![]() |
![]() |
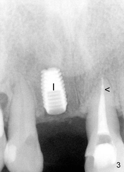
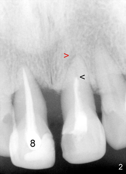
Fig.2 pre-op: #8 endo-perio disease, nonsalvageable; #9 RCT short fill (black arrowhead) with periapical radiolucency (red arrowhead). Fig.3: 15 months after RCT retreat (arrowhead), the periapical radiolucency of #9 isappears; 12 months after extraction of #8, Bicon 4.5x8 mm implant placed (I). Return to original article
Xin Wei, DDS, PhD, MS 1st edition 05/15/2011, last revision 05/15/2011