![]() |
![]() |
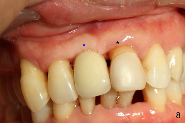
Fig.7 shows the gingiva around the crown (to be cemented) with healing incision #2. Five months after crown cementation, the gingiva looks healthy (Fig.8 blue *, as compared to that of the neighboring tooth, black *). Return to original article
Xin Wei, DDS, PhD, MS 1st edition 10/10/2011, last revision 10/10/2011