Vertigo Develops after Bone Expansion

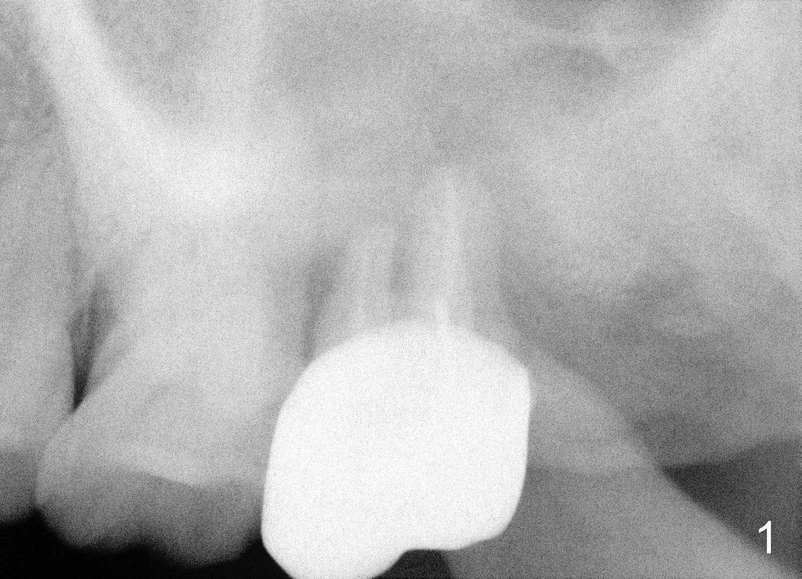
A 50-year-old lady presented to clinic with chief complaint of a loose tooth upper left.  The tooth #15 has complex endo-perio disease (Fig.1,2).  It was extracted on November 29, 2012.  She returned to clinic for implant placement on January 28, 2013.  Under local anesthesia, osteotomy was prepared with combination of bone expansion and drilling (Fig.3: 4x14 tapered drill).  She was not comfortable with tapping.  Finally, Tatum tapered implant (6x14) was placed (Fig.4) with 35 Ncm.  She felt dizzy when she stood up from dental chair. She felt better by the evening of January 29, 2013.  But the following morning, she did not feel good.  She wonders when the symptom will disappears.

Dr Wei, We discussed this in class ! The dizziness will go away, it occurs on occasion when calcific deposits within the inner ear are dislodged during the tapping and then collide with "hair like" receptors found within the inner ear that assist in balance. This normally clears within a few days and no treatment is necessary. I have seen this 3 times in 30 years. Dr Borgner
Thursday, January 31, 2013 3:40 PM

The vertigo does disappear pretty soon.  The patient is pleased with the implant.  PAs are taken 7 months (Fig.5,6 arrowheads: sinus floor) and 1 year 7 months (Fig.7,8) post cementation.  The tooth #14 has furcation infection (Fig.8). Back to Professionals Follow up Xin Wei, DDS, PhD, MS 1st edition 01/29/2013, last revision 08/11/2019