Extract #32?

Dear Dr. Shaughnessy:
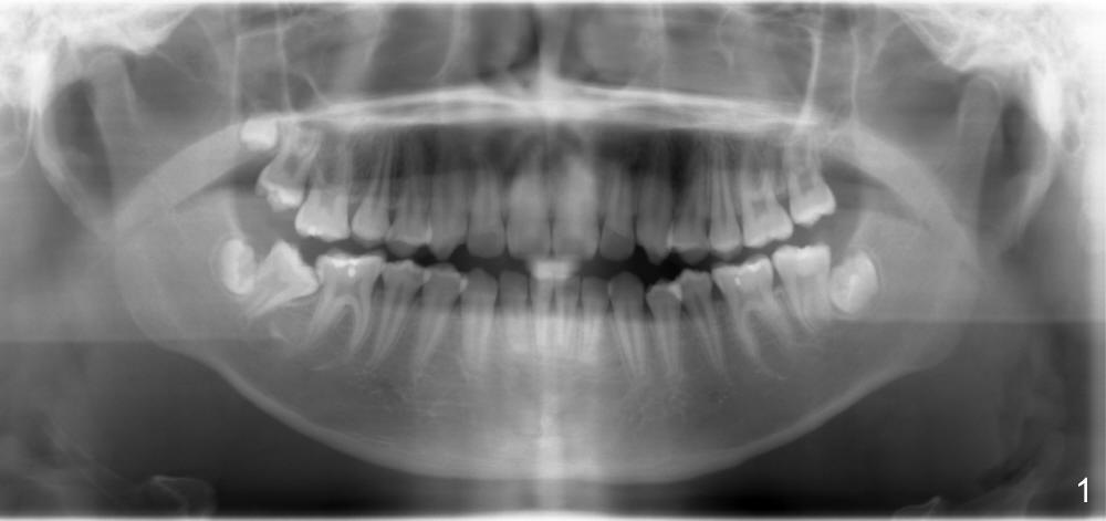
How are you lately?  The tooth #31 is mesioangularly impacted (13 year old fully developed boy).  Is it be able to be auto corrected?Do you recommend extracting #32 before orthodontic treatment?  Thanks.

Hi Xin,
It will not auto correct. I like the idea of extracting #32 before treatment.
Then, if you can get a bracket on #31 at the proper angulation, you will upright the tooth in a hurry. If you cannot get a bracket on the tooth, then I ask the surgeon to place an interdental wire between 30 and 31 to treat as a separator first and/or ask for mild luxation/elevation of #31.
Best,
Tim

Return to Professionals

Xin Wei, DDS, PhD, MS 1st edition 07/28/2013, last revision 07/28/2014