![]() |
![]() |
Salvageable or not (2)?
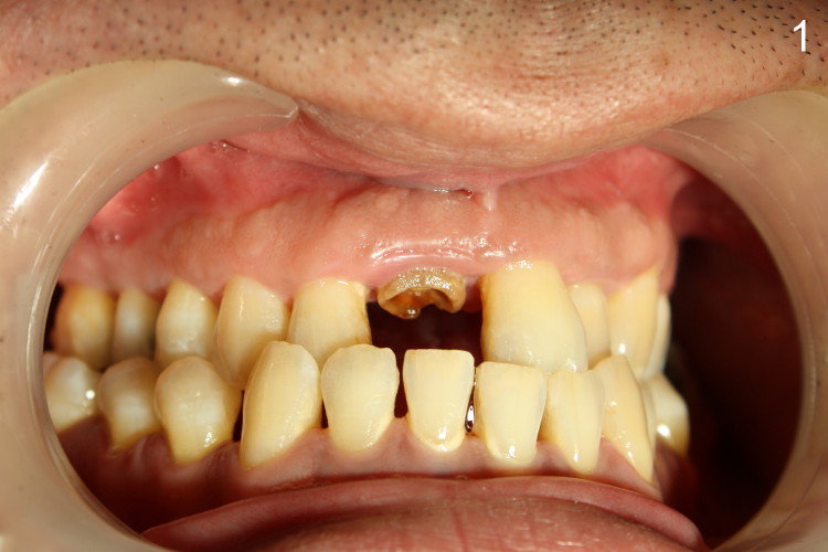
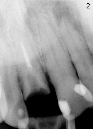
A 37-year-old otherwise healthy gentleman presented to clinic for extraction due to multiple times of crown failure (Fig.1,2). It appears that crown margin is ~2 mm supragingival. After RCT retreatment and fabrication of cast post & core, the tooth seems to be salvageable. But the patient was adamant in extraction and implant restoration.
Finally the tooth was extracted. In fact, it is indeed nonsalvageable. Can you guess what is the main reason for non-salvageability?
Xin Wei, DDS, PhD, MS 1st edition 08/03/2011, last revision 09/09/2011