![]() |
![]() |
![]() |
![]() |
![]() |
|||
Immediate Implant in a Large Socket
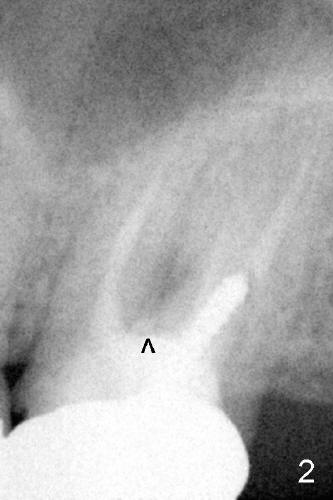
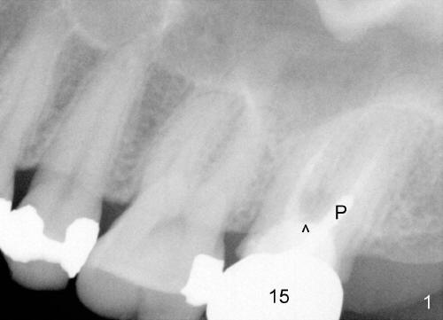
A 42-year-old lady has had problems with the tooth #15 for 4 years. First the crown was dislodged with open margin and furcal lesion (> in Fig.1, P: post; X-ray taken in 2008). Since 2009 (Fig.2,3), the tooth has occasional swelling. The furcal radiolucency remained in the panoramic X-ray (Fig.4 and 4'). Now the patient agrees to have extraction and implant placement.
Preliminary treatment plan is antibiotic to control acute infection, atraumatic extraction, bone expansion of the septum, possible sinus lift and immediate implant placement (diameter 7 or 8 mm, see Fig.3 for socket dimensions).
Answer from TatumSurgical: Dr. Borgner is on vacation and can respond next week. I am not a clinician, but in my experience I have observed when a tooth has pathology it is wiser to clear the problem before placing the implant. If an infection forms on the implant body, it is often difficult to clear it.
Dr Wei, This is a case that I would not place implant at the same time as removal. The chronic furcal involvement will clear in 4 weeks after removal of the tooth. I would place implant 4 weeks after removal of tooth in a manner just as you have suggested. This will allow time for infection to clear and yet allow for preservation of the bone and weaken the cribiform plate enough to expand nicely. Dr Borgner 11/21/2012
How large is the implant placed?
Return to Professionals
Xin Wei, DDS, PhD, MS 1st edition 11/13/2012, last revision 03/31/2015