![]() |
![]() |
![]() |
![]() |
![]() |
![]() |
![]() |
![]() |
![]() |
![]() |
![]() |
![]() |
![]() |
![]() |
Discomfort after PFM cementation
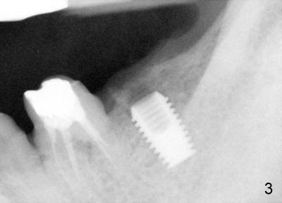
Fifty-four year old lady had had discomfort with a cantilever bridge (FPD) that restored #18 (Fig.1) and agreed to have FPD removed (Fig.2) and place implant (Fig.3: 5x8) 22 months ago. The lingual plateau of the implant was exposed due to plate perforation (Fig.4: <). At implant placement, #19 was found to have recurrent apical periodontitis. This tooth had root canal retreatment (Fig.5: 19), build-up (Fig.6: B) and crown (Fig.7: C).
Black healing plug was found exposed 1 week after implant placement: Fig.5 was taken 2 months post-op; the tissue around the plug looks healthy (<). Fig.7 X-ray was taken immediately before uncover, 3 months post-implant: there is crest bone resorption, as compared to Fig.3. The lingual plateau is not covered by bone (Fig.6: uncover).
A 4x6.5 non-shouldered abutment was inserted, prep and impressed for PFM on uncover. Fig. 8 PA was taken after intraoral cementation of crown (C).
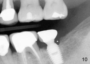
The patient has complained discomfort since cementation. Fig.9,10 X-ray was taken 11 months post-cementation, showing bone resorption, particularly in the distal aspect of the crest (*). At that time, there was food impaction between #18 and 19. Pick-up impression was taken to modify contact area of #18.
Cone-beam CT was taken for placement of implant for #31. Sagittal, coronal and axial sections for #18 were shown in Fig. 11, 12, and 13, respectively. It appears that the density in buccal (B) and lingual (L) aspects is higher than that in mesial and distal aspects (R: root of #19).
Today the patient returned to clinic for #31 implant placement. She complains that pain in the distal aspect of the gingiva during flossing, which was confirmed clinically. When the crown/abutment was removed, the tissue around the implant looks within normal limit.
Full mouth impression was taken and sent to Bicon lab for IAC. Do you think whether IAC can solve the problem?
Or should we remove the distal bone irregularity to improve local hard tissue morphology? Thanks.
Xin Wei, DDS, PhD, MS 1st edition 10/24/2011, last revision 10/25/2011