![]() |
![]() |
![]() |
![]() |
Perio Repair
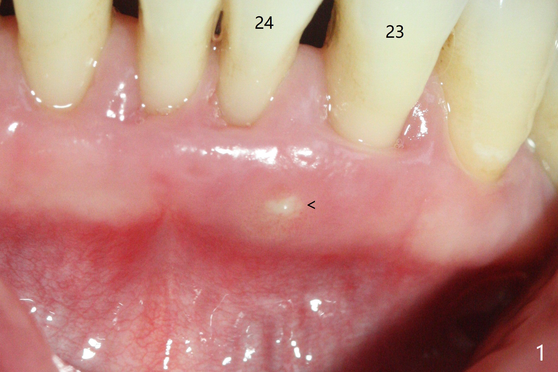
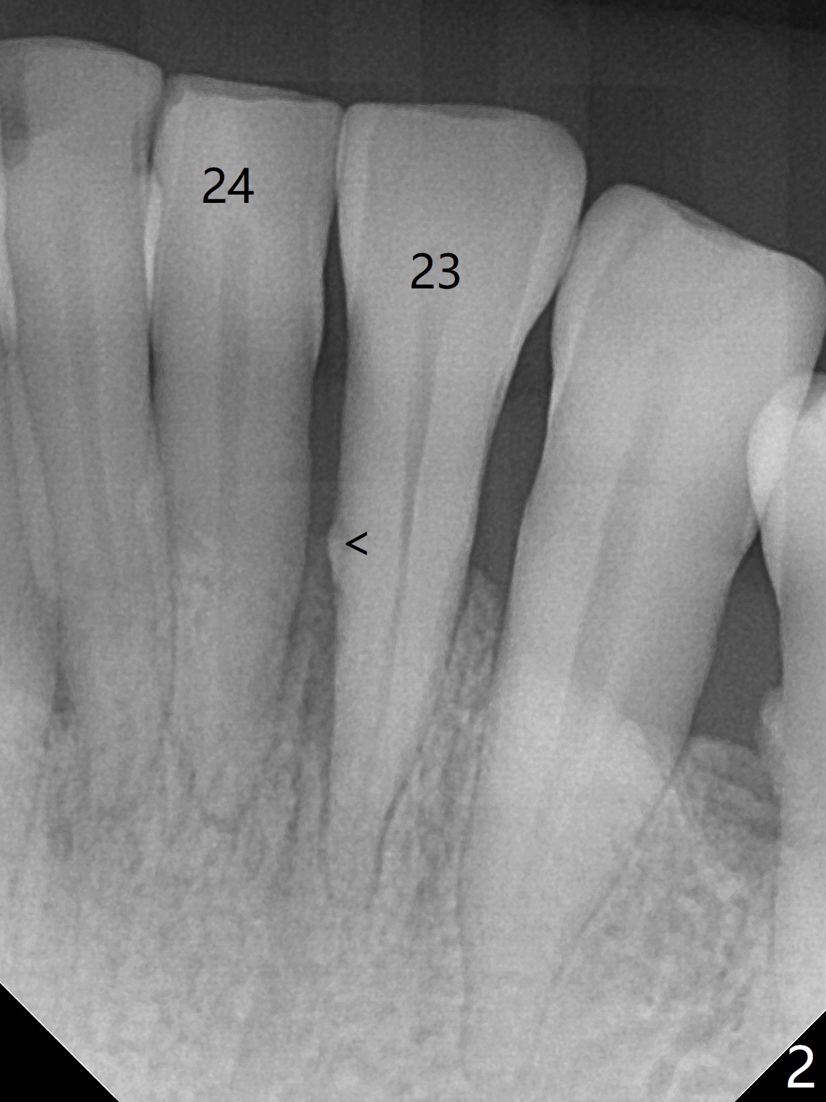
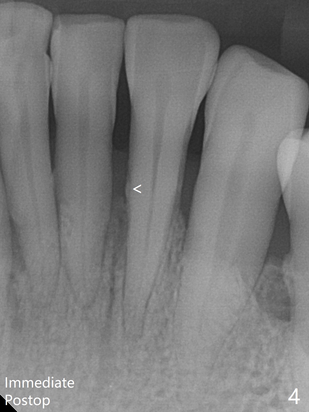
A 45-year-old woman returns for perio maintenance with erythematous and edematous papilla between #23 and 24. Two days later the infection subsides with sinus track (Fig.1 <). With infiltration anesthesia, Waterlase is used for outer and inner (steps 1,3) pocket de-epithelization (and retratction), and sulcular debridement/degranulation (step 5, Fig.3). Gingivectomy (step 2) is omitted because of severe existing gingival recession. Scaling and root planing is not conducted since step 3 seems to be able to remove fine subgingival calculus (Fig.2 <). But it appears not sufficient (Fig.4). Bone decortication should be implemented in future cases (step 6). Mepivacaine is administered in block fashion immediately postop for pain control. The patient is doing fine postop.
Return to
Waterlase
Xin Wei, DDS, PhD, MS 1st edition
12/19/2019, last revision
12/22/2019