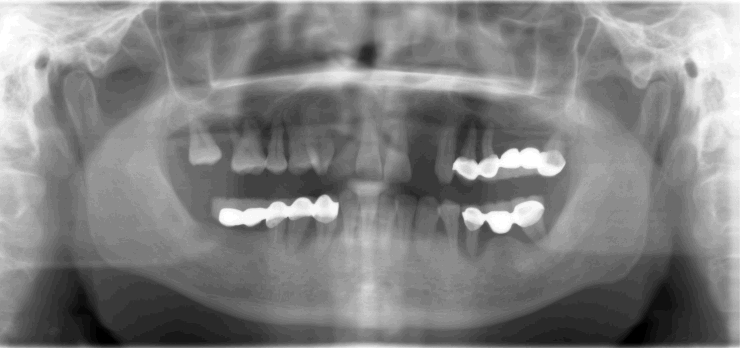
Fig.1 Pre-op panorex showing failing restoration and advanced periodontitis