Post-implant Pain 

Fifty-five-year-old lady has had pain and swelling associated with #8 for a while in spite of apicoctomy in home country (Fig. 1 and 1' *, > (fistula)).  #9 is prosthodontic failure (Fig.1').  Both teeth are extracted at the same time. 

An immediate implant is planned for #9.  Bicon reamers are being used to harvest autogeneous bone from #9 socket during osteotomy (Fig.2). 5x20 mm Tatum tapered implant is inserted with primary stability (Fig.3).  The socket of #8 is debrided, irrigated with copious normal saline and Tetracycline solution, grafted with autogenous bone and Pure Phase Beta-Tricalcium Phosphate and covered by Resorbable Collagen Membrane.

Wounds heal uneventfully. Two months later, an implant is placed at the site of #8 (Fig.5).  Fig.4 is a preop X-ray, showing graft (*).  Two weeks later, swelling and pain recur (Fig.7).  Amoxicillin 500 mg tid is prescribed for a week.  Symptoms and signs improve after antibiotic treatment (Fig.8).  A month later, the patient complains tenderness on touching the implant of #8 without swelling.  A X-ray film is taken (Fig.6).  The symptom is again controlled while taking oral Clindamycin and relapses when treatment is terminated.  What should we do?

Dr Wei,
Tooth #8 has an expanding radiolucency (Fig.9 * as compared to Fig.10).  Antibiotic is not going to fix this. Apico surgery will destroy the nice buccal bone (Fig.9 >). I have seen this before, The best choice is to remove the implant with a little curettage at the apex area only. Put a hemostatic gauze, absolutely no bone graft needed. Let it heal for 4 to 6 month. Then implant again.
Regards,
Joseph

The implant at the site of #8 was removed without difficulty, 3 months after its placement.  Apical granulation tissue was removed, although not much.  The buccal plate remains intact.  The socket was copiously irrigated with normal saline with Tetracycline. Buccal and palatal flaps were raised with periosteum scored.  The wound was closed (Fig.11).

Dear Dr. Lau:
Thanks for seeing the patient and providing advice on removing the implant. In fact the procedure was done smoothly, basically according to your suggestion. Will the buccal plate collapse in 4-6 months? Can we implant again sooner? Thanks again.

I never concern the collapse of buccal bone. We can always expand it back out, as long as they are intact. Wait longer is always better.

Dear Dr. Borgner:
Thanks for calling me (immediately before I saw the patient) and providing advice on removing the implant. In fact the procedure was done smoothly, basically according to your suggestion, including approximating the socket (Fig.11). Will the infection dissolve in 6 weeks before redoing implant placement? The buccal plate is intact, and must be thin.

Dr Wei, Infection will clear in 6 weeks. Use osteotome to form socket at that time, thus the thin buccal plate will not be an issue. Dr. Borgner

Update: Fig.12 is taken 15 days after implant removal. 

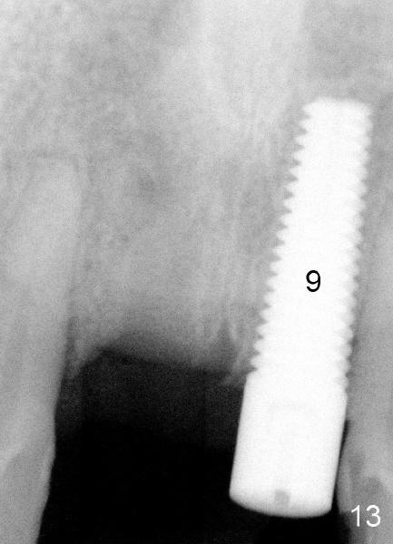
X-ray in Fig.13 is taken two months after implant removal and immediately before 2nd implant placement.  Round tapered osteotomes (2 and 3 mm) are inserted into the socket.  Then a 4.5x20 mm tapered tap (Fig.14: T) is driven into the socket first by a slow handpiece and second by drill/tap extender (without wrench).  Finally a 5x20 tapered implant is torqued into the recipient socket with some degree of resistance (Fig.15: I).

Xin Wei, DDS, PhD, MS 1st edition 07/05/2012, last revision 09/18/2012