![]() |
|||
![]() |
![]() |
![]() |
![]() |
![]() |
![]() |
![]() |
|
![]() |
![]() |
||
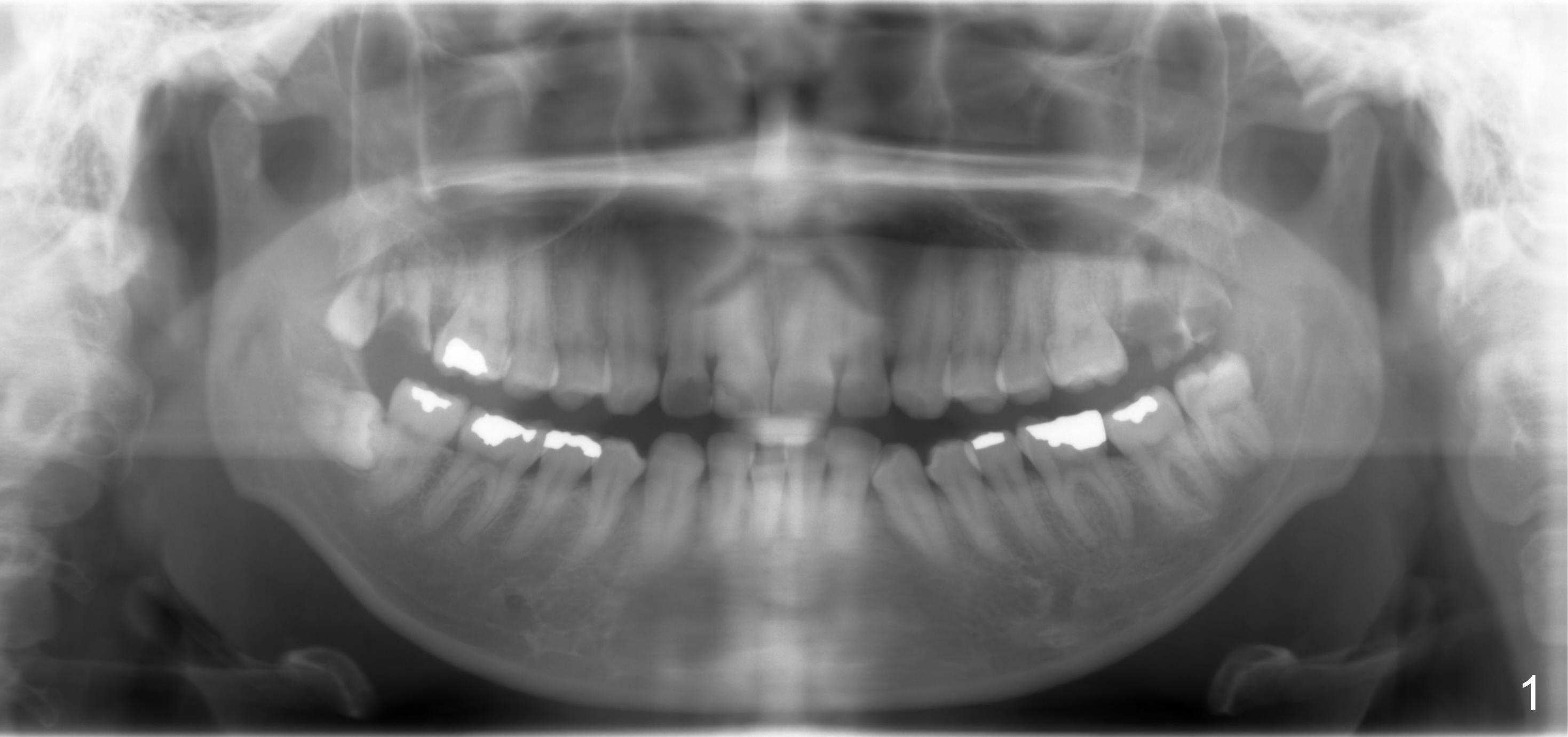
The panoramic X-ray (Fig.1) was taken on 12/12/2011 when the teeth #15 and 16 were extracted. The teeth #1 and 2 were removed half a year later. Bitewings (Fig.2-5), PAs (Fig.6,7) and upper occlusal mirror photo were taken on 02/11/2015. Pay attention to Fig.2.
Cephalometric X-ray was taken 02/18/2015. It shows SNA and SNB 89 and 81°, respectively.
Return to
Crowding
Xin Wei, DDS, PhD, MS 1st edition 02/22/2015, last revision 01/02/2021