![]() |
![]() |
![]() |
![]() |
![]() |
|
![]() |
![]() |
![]() |
|
|
|
Early Loading?
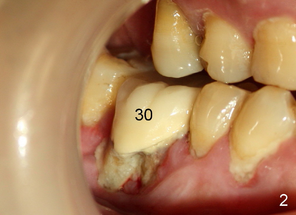
A 46-year-old man has severe periodontitis. The tooth #30 is complicated by incomplete root canal therapy (Fig.1,2). Three months after extraction (Fig.3-5: N: inferior alveolar canal), a 5x14 Tatum tapered implant is placed (Fig.6,7). The problem is that an implant driver is fractured (D in Fig.7), while the implant is being torqued. It takes time and effort to remove the fractured driver, but the implant is solid. The healing screw is placed without difficulty (Fig.8). Since the implant is placed lower than the lingual gingiva (L in Fig.9), a healing cuff is placed 1.5 months after implant placement (Fig. 10 and 11: C) to push the lingual gingiva down. The X-ray appears to show lower bone density around the implant (bone necrosis?), although the implant has no mobility at all. Since the implant is so solid, can we load it, two months after surgery? The lingual gingiva is now lower than the healing cuff (not shown). CT is scheduled to be taken tomorrow. Thanks.
I would load now, but allow a
provisional(acrylic) crown to remain in place another month before placing the
final crown. Make sure the provisional has NO lateral contacts in function. When
removing the broken "driver" be sure to use copious coolant. Make sure the crown
has its margin on the implant ! Dr B
Xin Wei, DDS, PhD, MS 1st edition 09/12/2012, last revision 09/13/2012