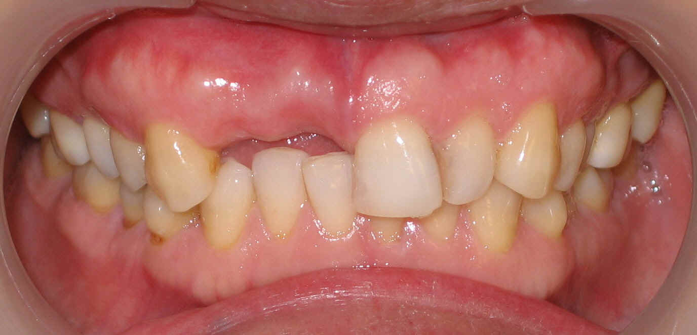
Fig.1 (magnification): deep overbite and moderate deep overjet may be the reason that the incisal edge or cingulum is not a reliable anatomic landmark to determine site and angulation of implant placement. Back to main text