Phase One or Two Ortho?

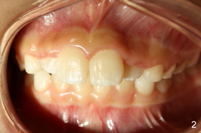
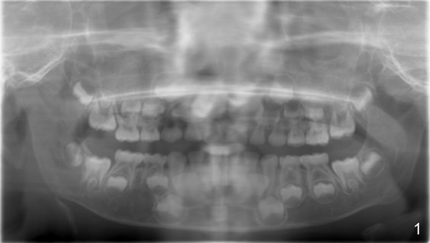
Eight-year-four-month-old boy shows early signs of Class II Division I malocclusion (Fig.2-5).  Panoramic X-ray was taken when he was 5 years 10 months old (Fig.1).

Is there any indication for phase I ortho (interceptive treatment)?  In my opinion, early orthodontics will improve appearance.  Additional Class II retraction may change canine and molar Class II occlusion into Class I so that the mandible may develop normally before permanent dentition.  If the early treatment is not done until permanent dentition as parents hope, it is most likely that orthodontics will be conducted with extraction at least two upper bicuspids.  The father has typical Class II Division I malocclusion.  What do you think?  Thanks.

1st reply-I am quite fine to align the maxillary anterior teeth but refer to it 'elective cosmetic treatment'.  Motivated by parents sometimes more than me.

 -Boys grow later and longer than girls and my ability to modify growth lasts longer as a result.  It can often be done at an age where the permanent teeth are in.  Two upper bi's defendable for xs. overjet/dental protrusion, whereas I like the Herbst for Class II growth modification of skeletal nature/mandibular deficiency.

-Watch the erupting #6 on a future panorex compared to this one.


body


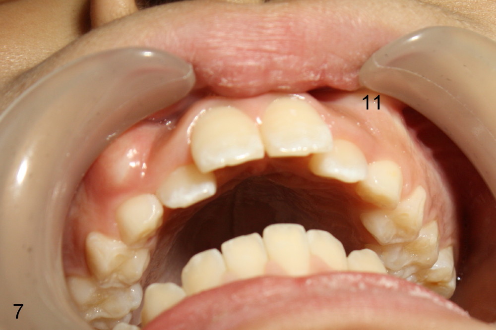
2nd reply Also Xin in your case of the 8 y.o. boy, I could make the argument that the lingually positioned #7 and #10 may ultimately restrict the lower jaw from growing normally anteriorly.  Their position may very well indeed be in the way.  Check out occlusion from your pictures.  I can explain better in person perhaps.
Timothy Shaughnessy, D.D.S., M.S. 
Diplomate of the American Board of Orthodontics
4330 Johns Creek Parkway
Suite 500
Suwanee, Georgia 30024
(770) 495-9590
(770) 495-9599 fax

Dear Dr. Shaughnessy:

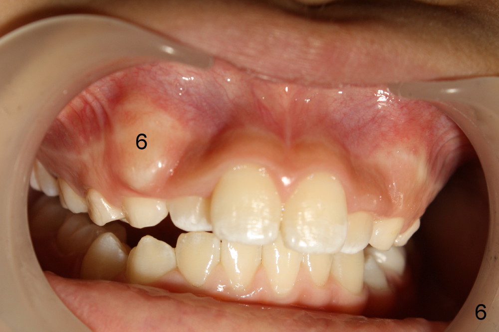
I am afraid that you have seen this patient (Koen) and his mom.  Anyway, he is 10 years 9 months now.  The teeth #6 and 11 appear to be erupting prematurely (prior to #5, and 12) and labially.  I have observed several of this type of cases.  It is apparent that premaxillary protrusion facilitates premature eruption of the upper canines, since there is premature formation of space for them to erupt.  What is your treatment plan or future one?  Thanks.

Xin Wei, DDS, PhD, MS 1st edition 07/28/2011, last revision 12/06/2013