Biological Anchorage

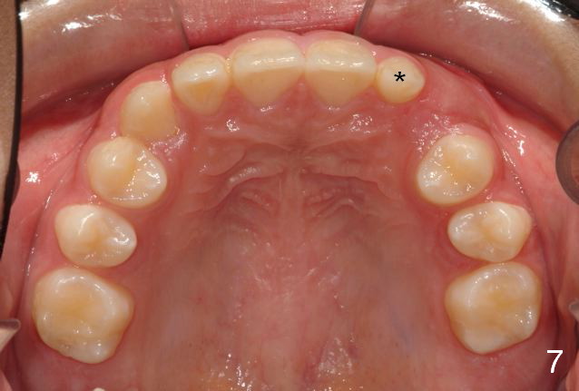
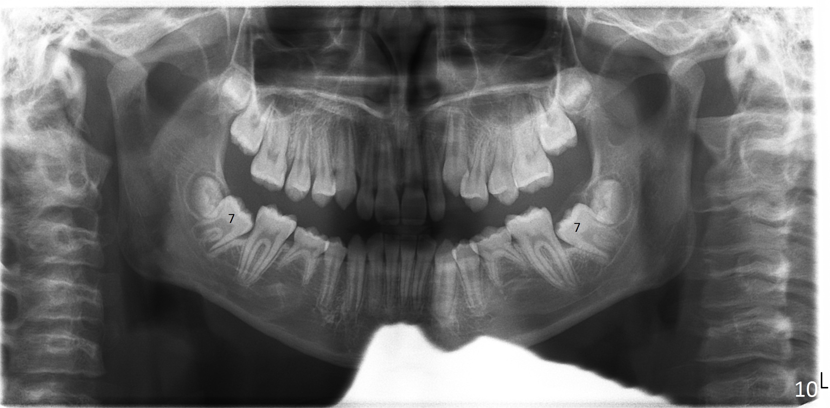
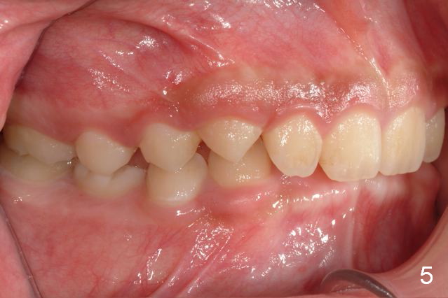
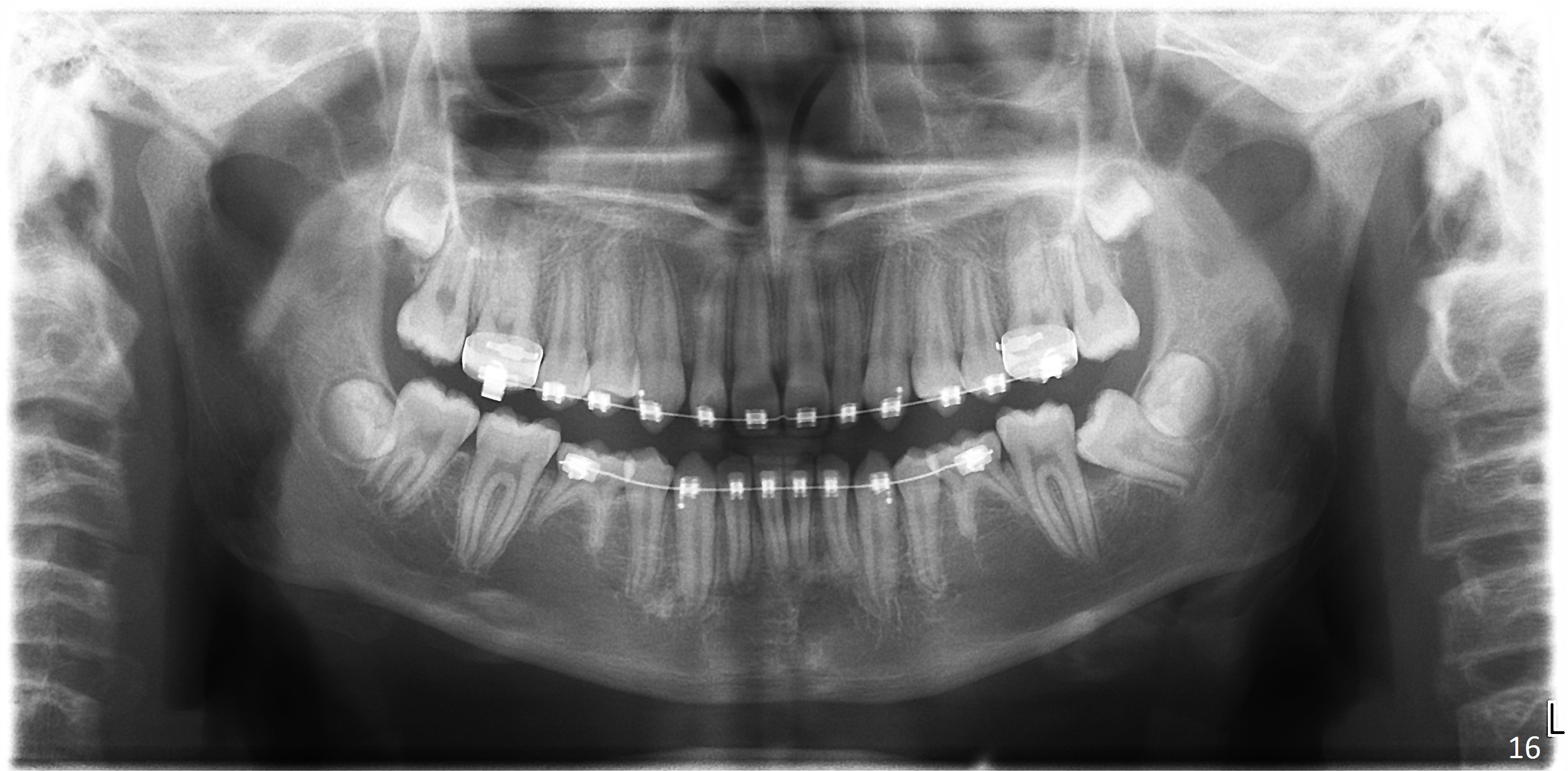
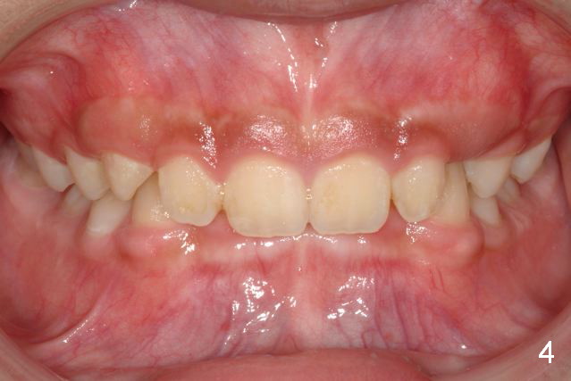
A 11-year-old boy has shorter lower 1/3 face (Fig.1,2) with light concave profile, especially the lower lip (Fig.3).  There is anterior deep bite (Fig.4) with Class II posterior occlusion (Fig.5,6).  UL2 is microdontia (Fig.7 *), while the Lower Es are retained (Fig.8).  Preop (2015_01_07) Ceph (Fig.9) and Pan (Fig.10) show ectopic L7s and congenitally missing L5s.

