![]() |
![]() |
![]() |
|
![]() |
![]() |
![]() |
![]() |
Add an Extra Implant to Bridge?
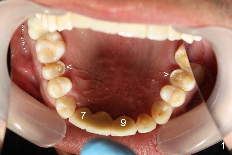
Fifty-year-old Chinese man has family history of bruxism (mother and brother). Approximately three years ago, Dr. Lee (periodontist) placed 3i implants at sites of #7 and 9. UCLA custom abutment supported Pro-Cera Zirconia FPD was cemented with Tempbond on Feb. 12, 2008. Porcelain chipped from #9 on the same day. After repair, FPD was cemented temporarily on March 5, 2008. The bridge was dislodged on Dec. 29, 2008 and recemented with 3 M Ketac. A year later (Dec. 30, 2009), porcelain chipped from #9 incisal edge. The bridge was cut off for new impression.
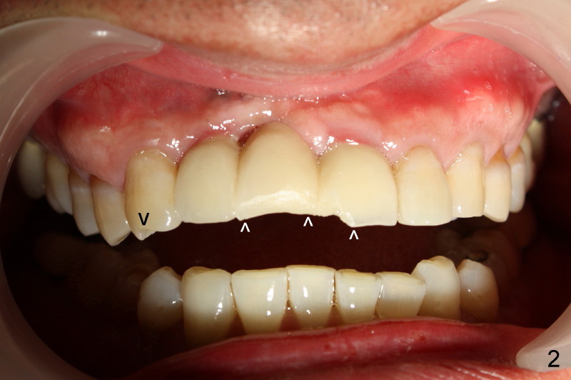
Fig.1 was taken when the new bridge was temporarily cemented (mirror view, Jan. 28, 2010). Arrowheads indicate enamel chip from the lingual cusps of the upper 2nd premolars. On Nov. 11, 2010, the bridge became loose again and was cemented permanently. Two months later (Jan. 27, 2011), porcelain chipped again as shown in Fig.2 and 3 (white arrowheads; black arrowhead points to wear facet of the tooth #6). The chipped bridge was removed.
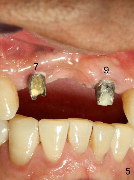
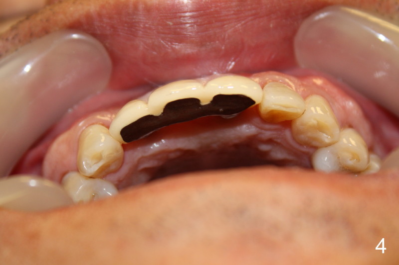
This time PFM FPD was fabricated with lingual metal as shown in Fig.4. The bridge was temporarily cemented on Feb. 09, 2011. Night guard was fabricated later. Unfortunately the bridge came off 7 months later and was recemented temporarily. Permanent cementation was not attempted, because of potential porcelain chip or implant/abutment screw loosening due to bruxism. Yesterday, the patient reported that the bridge was loose again. Today, #7 build-up changed from loose, disintegrated Cavit to more solid composite (Fig. 5 to 6). The bridge was cemented temporarily to avoid porcelain chip related to permanent rigid cementation. Fig.7 shows occlusal equilibrium after cementation. The patient felt that there was no premature contact to the bridge. What should we do next? Can we add an implant at the site of #8. Can this alleviate bruxism-related problems (easy decementation, porcelain chip and possible loosening of screw between abutment and implant)? Thanks.
Xin Wei, DDS, PhD, MS 1st edition 10/18/2011, last revision 10/19/2011