How to change single unit implant restorations to hybrid denture?

Dear Drs. Dunson and Borgner:

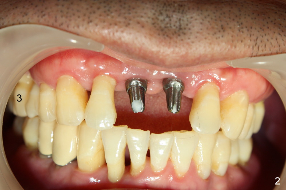
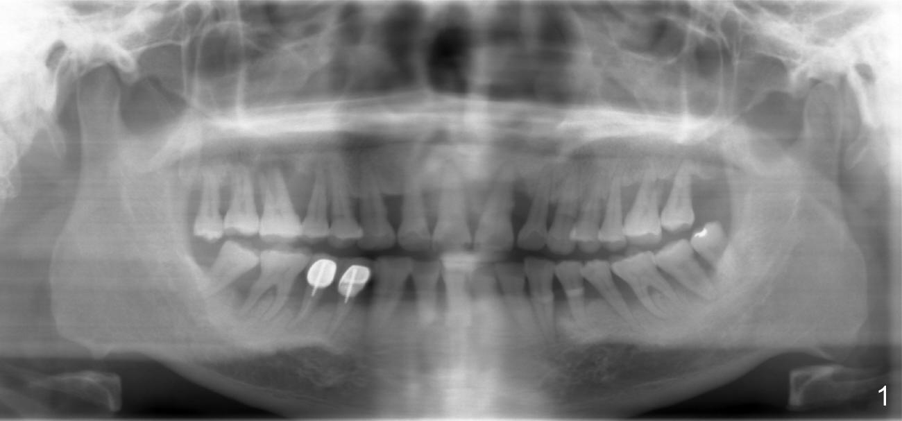
It is my pleasure to have met you in AAID meeting and have discussed one of my cases.  It tells me that good treatment planning is critical.  Can you help me deal with a case of potential bad treatment plan?  A 40-year-old man has severe periodontal disease (Fig.1).  It must be the best case for hybrid denture.  Unfortunately, three months ago, the teeth #8,9 were extracted due to mobility and replaced with immediately provisionals (Fig.2: taken 1.5 months postop).  The uniposts were permanently cemented.  Temporary crowns look long.

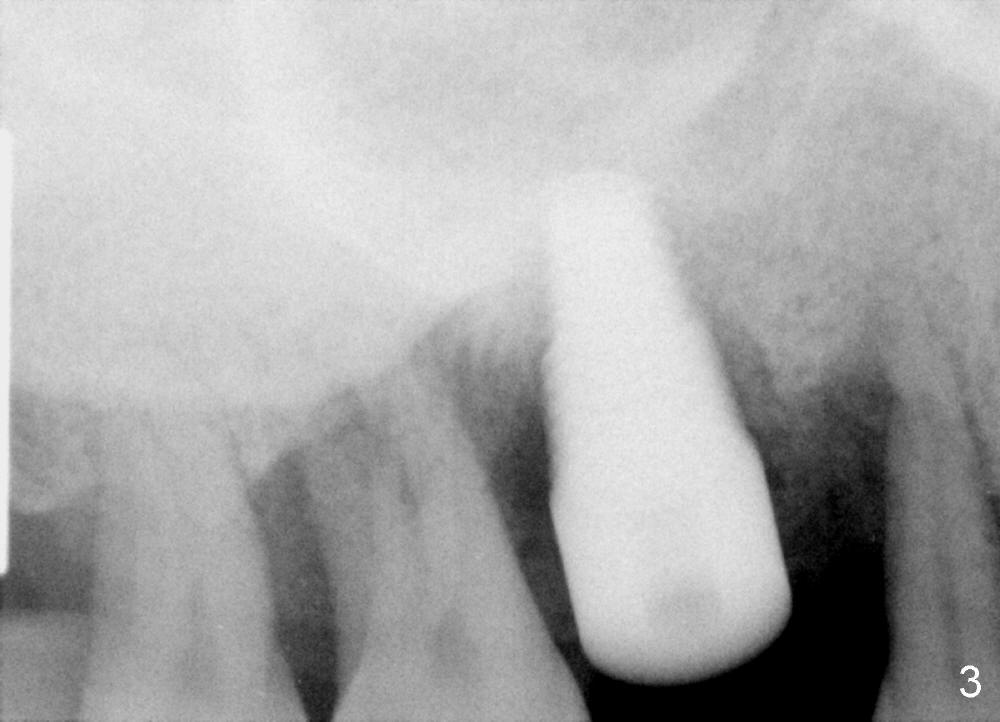
Today the tooth #3 was extracted because of cold sensitivity and immediate implant placed (Fig.3: 7x17 mm).  This is my plan.  Four months later, a 6 mm 0 degree unipost will be rotated in place tightly without cementation.  One or two heavy antirotational grooves will be placed between the implant and the abutment.  A temporary or permanent crown will be cemented temporarily.  In case, a hybrid denture is expected in the future.  The crown and the abutment can be removed easily. 

Then how can we remove the permanently cemented abutments from the implants at the sites of #8 and 9 (Fig.2)?  Thanks.

Dr Wei,  The cervical position of the centrals looks perfect in relationship to the laterals.  The long crowns are a result of the perio bone loss just as the laterals are longer for the same reason.  The posts cannot be removed now that they are cemented.  The decision to use a hybrid denture must be made at the time of initial treatment planning.  Dr B 11/05/2013

Xin Wei, DDS, PhD, MS 1st edition 11/04/2013, last revision 11/05/2013