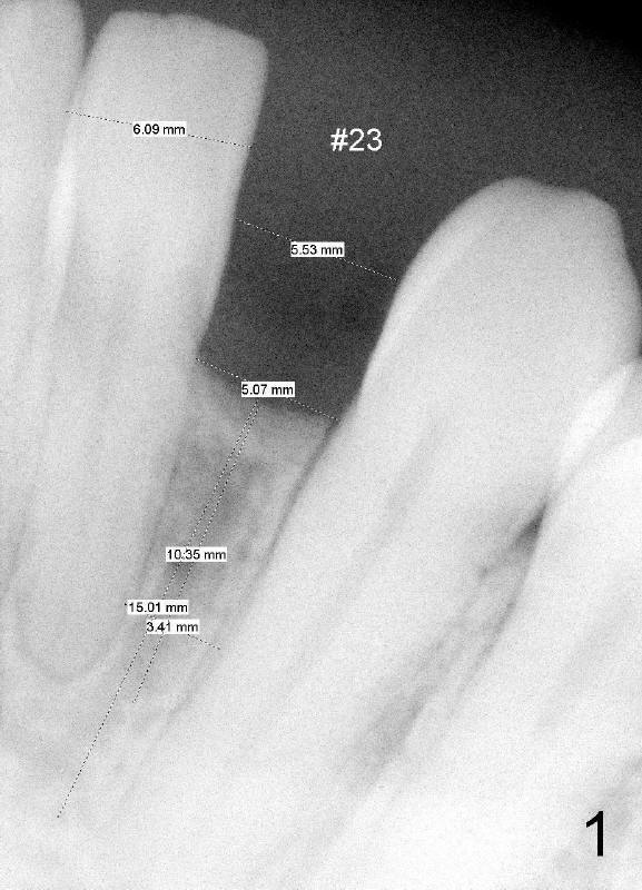
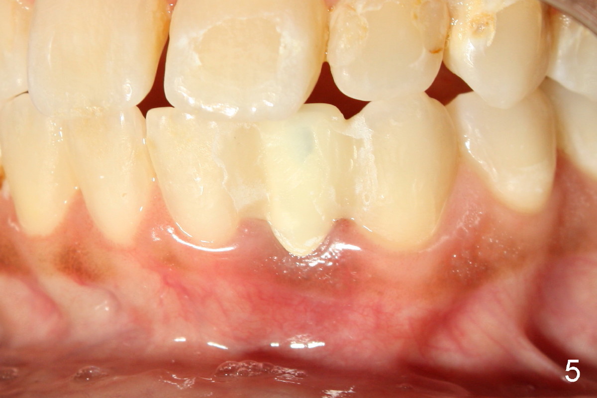
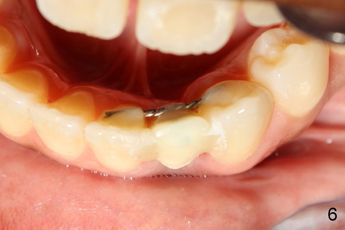
A 44-year-old black lady with ortho several years ago requests fixed restoration for #23 with narrow mesiodistal width (Fig.1). Treatment options are proposed: fixed prosthetic denture and implant. After discussion of advantages and disadvantages of each option, the patient agrees to have implant restoration. A 1.5 mm pilot drill is used to create osteotomy (Fig.2,3). After using 2.0 mm and 3.0 mm tapered osteotomes through the cortex at the crest, 3x17 mm 1-piece implant is placed (Fig.4) and temporary crown is immediately cemented with no centric or lateral occlusion. The patient is doing fine postop, although there is very mild percussion involving the tooth #24, three days postop. Fig.5 and 6 show that the temporary crown is bonded to the neighboring teeth interproximally and lingually. Retrospectively, ortho should have been done to torque the root of the tooth #22 prior to implant placement. Fig.3,4 show that there is space between #21 and 22.
Xin Wei, DDS, PhD, MS 1st edition 10/05/2012, last revision 10/07/2012