![]() |
![]() |
![]() |
![]() |
![]() |
![]() |
Fig.6: a 5x17 mm tapered implant is placed with insertion torque > 60 Ncm.
Fig.10: five months postop with immediate provisional. Bone immediately next to the rough surface of the implant undergoes remodeling (*).
Fig.12: 16 months postop (before impression).
Fig.14: 40 months postop (21 months post cementation). The cortical bone forms (<).
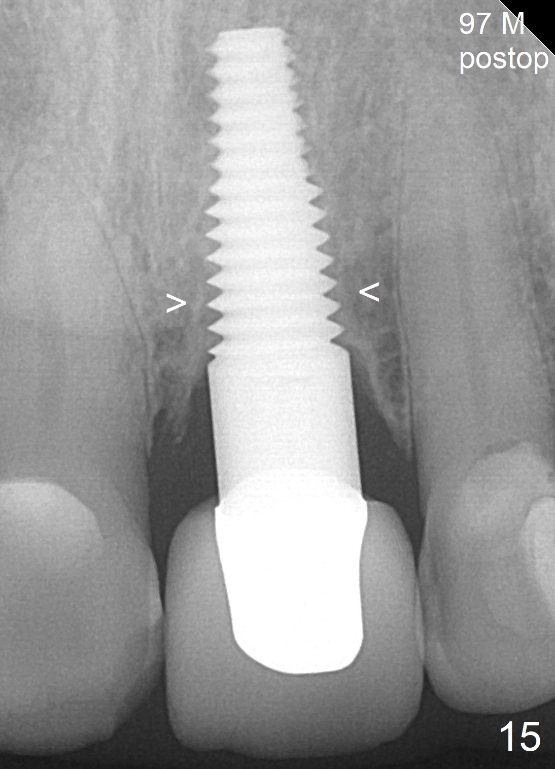
Fig.15: 97 months postop (2.5 years post cementation). The cortical bone extends apically along implant threads (<).
Although there is no bone loss around the implant (Fig.17), metal starts to show 5 years 2 months postop (Fig.18 ^), probably related to the buccal placement, too large the implant for the site or buccal plate atrophy (Fig.19).
Return to Immediate Provisional Last Next
Xin Wei, DDS, PhD, MS 1st edition 06/24/2013, last revision 08/29/2018