![]() |
![]() |
![]() |
![]() |
![]() |
|
Progress of Cross Arch Extrusion
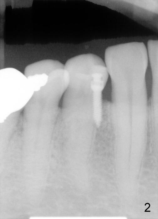
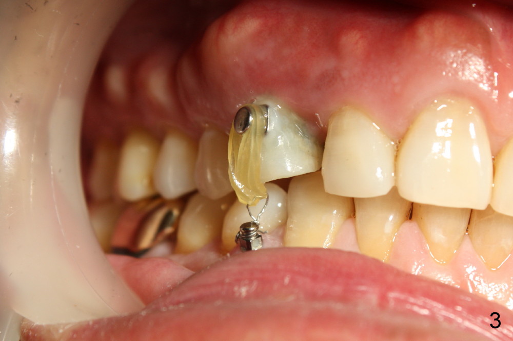
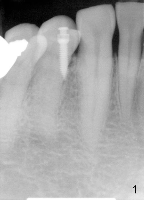
A 1.6x6 mm mini-implant was placed between #27 and 28 on 02/20/2014 (Fig.1,2). The major problem is its angulation. A 1/4 elastic cannot be placed over it. Instead a ligature wire is used to hold the elastic in place (Fig.3,4, taken 2 months later). Occlusal reduction is done (Fig.4), which alleviates the discomfort. But the extrusion is not obvious, since retraction is not 24 hours. The elastic and wire needs replacement quite often, which is not patient friendly. The extraoral Bitewing is taken 2.5 months post implantation (Fig.5). The tooth #6 has a long root. What should we do?
Finally the implant is removed. At the same entry point, the trajectory is changed, perpendicularly to the buccal plate. It turns out to be loose in a few days. Probably it perforates the crestal bone. It is removed later. The mini-implant is placed in the attached gingiva, where irritation is minimal. But it is not good for the bone.
Next time the mini-implant will be placed slightly apical to the mucogingival junction, where there is bone.
Return to Professionals
Xin Wei, DDS, PhD, MS 1st edition 05/16/2014, last revision 04/05/2015