![]() |
![]() |
![]() |
![]() |
![]() |
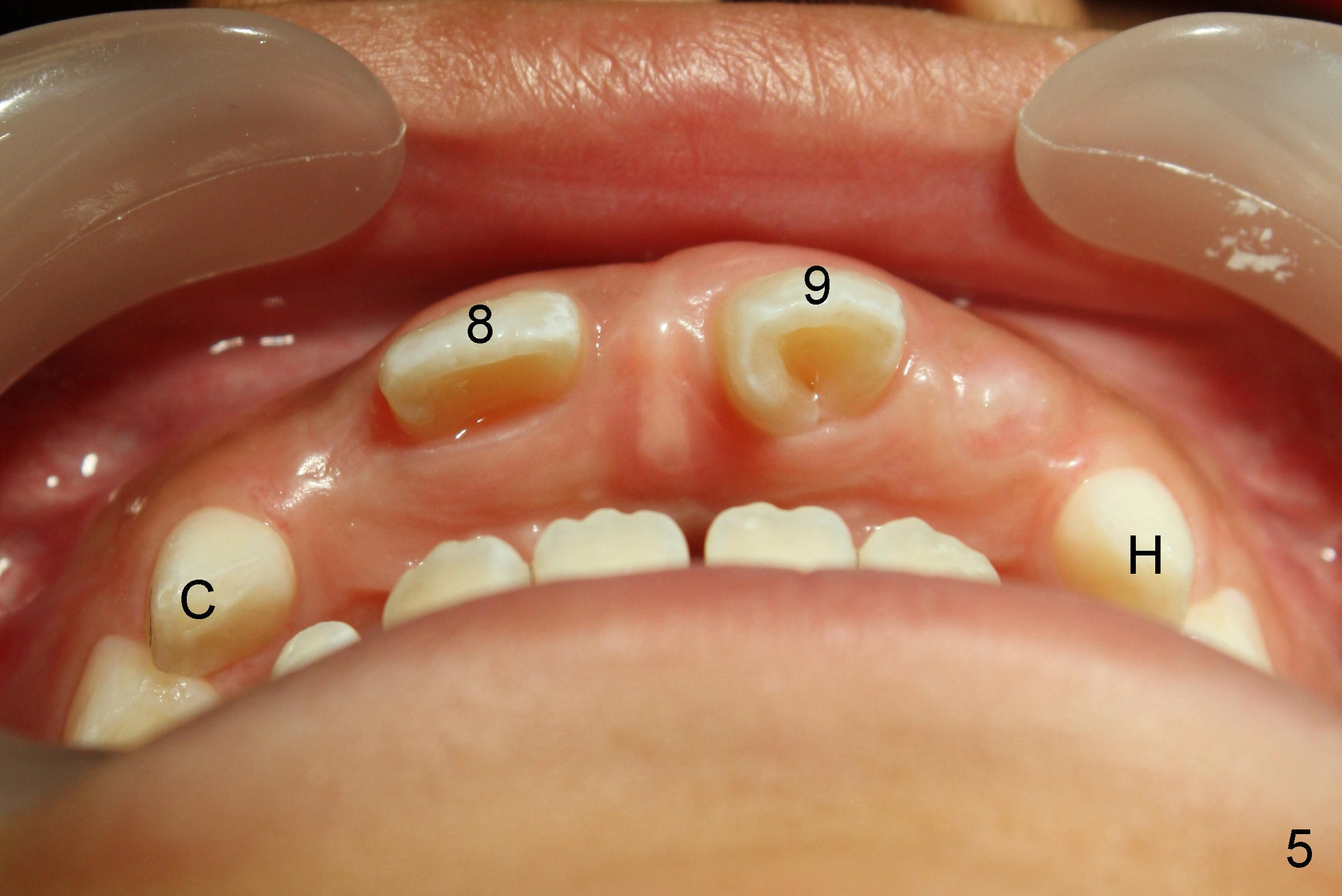
Create Space for Lateral Before Eruption
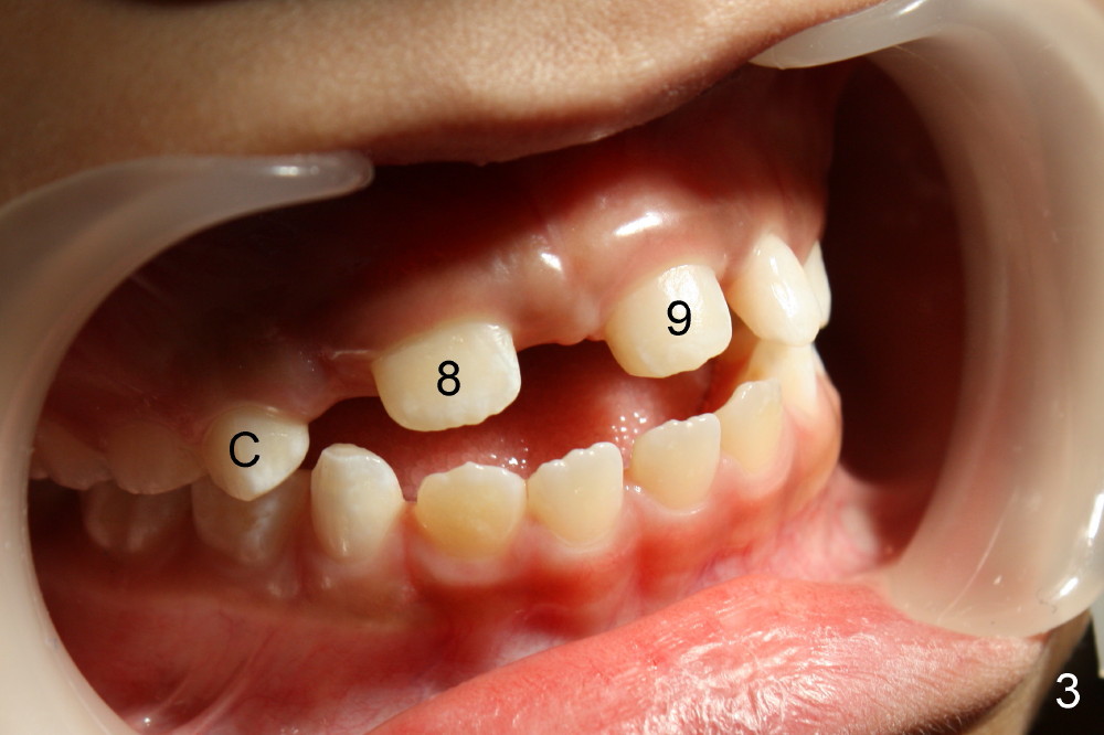
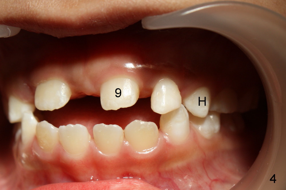
A seven-year-old co-operative boy presented to my office for composite. Exam shows open bite and a large diastema between the erupting upper central incisors (Fig.1-4). His mother notices that the diastema is more due to lateral displacement of the right central than the left central's (compare to Fig.1: black dashed line). She asks whether the uneven displacement will interfere with eruption of the upper right lateral incisor (Fig.2,3, as compared to Fig.4). She is interested in early ortho.
There are three questions. Will the right lateral erupt by itself and the diastema self corrects? When can we start ortho? How can we treat deep cingulum of #9 (Fig.2 >), removing marginal ridges or placing composite in the cingulum? The purpose of cingulum treatment is to prevent caries. Do we also need to add composite to #9 proximal surfaces to make it look as wide as #8? Thanks.
Because this child is young, I would observe for now. Measure the diastema space and the space distal to 8. Continue to observe if the eruption of 7 is closing the diastema some. It will not close it completely but there is a chance it will help. If a year from now, 7 needs more room to come in, you can do just that! No penalty for observation Xin, at least over the short term, say 6-12 months. Timothy Shaughnessy, DDS, Monday, March 25, 2013 7:21 PM
At the age of 7 years and a half, the tooth #10 is going to erupt (Fig.5). The space for #7 is narrower than that of #10. The mom chooses to watch for another six months
Xin Wei, DDS, PhD, MS 1st edition 03/06/2013, last revision 07/22/2013