![]() |
![]() |
![]() |
![]() |
![]() |
|
![]() |
||
Gingivectomy for Natural Tooth
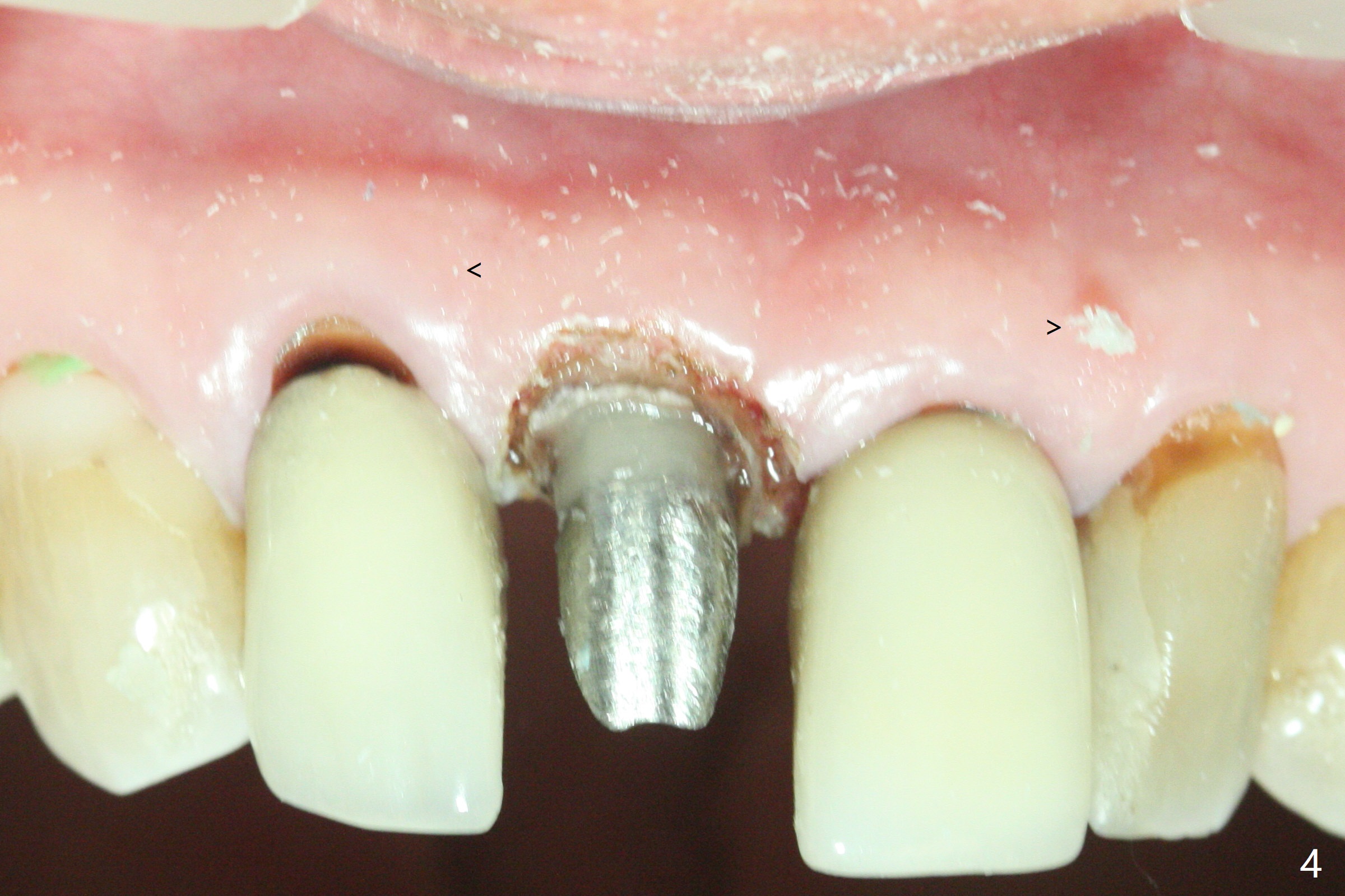
A 66-year-old man returns to clinic for #8 crown redo because of marginal leakage (Fig.1 *). After crown and caries removal, the tooth requires crown lengthening or basically non salvageable (Fig.2,3). For untold reasons, gingivectomy is performed with Waterlase without topical or local anesthesia. Hemostasis is excellent for impression, although there is wide spread of tissue debris from laser (Fig.4 >). The gingiva heals 4 weeks (Fig.5) and 6 weeks (Fig.6) postop.
Return to
Waterlase
Xin Wei, DDS, PhD, MS 1st edition
12/19/2019, last revision
02/08/2020