![]() |
![]() ![]() |
![]() ![]() |
![]() |
![]() |
![]() |
![]() |
![]() |
![]() |
![]() |
![]() |
Extraction Ortho & Sleep Apnea
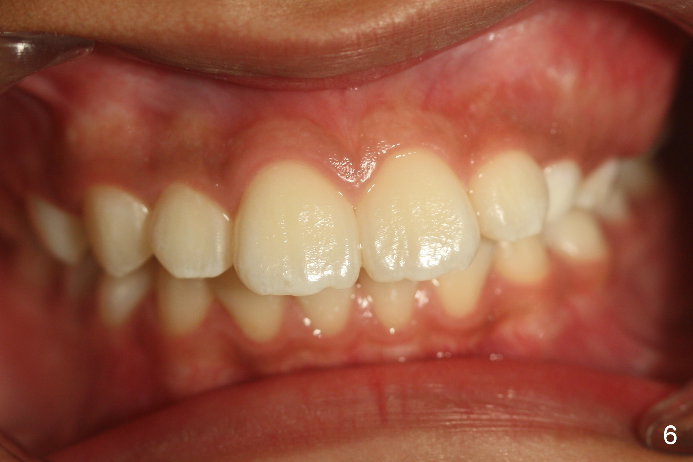
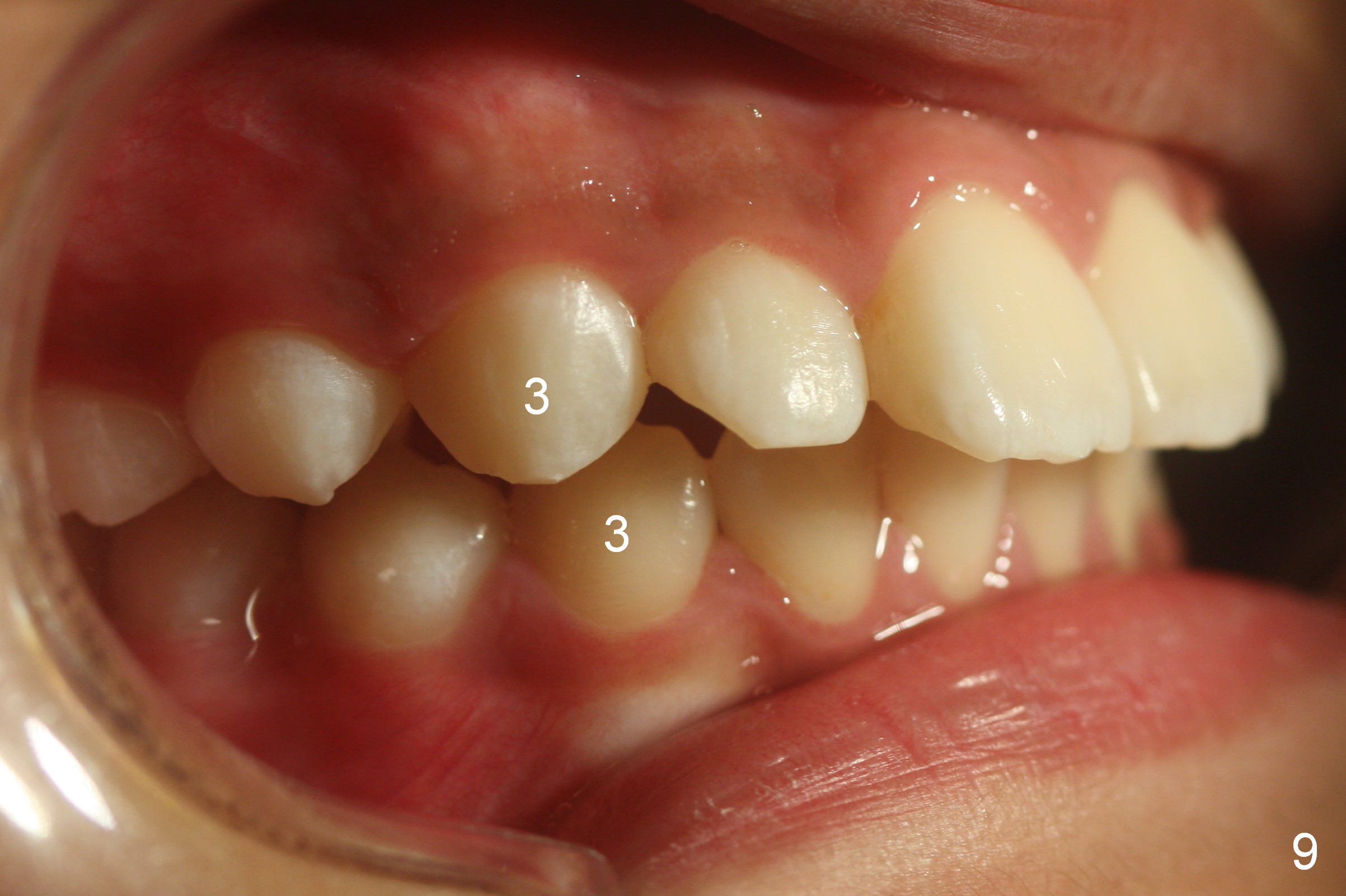
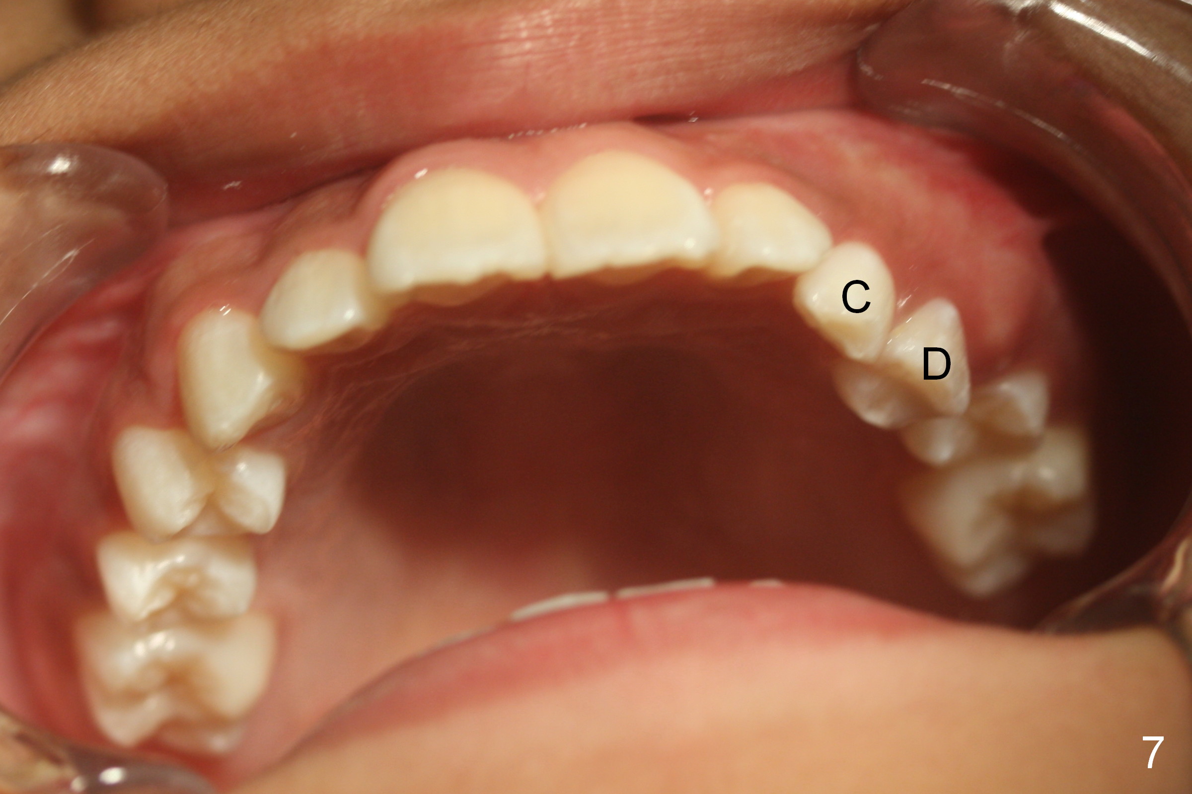
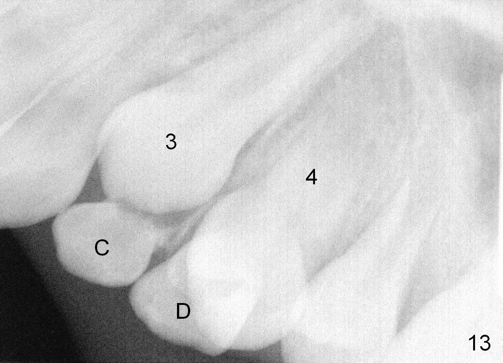
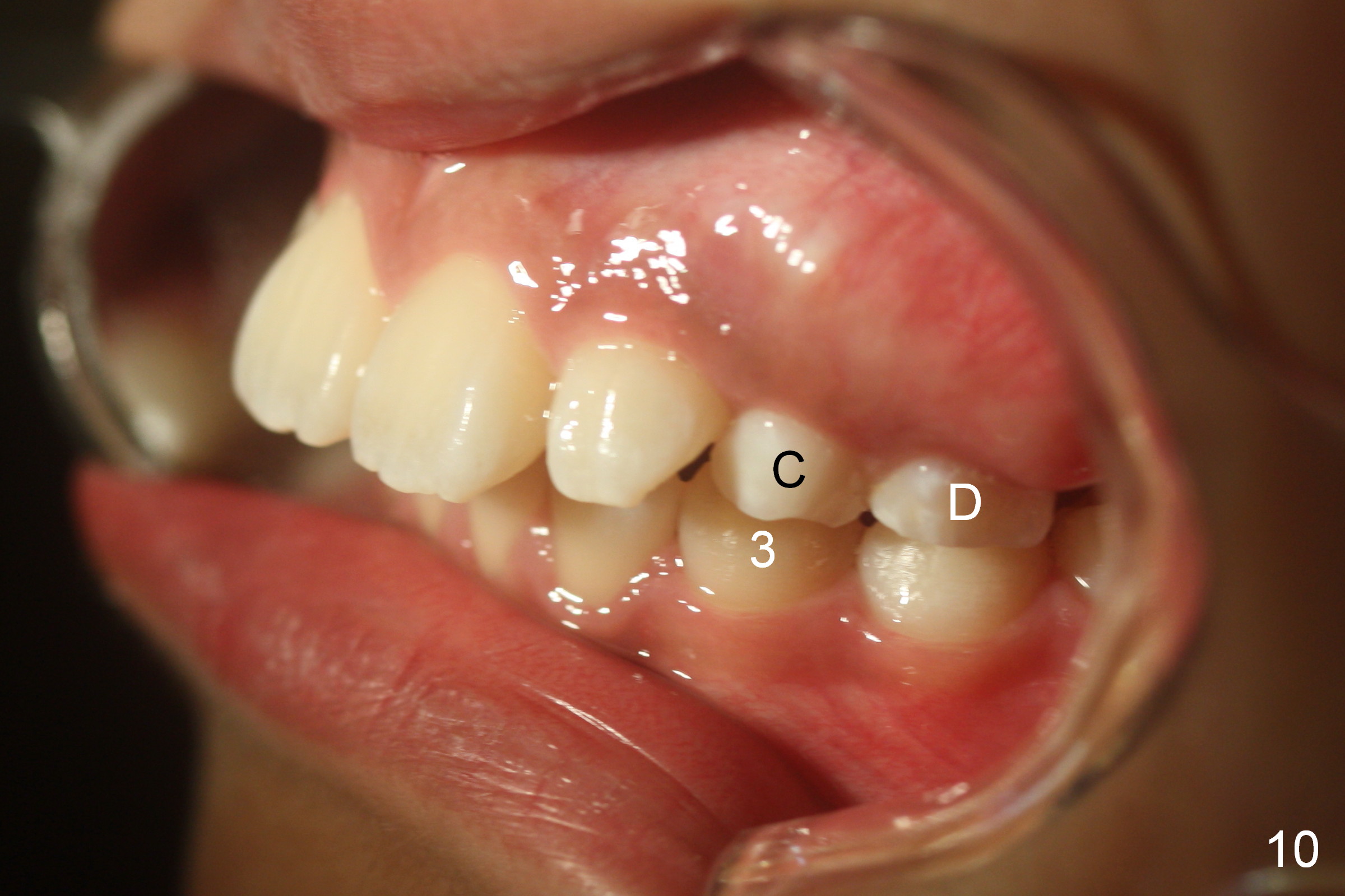
A 11-year-old boy has history of asthma. His father has sleep apnea with similar Class II malocclusion. Pan was taken for the boy 3 years ago (Fig.1). His mother wants to have orthodontic treatment as early as possible, because of protrusive upper anterior teeth. The dentition is permanent except the upper left canine and 1st molar (Fig.7,10,12,13 C, D). It appears that there is bilateral Class II occlusion at canine by half a tooth (Fig.9-12). The malocclusion and facial profile can be easily corrected with extraction of the upper 1st bicuspids.
On the other hand, orthodontics without extraction may improve the mandibular position by using Class II retraction. The tongue may be advanced with increased pharyngeal space. Sleep apnea possibility may be reduced. What is your choice of treatment?
Return to Professionals
Xin Wei, DDS, PhD, MS 1st edition 06/22/2016, last revision 06/22/2016