| Before | After | Before | After |
![]() |
![]() |
![]() |
![]() |
![]() |
![]() |
![]() |
![]() |
![]() |
![]() |
||
![]() |
![]() |
||
| Before | After | ||
Photograph for Ortho
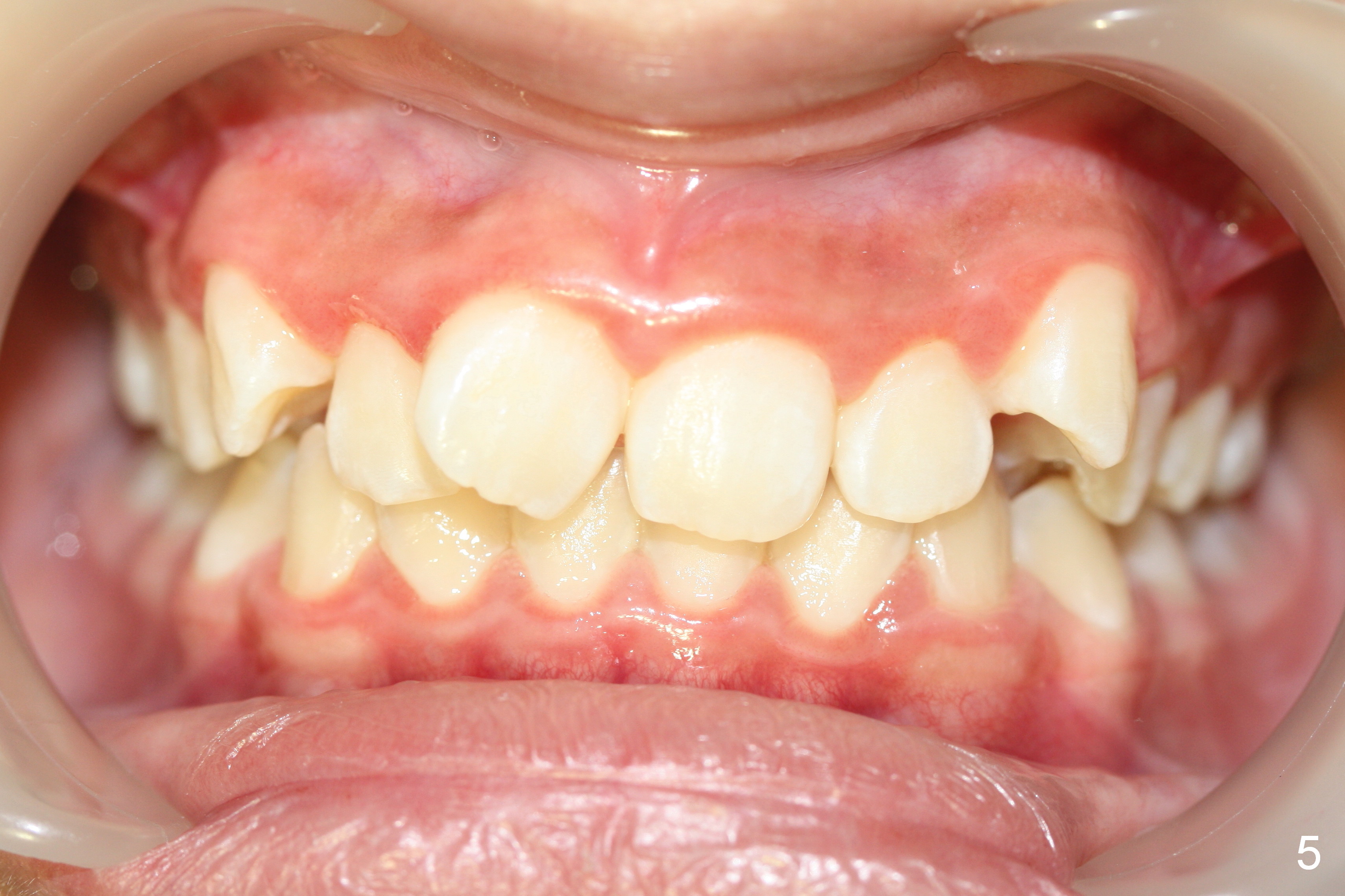
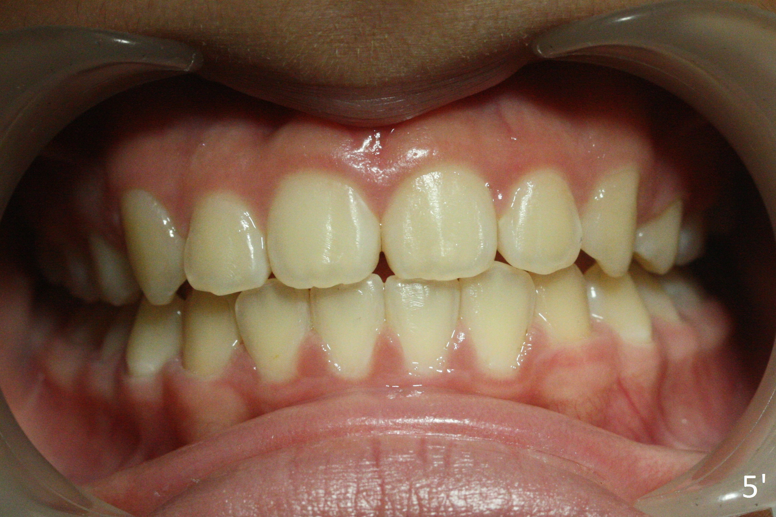
A 12-year-old girl has Class II Division I malocclusion (Fig.5,6) with protrusion of the upper lip (Fig.3). With extraction of the upper 1st bicuspids, postop facial profile improves (Fig.3', 4').
