Four Extraction or Not

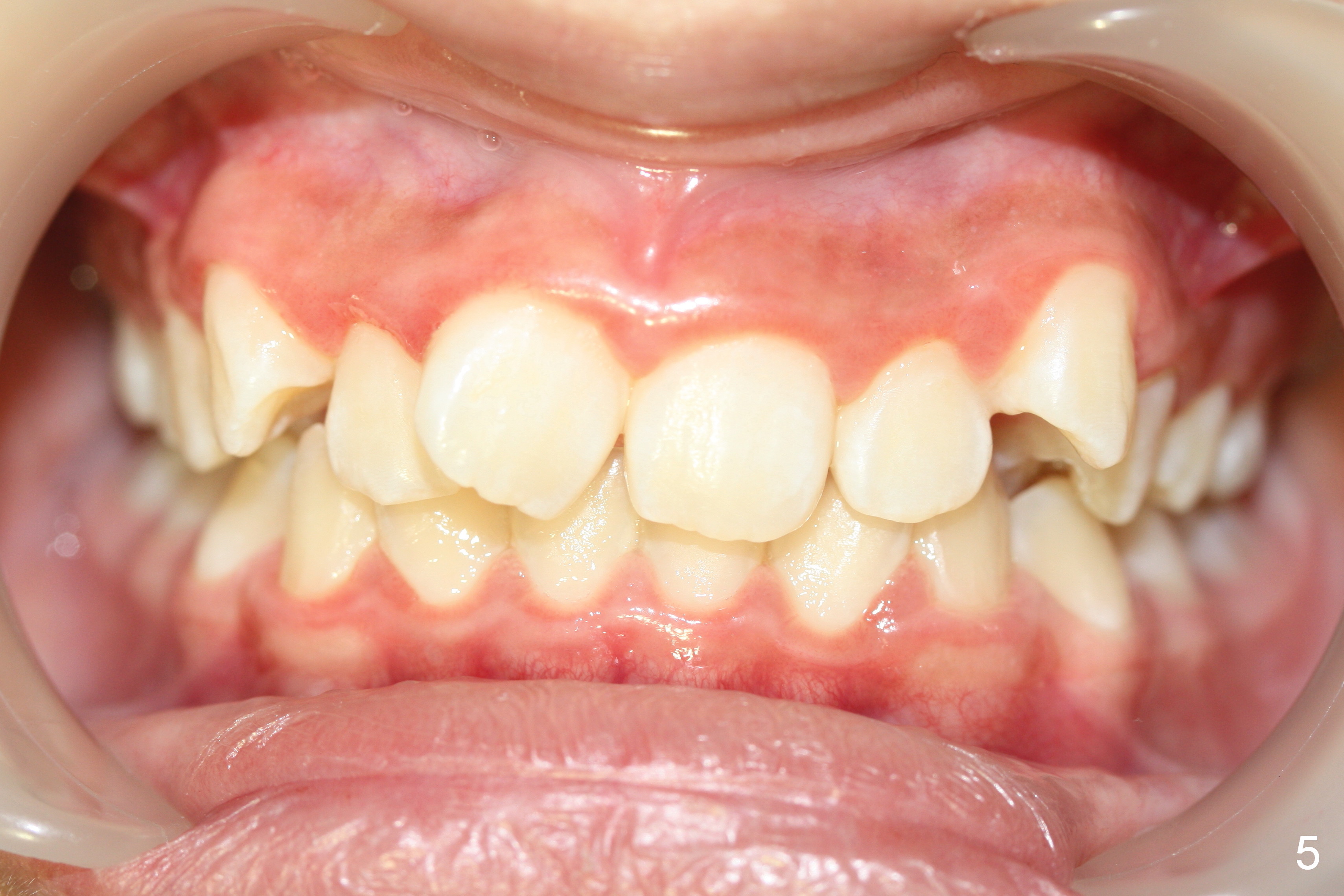
A 13-year-old girl presents for orthodontic consultation.  Chief complaint is crooked teeth.  Her brother is finishing 4 extraction ortho.

