![]() |
![]() |
![]() |
![]() |
![]() |
![]() |
![]() |
Shorter Unipost for Large Implant
A 19-year-old female requests implant replacement for the tooth #3 (Fig.1). Due to large defect of the carious lesion on #3, the tooth #2 has shifted mesially (arrow).
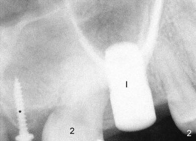
After extraction of the teeth #1,3 and 32, a mini-implant (Fig.2 *) is placed as anchorage to distalize #2. Space is created for #3 implant in 3 months. A 7x14 Tatum screw implant is placed as deep as possible with sinus lift (I).
Fig.3 shows the implant 3 months post placement. It is not placed too superficial. The tooth #2 appears to be more distalized (using a lingual button as mesial fixed point (Fig.3 <)) than that in Fig.2.
A 6 mm 0 degree unipost (5 mm in length) is used. There is more trimming with larger uniposts (larger trimming surface). On the other hand, too aggressive trimming is avoided to prevent poor retention. In this case, the unipost is trimmed so much that the Tatum screw driver does not fit. A cross pattern has to be made on the coronal end of the unipost in order to use a household screw driver to engage the unipost into the implant well.
After crown cementation, the patient moves to Washington DC. She returns on vacation to replace PFM crown (Fig.4 C) with chip (*). Fig.5 shows a new Emax crown (C) after cementation. What is the most troubling is that there is cracking sound during cementation. The patient calls from DC, reporting that there is minor chipping. It is planned to fabricate a Zirconia crown next time she returns for visit in Atlanta.
In all, shorter abutments (3 mm) can solve space issue for restoration, particularly for young patients without vertical bone loss.
Fig.6 and 7 show the die in buccal and mesial views, respectively. Red arrowheads in Fig.7 indicate the crown margin that rests on the implant, whereas the white arrowheads point to the junction of the implant and the abutment. It appears that the height of the abutment is approximately 2 mm (B: buccal).
Return to Professionals
Xin Wei, DDS, PhD, MS 1st edition 05/05/2013, last revision 05/16/2013