![]() |
![]() |
|
![]() |
![]() |
|
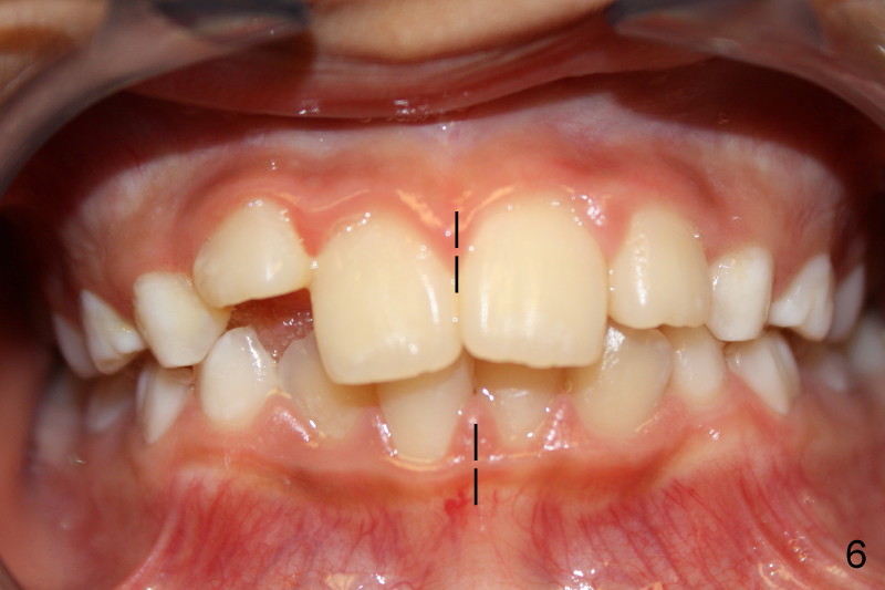
![]() |
![]() |
![]() |
![]() |
||
Impacted Lateral
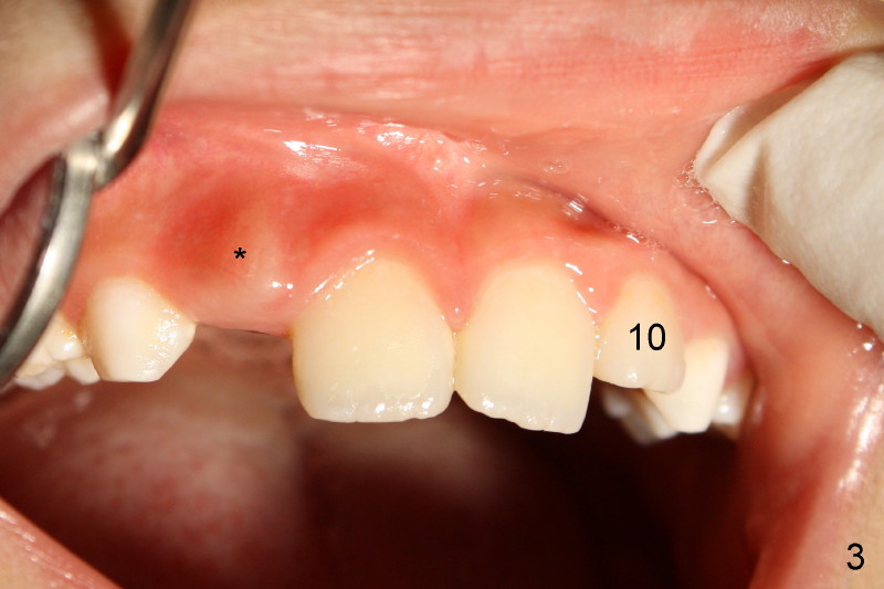
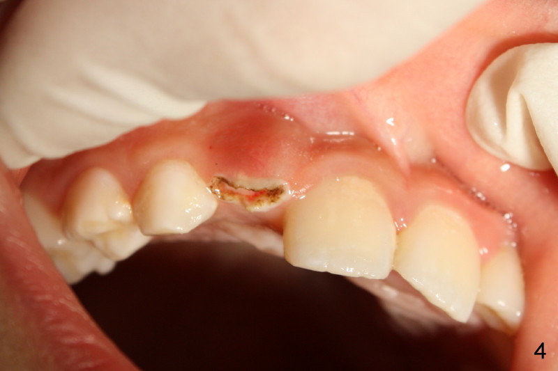
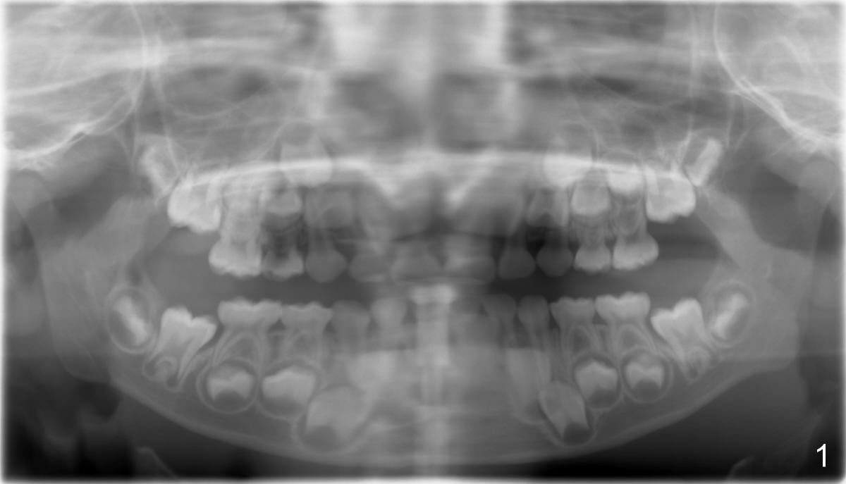
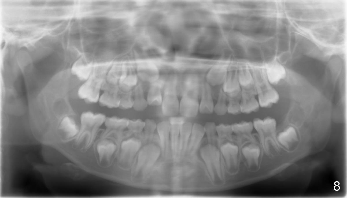
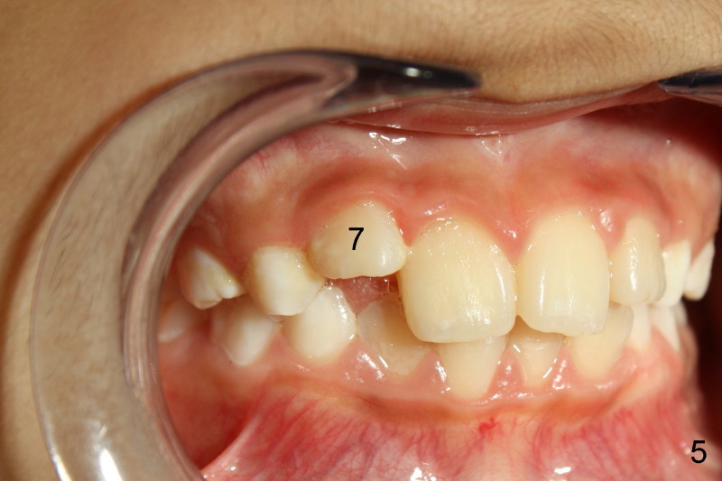
Panramic X-ray was taken when Edward was 6 years 5 months old (Fig.1). His parents and he himself found that the upper right lateral did not erupt at the age of 9 years 2 months (Fig.2-4: *). Gingivectomy was performed using soft tissue laser to expose the incisal edge of the lateral. Five months later, the lateral has erupted partially (Fig.5-8), but the family is concerned about the cosmetic issue. It appears that the upper midline has shifted to the right (Fig.6). Periapical film is planned to take to confirm the relationship between the canine and the lateral.
With all of the information presented above, early orthodontic intervention should be done now?
Appears that #7 is short a little room, therefore mechanically obstructed. Solution: make room! How? Slenderize the adjacent primary canine, extract C and H, or mild expansion. Tim Shaughnessy, DDS 11/22/2012
Xin Wei, DDS, PhD, MS 1st edition 11/20/2012, last revision 11/22/2012