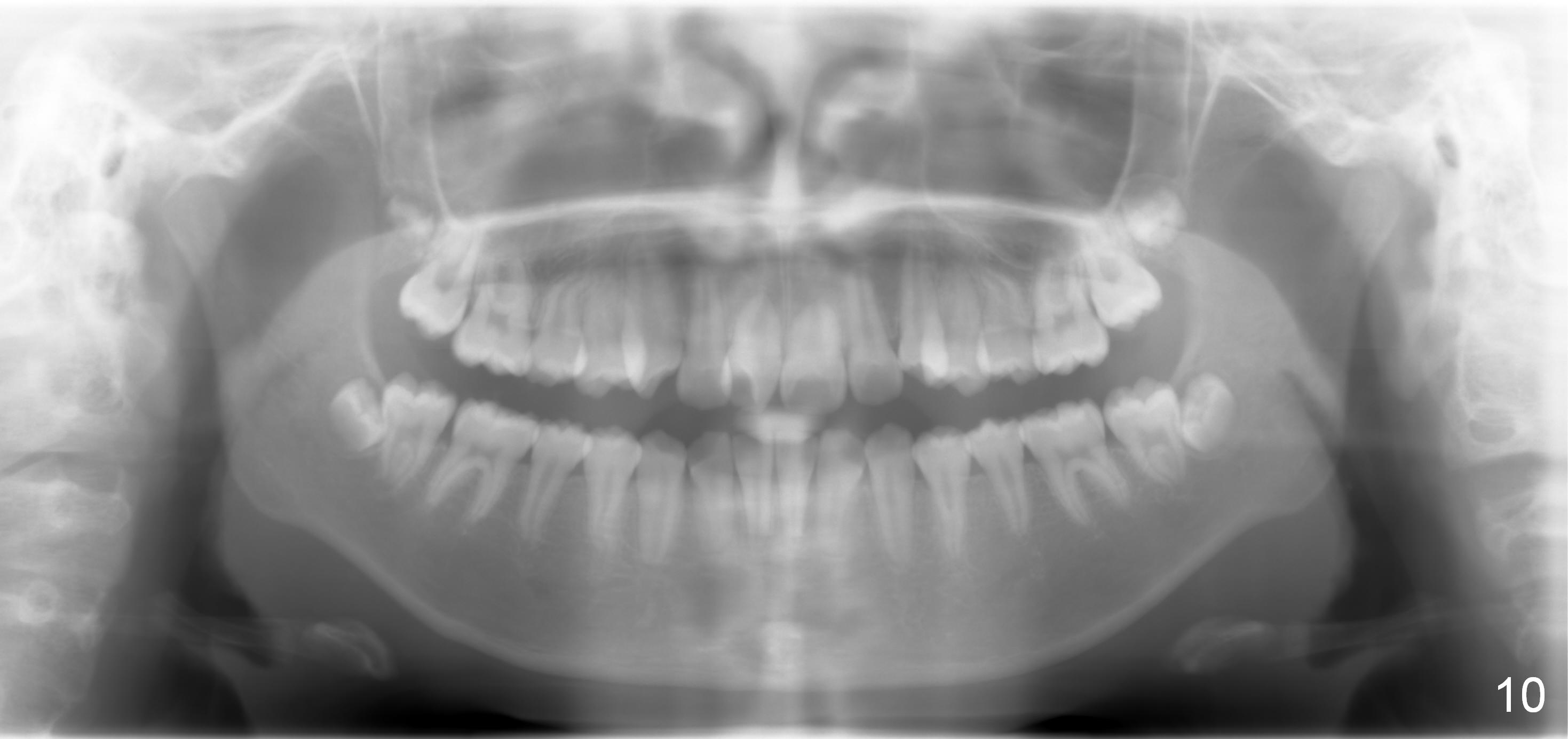
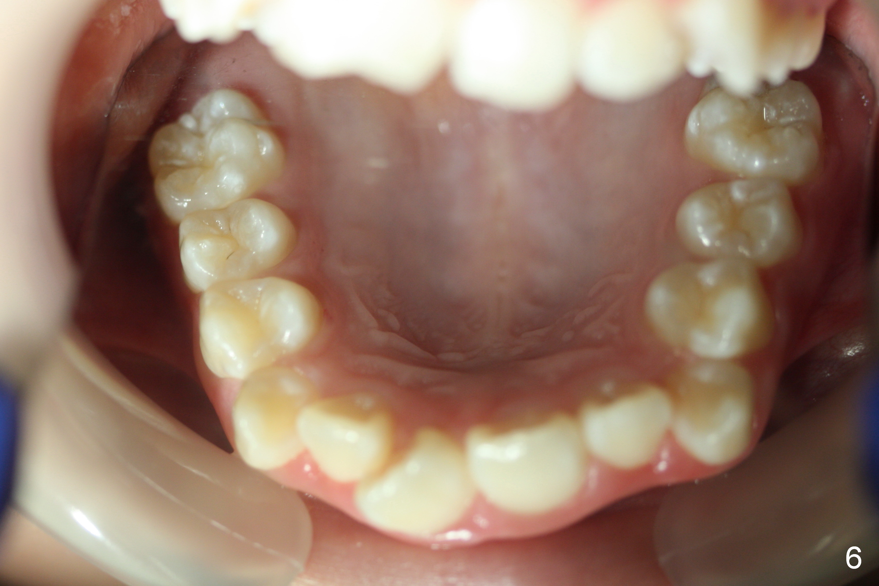
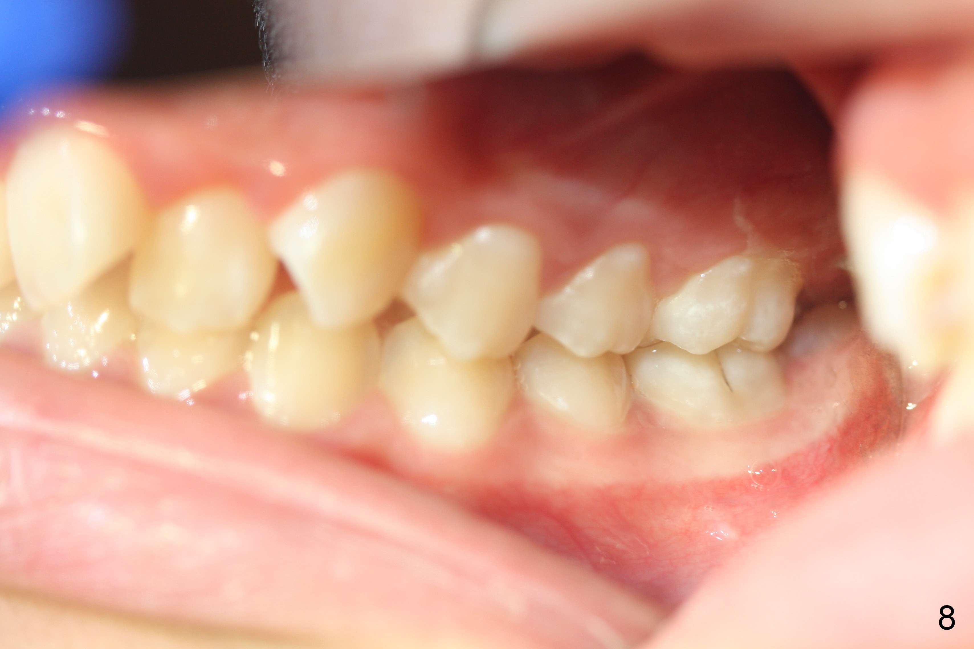
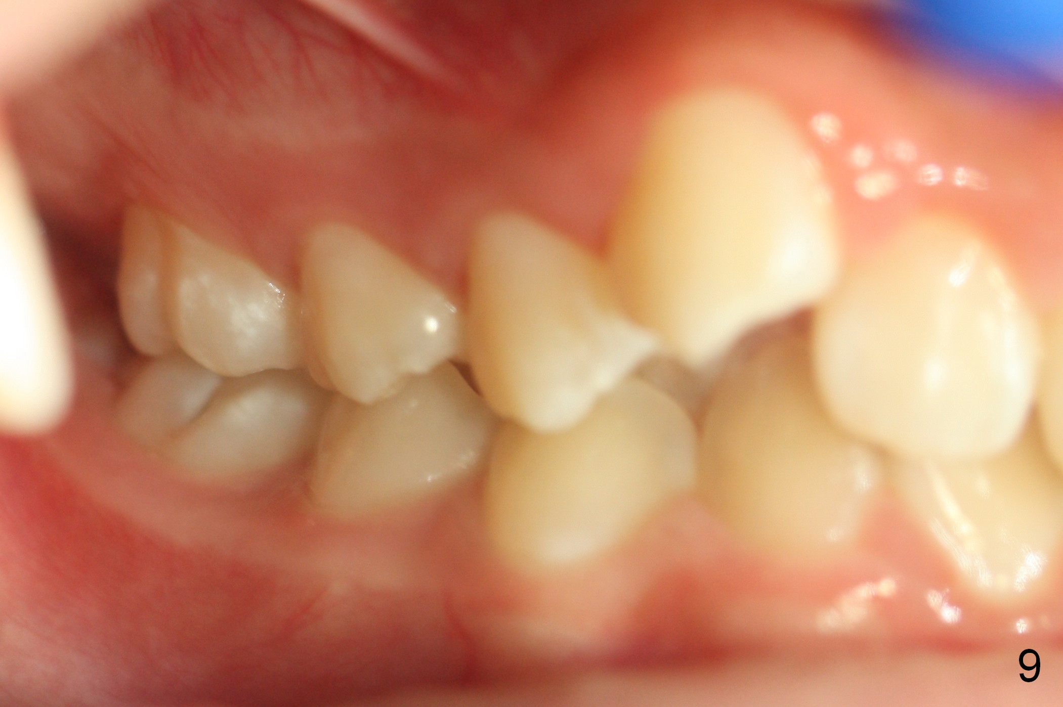
Fig.11 is ceph tracing, whereas Fig.12 is clinical, ceph and model summary.

Looking at the records, the lower incisors are protrusive and have crowding, so think extraction.  There is enough combined crowding and class II to warrant extraction.  Since there is lower crowding, it would be 4 bicuspid extractions with the sliding mechanics using elastics or Niti closing coil springs. Closing the extraction space by maintaining the lower incisor position and moving the lower molars forward.  The upper arch is 50/50 front going back/back coming forward. Dr. Doug Ness, March 13, 2015 1:18 AM

How to move the lower molar forward?  How to prevent lower incisor inclination?

We use brackets with increased lingual root torque to prevent lingual tipping of retracted incisors.  
Closing with springs or rubber bands from 6s to hooks between the 2/3s. 

How about banding & extraction?

Return to Professionals Ortho Cases Before & After

Xin Wei, DDS, PhD, MS 1st edition 03/12/2015, last revision 04/16/2017