![]() |
![]() |
![]() |
|
![]() |
![]() |
Tips for D Implant Placement
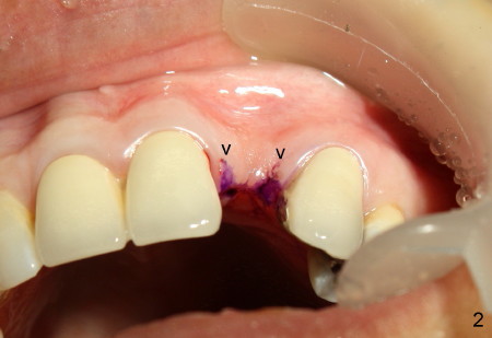
A Chinese lady in her late 40s has lost #10 for approximately 7 years. It has been restored by a 4-unit fixed prosthetic denture. There is severe atrophy in the alveolus (Fig.1 *). She does not want to have bone graft and finally agrees to have bone expansion and implant. After removal of the pontic, a semilunar incision is made with the base toward buccal (Fig.2: arrowheads) and the end across the crest toward lingual. The purpose of the design is to have bulky buccal gingiva in the end of surgery.
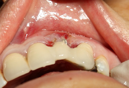
It turns out that the incision design is not helpful. As bone is expanded with Tatum's D implant kit, osteotomy becomes more and more buccal. After D1 implant (4x16 mm) is placed (I in Fig.3), there is extra gingiva (G) buccal, whereas lingual osteotomy is exposed. Bone graft (Bicon Synthograft) and collagen plug (P) have to be used to close the wound. Fig.4 shows that the pontic is rebonded to retainers. The atrophy is corrected after bone expansion and placement of D implant (Fig.3,4). An off-angled abutment will be used to compensate for the position of the implant.
According to manufacturer, the best way to fix buccal position of the implant is that during surgery, once the problem is noticed, unscrew the implant, deepen the osteotomy and place the implant again in a deeper position.
Surprisingly, the extra gingiva (G in Fig.3) turns out to be useful. Three weeks post-operatively, a thick band of gingiva with stippling forms in the labial aspect of the implant (between arrowheads in Fig.5, as compared to the gingiva in the edentulous region pre-operatively in Fig.6). In addition, the gingiva is also closing the wound in the lingual aspect the implant (* in Fig.5), where bone graft and collagen plug (P in Fig.3) have to be used to fill the gap during the surgery.
Xin Wei, DDS, PhD, MS 1st edition 03/17/2011, last revision 04/08/2011