![]() |
![]() |
![]() |
|
![]() |
![]() |
Early Ortho for Class III Malocclusion?
Four-year-two-month-old boy is brought to our office by parents with chief complaint "He cannot pronounce some letters very well. Does he need braces now?"
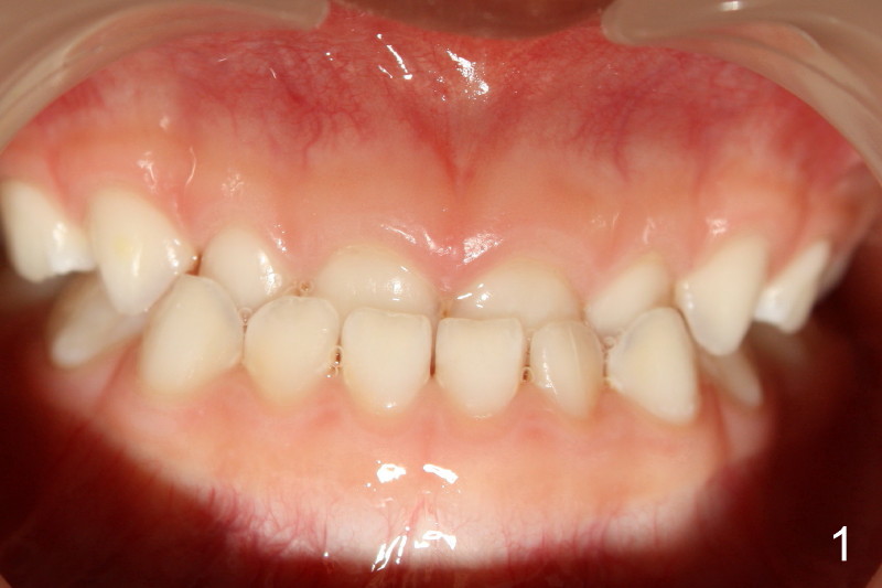
Clinical exam shows normal general development. The palate is not narrow. The prominent feature is anterior cross bite with lower midline shifting to the right approximately 1 mm (Fig.1). Profile appears within normal limit (Fig.2).
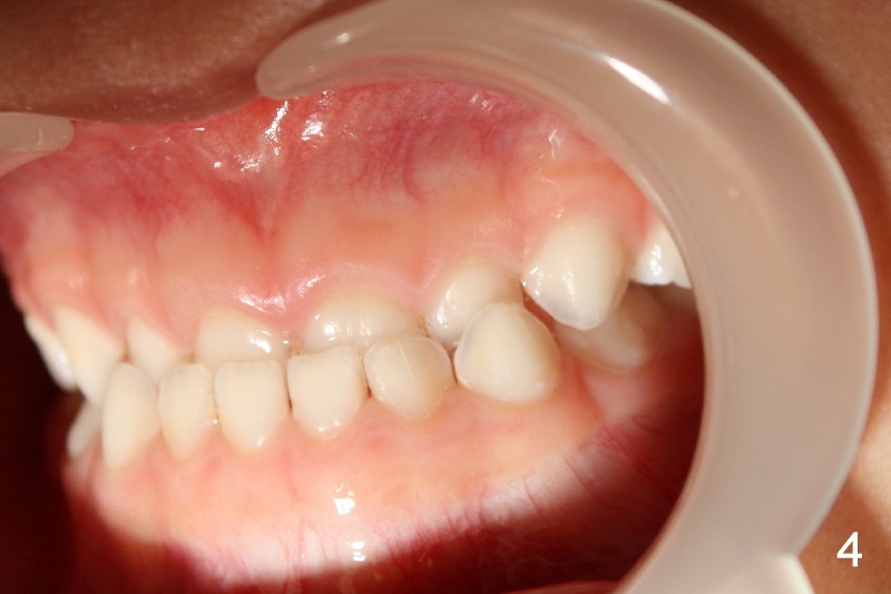
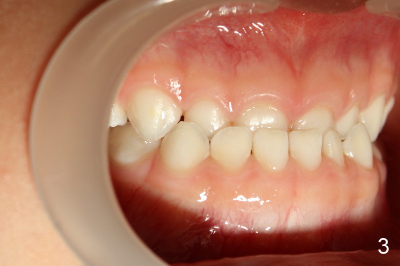
Right canine occlusion is Class I (Fig.3), whereas left Class III (Fig.4).
Both sides of molar relationship are in mesial step, left being more severe (Fig.5,6).
Does early ortho have advantages? After alignment with arch wire sequence, which Class III retraction mechanism is the best?
Xin Wei, DDS, PhD, MS 1st edition 12/11/2011, last revision 12/13/2011