When taking photos of the face, focus on the lips (in rest, Fig.1,3)) and on the teeth (in smile, Fig.2,4).
Make sure that the camera is parallel to the imaginary occlusal plane (Fig.5') when intraoral occlusal frontal view is being taken.
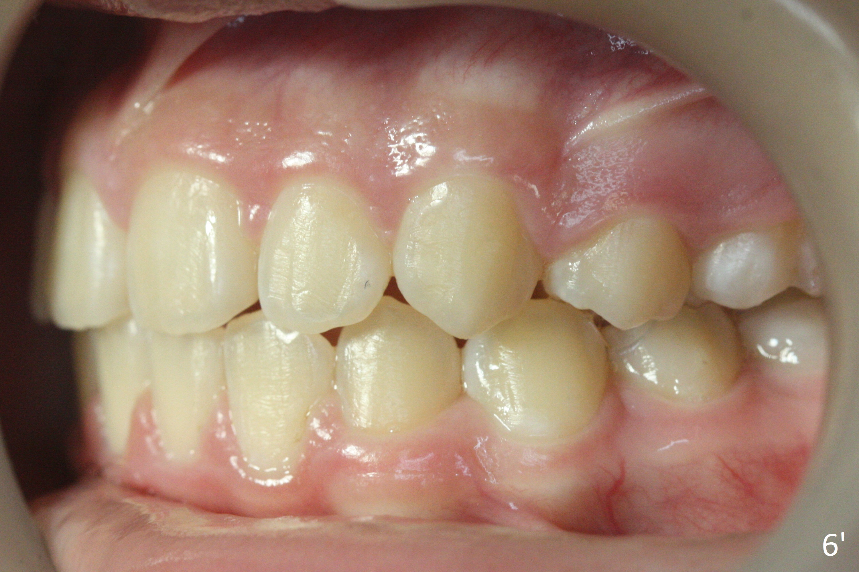
Retract the cheek retractor as posterior as possible when taking the lateral occlusal view (Fig.6,6'). Show interdigitation. Take a few of straight shots in addition to slanted ones (Fig.6).
Return to
Ortho
Cases
Xin Wei, DDS, PhD, MS 1st edition 05/13/2017, last revision 05/13/2017