![]() |
|
![]() |
![]() |
![]() |
![]() |
![]() |
![]() |
Where to Cut Unipost Predictably?
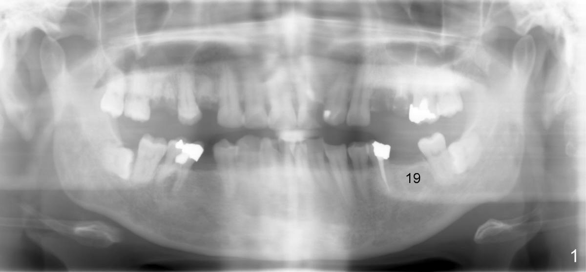
Mr. Zhou is in his fifties. Finally he starts implant restoration. But he has financial constraint. It appears that implant restoration at the site of #19 is the most rewarding in term of restoration of his mastication with a single implant (Fig.1). The implant is apparently placed at the proper level (Fig. 2: I, 6x17 mm). The implant is osteointegrated with minimal bone resorption at crest six months later (Fig.3). The teeth #15 and 18 cannot occlude when 4.5x5 mm abutment (Fig.4: A) is placed at #19 implant (<). It takes a while to trim the unipost from the top gradually in order to let #15 and 18 have normal occlusal contact (Fig.5 mirror image). By that time, the abutment is approximately 2.5 mm tall.
It has never occurred to me that the abutment can be truncated with a fissure bur. How can we avoid cutting too short? Retention of crown may be affected if the abutment is too short.
The last, but avoidable drawback of the extraoral adjustment of the height is water spray. If my assistant is running other errand, my pants are wet pretty quick (Fig.6,7 arrowheads).
Return to Professionals
Xin Wei, DDS, PhD, MS 1st edition 05/25/2013, last revision 05/26/2013