![]() |
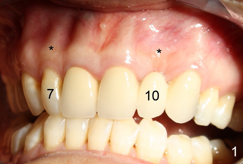
|
![]() |
![]() |
![]() |
|
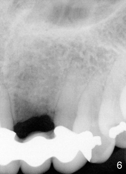
|
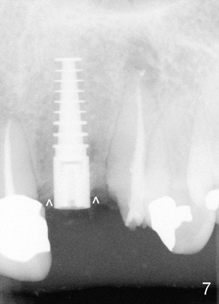
![]() |
|
f![]() |
![]() |
|
![]() |
![]() |
||||
|
![]() |
![]() |
![]() |
![]() |
||||
|
|
|
![]() |
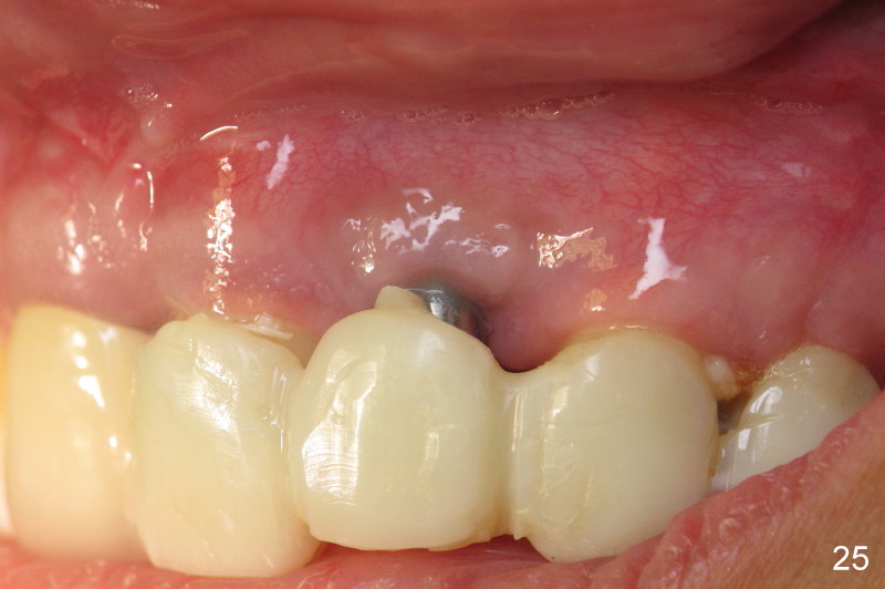
![]() |
|
||||
|
||||||||
Segmental Osteotomy for Misplaced Implant
This corrective surgery was performed by Dr. Bernee Dunson.
Xin Wei, DDS, PhD, MS 1st edition 12/21/2011, last revision 12/23/2011