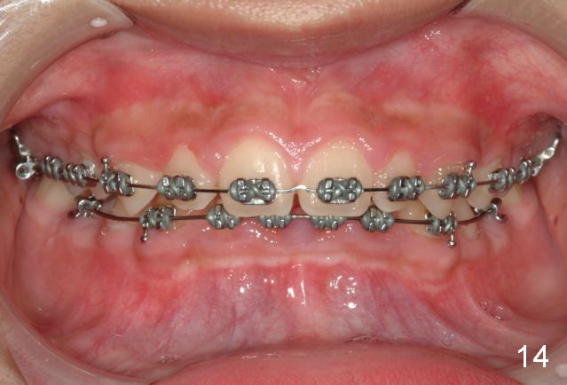
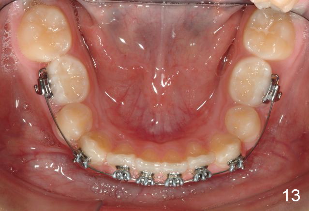
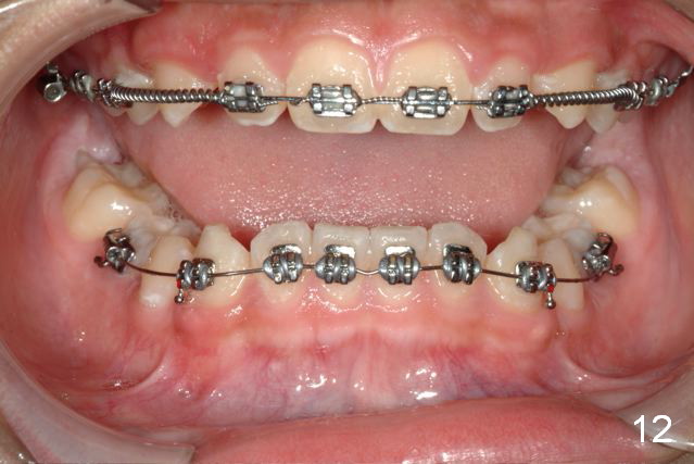
Brackets were placed on 2015_09_06 (Fig.11-13, Phase I pre-orthopedic tooth movement, leveling in advance of Herbst appliance therapy using ankylosed Es).   Six months later (Fig.14-16), LR7 did better, LL7 did not and will need intervention. But intrusion of L 3-3 looks good.

Dear Dr. Shaughness: It is good thinking and result. But if bands were placed on L6s, the result may have been be the same?  How old is the boy?   Why not place brackets on L4?  Can we slenderize LL E to make space for LL7 eruption?   Thanks.

Now you are a serious student of dentistry! I expected a comment first on that semi final 4 game. What a great final it should be. UNC is so big and deep, against a Villanova team that is so balanced. I can't wait.

Now back to orthodontics, I did not want to place bands on the lower 6s initially because I thought that would block the ectopic 7s for sure and seal their fate.
The effect would be quite similar had I banded the 6s but we know they can move, the Es cannot.
I will have the LL8 extracted and the adjacent 7 elevated and/or place an interdental brass wire. I will have it up righted in no time and not plan to slenderize the E.
Have a great day Xin,
Your friend, Tim

Return to Dr. Shaughness's Cases

Xin Wei, DDS, PhD, MS 1st edition 04/03/2016, last revision 04/03/2016