Immediate Implant for Bruxer?

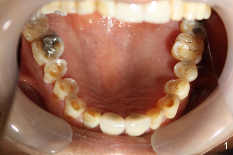
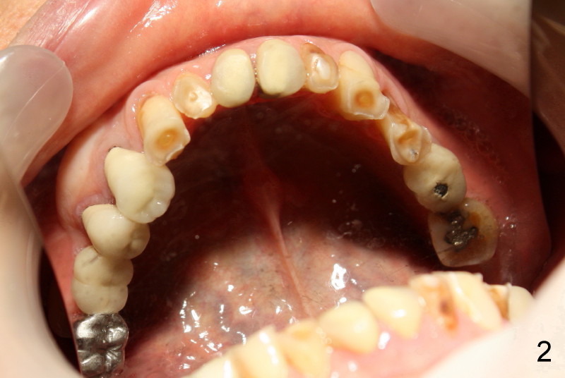
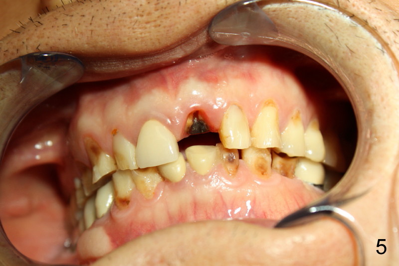
Sixty-five year old man is a bruxer, as shown in Fig.1, 2 (upper. lower arch, respectively, mirror view).  He has a night guard.  Fig.1-3 and Fig.4,5 are taken before and after crown fracture of the tooth #9, respectively.  It appears that the tooth is nonsalvageable.

Although gutta percha of #9 is overfilled, there is no active infection (Fig.3,4).  Can we place an implant immediately after extraction without loading or minimal loading?

Dear Dr. Lau:
It appears to me that you are against immediate implant.  Can you review a bruxism case to determine whether immediate implant is indicated?  And tell me why you are so conservative in this aspect? 

I am not a big fan of immediate implant. I have done a few case. If you do transmucosal implant, your implant is smaller than the original socket opening.  You have a wider open gap for the fibrin clot to fill. Primary closure is always preferred for transmucosal implant. That is one of the reasons.  Also if you let the socket heal for a few weeks, the cribiform plate starts to turn over and heal at the most active phase. That is the prime time for implant placement too.

What do you gain by doing immediate implant while you still can not restore immediately. Patient still has to function with transitional devices. You better off make a better transitional device let the socket heal, and then do implant. I am not aware of any orthopedic surgeon asking their patient run the day after the surgery.. This patient is a bruxer, implant is not immune to occlusal trauma.

A good immediate implant case should be to restore a very small teeth , e.g. lateral incisor.

Answer from Dr. Bernee Dunson:
Is there an indication for immediate or is it possible to do an immediate?  That is the question?
I believe with the information that I have been provided from your web site that we can do an immediate in this case, with the usual concerns for risk that we have to manage. Bruxism does provide an additional concern to manage so we have to examine "envelope of  function". Then we have to make  the appropriate adjustments for protection and proceed.  
I would gladly welcome to opportunity to provide any help that you need on this case.


Xin Wei, DDS, PhD, MS 1st edition 09/06/2011, last revision 09/07/2011