![]() |
![]() |
|
![]() |
![]() |
![]() |
|
|
![]() |
![]() |
![]() |
![]() |
![]() |
![]() |
![]() |
![]() |
Prevent Post-implant Infection
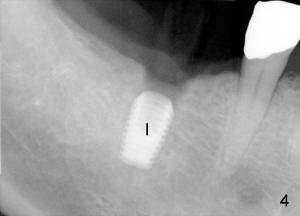
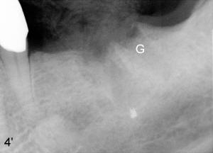
Mr. Lip returns to clinic for #30 and 31 implant placement. At the time of impression, there is no sign of gingival swelling around the tooth #19 (Fig.1: >; although the tooth has suspected root fracture). The patient requests keeping this affected tooth as long as possible while #30,31 implants are being placed and restored. This is not the case at the appointment of implant placement on the other side (Fig.1': *). There is localized gingival erythema and edema at the ML line angle. It appears that the treatment plan should be changed: the number of implants to be placed should be reduced from two to one and the infected tooth should be extracted to decrease the chance of implant infection. These two procedures are intended to be done at the same time so that bone harvested from #30 implant osteotomy (Fig.2) can be saved (Fig.2': < in dapen dish) and grafted in #19 sockets (Fig.3', 4'), particularly in the mesial one with severe bone loss due to root fracture.
The second precaution to be taken to prevent post-implant infection is to place implant subgingival (submerged with suture to close the incision), instead of supragingival (Fig.3,4). Bicon 5x8 implant is used with bone expansion. The short implant also reduces chance of damage to the inferior alveolar nerve. Paresthesia and hyperethesia (pain) prevents the patient from keeping good oral hygiene post-operatively.
Postoperatively, there is minimal pain for Mr. Lip. The patient rinses with Chlorhexidine, although he does not take Amoxicillin. Luckily, there is no sign of infection either in #30 implant placement area (Fig.5, wound dehisces after suture removal), or in the extraction sockets (Fig.5'), one week postoperatively.
In brief, it is essential prior to implant placement to get rid of any oral infection, no matter how far it is from the implant area. If eradication of infection is done at the same time, the implant should be submerged to prevent contamination. Preferably, antibiotic is used pre- and post-operatively. Good oral hygiene should be maintained.
Unfortunately, there is bone resorption around the implant 3 months postop (Fig.6: >, as compared to Fig.4). Granulation tissue is present over the implant (Fig.7 *). The patient complains occasional pain and swelling after implant placement. Bone resorption is confirmed after removal of granulation tissue around the implant (Fig.8 *). After acid etch, Endogain (Fig.9 *, Straumann) is placed around the implant (P: healing plug). Flaps are approximated with 4-0 plain gut suture. Collagen membrane should have been used. Amoxicillin is prescribed, but the patient does not take it. It appears that bone graft to the sockets of #19 helps form an apparently continuous bone plate at the alveolar crest over the mesial (M in Fig.6') and distal (D) sockets, as compared to Fig.4'.
Three months later, the wound heals. X-ray shows that bone loss distal to the implant (Fig.6 double arrowheads) disappears, similar to the one taken another two months later (Fig.10), when the implant is uncovered. The circumferential bone loss shown in Fig.8 is reduced to the distal crest of the implant at the time of uncovering (data not shown).
Xin Wei, DDS, PhD, MS 1st edition 08/20/2011, last revision 04/09/2012