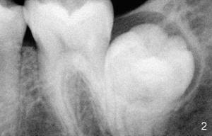
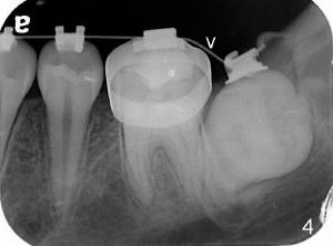
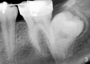
Impacted Lower 2nd Molar

 

Xin Wei, DDS, PhD, MS 1st edition 09/07/2011, last revision 09/07/2011